Skip to main content

Rad51 Antibody

Novus Biologicals, part of Bio-Techne | Catalog # NBP2-20058

Novus Biologicals, part of Bio-Techne
Catalog #
Availability
Size / Price
Qty
Loading...
NBP2-20058

Key Product Details

Validated by

Knockout/Knockdown

Species Reactivity

Human, Rat

Applications

Validated:

Immunohistochemistry, Immunohistochemistry-Paraffin, Immunohistochemistry-Frozen, Western Blot, Immunoprecipitation

Cited:

Western Blot

Label

Unconjugated

Antibody Source

Polyclonal Rabbit IgG

Concentration

Concentrations vary lot to lot. See vial label for concentration. If unlisted please contact technical services.

Product Specifications

Immunogen

Recombinant protein corresponding to human Rad51

Localization

Nucleus

Clonality

Polyclonal

Host

Rabbit

Isotype

IgG

Theoretical MW

37 kDa.
Disclaimer note: The observed molecular weight of the protein may vary from the listed predicted molecular weight due to post translational modifications, post translation cleavages, relative charges, and other experimental factors.

Description

Novus Biologicals Rabbit Rad51 Antibody (NBP2-20058) is a polyclonal antibody validated for use in IHC, WB and IP. Anti-Rad51 Antibody: Cited in 1 publication. All Novus Biologicals antibodies are covered by our 100% guarantee.

Scientific Data Images for Rad51 Antibody

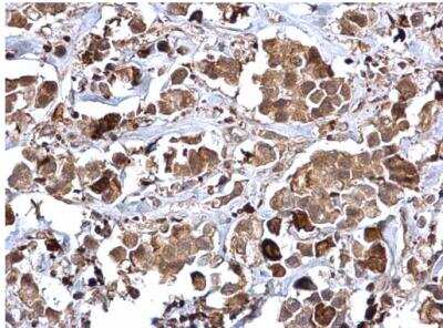
Immunohistochemistry-Paraffin: Rad51 Antibody [NBP2-20058]

Immunohistochemistry-Paraffin: Rad51 Antibody [NBP2-20058]

Immunohistochemistry-Paraffin: Rad51 Antibody [NBP2-20058] - Human ovarian carcinoma. Rad51 antibody dilution: 1:500. Antigen Retrieval: Trilogy™ (EDTA based, pH 8.0) buffer, 15min
Western Blot: Rad51 Antibody [NBP2-20058]

Western Blot: Rad51 Antibody [NBP2-20058]

Western Blot: Rad51 Antibody [NBP2-20058] - Sample (30 ug of whole cell lysate) A: JurKat 10% SDS PAGE gel, diluted at 1:1000.
Immunohistochemistry-Paraffin: Rad51 Antibody [NBP2-20058]

Immunohistochemistry-Paraffin: Rad51 Antibody [NBP2-20058]

Immunohistochemistry-Paraffin: Rad51 Antibody [NBP2-20058] - Human breast carcinoma. Rad51 antibody dilution: 1:500. Antigen Retrieval: Trilogy™ (EDTA based, pH 8.0) buffer, 15min

Applications for Rad51 Antibody

Application
Recommended Usage

Immunohistochemistry

1:100-1:1000

Immunohistochemistry-Frozen

Assay dependent

Immunohistochemistry-Paraffin

1:100-1:1000

Immunoprecipitation

1:100-1:500

Western Blot

1:500-1:3000

Formulation, Preparation, and Storage

Purification

Antigen Affinity-purified

Formulation

PBS, 1% BSA, 20% Glycerol

Preservative

0.01% Thimerosal

Concentration

Concentrations vary lot to lot. See vial label for concentration. If unlisted please contact technical services.

Shipping

The product is shipped with polar packs. Upon receipt, store it immediately at the temperature recommended below.

Stability & Storage

Aliquot and store at -20C or -80C. Avoid freeze-thaw cycles.

Background: Rad51

The protein encoded by this gene is a member of the RAD51 protein family. RAD51 family members are highly similar to bacterial RecA and Saccharomyces cerevisiae Rad51, and are known to be involved in the homologous recombination and repair of DNA. This protein can interact with the ssDNA-binding protein RPA and RAD52, and it is thought to play roles in homologous pairing and strand transfer of DNA. This protein is also found to interact with BRCA1 and BRCA2, which may be important for the cellular response to DNA damage. BRCA2 is shown to regulate both the intracellular localization and DNA-binding ability of this protein. Loss of these controls following BRCA2 inactivation may be a key event leading to genomic instability and tumorigenesis. Two alternatively spliced transcript variants of this gene, which encode distinct proteins, have been reported. Transcript variants utilizing alternative polyA signals exist. [provided by RefSeq]

Alternate Names

BRCC5, hRAD51, HsRad51, HsT16930, RAD51 (S. cerevisiae) homolog (E coli RecA homolog), RAD51 homolog (RecA homolog, E. coli) (S. cerevisiae), RAD51 homolog A, RAD51ABRCA1/BRCA2-containing complex, subunit 5, RAD51L3, RecA, E. coli, homolog of, RECADNA repair protein RAD51 homolog 1, RecA-like protein, recombination protein A

Gene Symbol

RAD51

UniProt

Additional Rad51 Products

Product Documents for Rad51 Antibody

Certificate of Analysis

To download a Certificate of Analysis, please enter a lot number in the search box below.

Product Specific Notices for Rad51 Antibody

This product is for research use only and is not approved for use in humans or in clinical diagnosis. Primary Antibodies are guaranteed for 1 year from date of receipt.

Loading...
Loading...
Loading...
Loading...

⚠ WARNING: This product can expose you to chemicals including mercury, which is known to the State of California to cause reproductive toxicity with developmental effects.  For more information go to www.P65Warnings.ca.gov.