Skip to main content

RAE1 Antibody - BSA Free

Novus Biologicals, part of Bio-Techne | Catalog # NBP1-57186

Novus Biologicals, part of Bio-Techne
Catalog #
Availability
Size / Price
Qty
Loading...
NBP1-57186

Key Product Details

Species Reactivity

Human

Applications

Immunohistochemistry, Immunohistochemistry-Paraffin, Western Blot

Label

Unconjugated

Antibody Source

Polyclonal Rabbit IgG

Format

BSA Free

Concentration

0.5 mg/ml

Product Specifications

Immunogen

Synthetic peptides corresponding to RAE1 (RAE1 RNA export 1 homolog (S. pombe)) The peptide sequence was selected from the C terminal of RAE1. Peptide sequence EQLDQPISACCFNHNGNIFAYASSYDWSKGHEFYNPQKKNYIFLRNAAEE. The peptide sequence for this immunogen was taken from within the described region.

Clonality

Polyclonal

Host

Rabbit

Isotype

IgG

Description

The addition of 50% glycerol is optional for those storing this antibody at -20C and not aliquoting smaller units. However, please note that glycerol may interrupt some downstream antibody applications and should be added with caution.

Scientific Data Images for RAE1 Antibody - BSA Free

Western Blot: RAE1 Antibody [NBP1-57186]

Western Blot: RAE1 Antibody [NBP1-57186]

Western Blot: RAE1 Antibody [NBP1-57186] - Jurkat cell lysate, Antibody Titration: 0.2-1 ug/ml
Immunohistochemistry-Paraffin: RAE1 Antibody [NBP1-57186]

Immunohistochemistry-Paraffin: RAE1 Antibody [NBP1-57186]

Immunohistochemistry-Paraffin: RAE1 Antibody [NBP1-57186] - Human Skin Tissue, 5.0ug/ml.
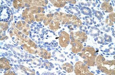
Immunohistochemistry-Paraffin: RAE1 Antibody [NBP1-57186]

Immunohistochemistry-Paraffin: RAE1 Antibody [NBP1-57186]

Immunohistochemistry-Paraffin: RAE1 Antibody [NBP1-57186] - Human kidney Tissue, antibody concentration 4-8ug/ml. Cells with positive label: renal corpuscle cells (indicated with arrows) 400X magnification.

Applications for RAE1 Antibody - BSA Free

Application
Recommended Usage

Immunohistochemistry

1:10-1:500

Immunohistochemistry-Paraffin

1:10-1:500

Western Blot

1.0 ug/ml

Formulation, Preparation, and Storage

Purification

Affinity purified

Formulation

PBS, 2% Sucrose

Format

BSA Free

Preservative

0.09% Sodium Azide

Concentration

0.5 mg/ml

Shipping

The product is shipped with polar packs. Upon receipt, store it immediately at the temperature recommended below.

Stability & Storage

Store at 4C short term. Aliquot and store at -20C long term. Avoid freeze-thaw cycles.

Background: RAE1

RAE1 is a homolog of yeast Rae1. It contains four WD40 motifs, and has been shown to localize to distinct foci in the nucleoplasm, to the nuclear rim, and to meshwork-like structures throughout the cytoplasm. This gene is thought to be involved in nucleocytoplasmic transport, and in directly or indirectly attaching cytoplasmic mRNPs to the cytoskeleton.Mutations in the Schizosaccharomyces pombe Rae1 and Saccharomyces cerevisiae Gle2 genes have been shown to result in accumulation of poly(A)-containing mRNA in the nucleus, suggesting that the encoded proteins are involved in RNA export. The protein encoded by this gene is a homolog of yeast Rae1. It contains four WD40 motifs, and has been shown to localize to distinct foci in the nucleoplasm, to the nuclear rim, and to meshwork-like structures throughout the cytoplasm. This gene is thought to be involved in nucleocytoplasmic transport, and in directly or indirectly attaching cytoplasmic mRNPs to the cytoskeleton. Alternatively spliced transcript variants encoding the same protein have been found for this gene.

Alternate Names

dJ481F12.3, dJ800J21.1, FLJ30608, homolog of yeast Rae1 (Bharathi) mRNA-associated protein of 41 kDa (Kraemer), MGC117333, MGC126076, MGC126077, MIG14, migration-inducing gene 14, Mnrp41, mRNA export factor, mRNA export protein, mRNA-associated protein mrnp 41, mRNA-binding protein, 41-kD, MRNP41, RAE1 (RNA export 1, S.pombe) homolog, Rae1 protein homolog, RAE1 RNA export 1 homolog (S. pombe)

Gene Symbol

RAE1

UniProt

Additional RAE1 Products

Product Documents for RAE1 Antibody - BSA Free

Certificate of Analysis

To download a Certificate of Analysis, please enter a lot number in the search box below.

Product Specific Notices for RAE1 Antibody - BSA Free

This product is for research use only and is not approved for use in humans or in clinical diagnosis. Primary Antibodies are guaranteed for 1 year from date of receipt.

Loading...
Loading...
Loading...
Loading...