Skip to main content

RADX Antibody - BSA Free

Novus Biologicals, part of Bio-Techne | Catalog # NBP1-83873

Catalog #
Availability
Size / Price
Qty
Loading...
NBP1-83873
NBP1-83873-25ul

Key Product Details

Species Reactivity

Human

Applications

Immunohistochemistry, Immunohistochemistry-Paraffin

Label

Unconjugated

Antibody Source

Polyclonal Rabbit IgG

Format

BSA Free

Concentration

Concentrations vary lot to lot. See vial label for concentration. If unlisted please contact technical services.

Product Specifications

Immunogen

This antibody was developed against Recombinant Protein corresponding to amino acids: TISDRWESQLWREKKFGLIDHLHYSRVYPESIPRKFMFEHRKFLSDQYNSQPAKYVPPEGRPPKLDDFKSARSLGHFEVTILGLNHEIAIDVAFLPMYCPEDIRTSQIDTLLTSMNY

Reactivity Notes

Rat (80%).

Clonality

Polyclonal

Host

Rabbit

Isotype

IgG

Scientific Data Images for RADX Antibody - BSA Free

Immunohistochemistry-Paraffin: RADX Antibody [NBP1-83873]

Immunohistochemistry-Paraffin: RADX Antibody [NBP1-83873]

Immunohistochemistry-Paraffin: RADX Antibody [NBP1-83873] - Staining of human skeletal muscle shows very weak cytoplasmic positivity in myocytes.
Immunohistochemistry-Paraffin: RADX Antibody [NBP1-83873]

Immunohistochemistry-Paraffin: RADX Antibody [NBP1-83873]

Immunohistochemistry-Paraffin: RADX Antibody [NBP1-83873] - Staining of human adrenal gland shows moderate membranous and cytoplasmic positivity in glandular cells.
Immunohistochemistry-Paraffin: RADX Antibody [NBP1-83873]

Immunohistochemistry-Paraffin: RADX Antibody [NBP1-83873]

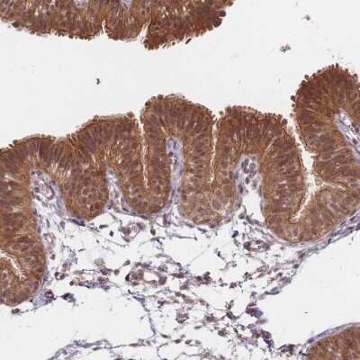
Immunohistochemistry-Paraffin: RADX Antibody [NBP1-83873] - Staining of human endometrium shows strong membranous and cytoplasmic positivity in glandular cells.

Applications for RADX Antibody - BSA Free

Application
Recommended Usage

Immunohistochemistry

1:20 - 1:50

Immunohistochemistry-Paraffin

1:20 - 1:50
Application Notes
For IHC-Paraffin, HIER pH 6 retrieval is recommended.

Formulation, Preparation, and Storage

Purification

Affinity purified

Formulation

PBS (pH 7.2) and 40% Glycerol

Format

BSA Free

Preservative

0.02% Sodium Azide

Concentration

Concentrations vary lot to lot. See vial label for concentration. If unlisted please contact technical services.

Shipping

The product is shipped with polar packs. Upon receipt, store it immediately at the temperature recommended below.

Stability & Storage

Store at 4C short term. Aliquot and store at -20C long term. Avoid freeze-thaw cycles.

Background: RADX

Alternate Names

chromosome X open reading frame 57, CXorf57, RP11-647M7.1

Gene Symbol

RADX

Additional RADX Products

Product Documents for RADX Antibody - BSA Free

Certificate of Analysis

To download a Certificate of Analysis, please enter a lot number in the search box below.

Product Specific Notices for RADX Antibody - BSA Free

This product is for research use only and is not approved for use in humans or in clinical diagnosis. Primary Antibodies are guaranteed for 1 year from date of receipt.

Loading...
Loading...
Loading...
Loading...