Skip to main content

Rad23 Antibody (3E3F4) - BSA Free

Novus Biologicals, part of Bio-Techne | Catalog # NBP2-52549

Novus Biologicals, part of Bio-Techne
Catalog #
Availability
Size / Price
Qty
Loading...
NBP2-52549
NBP2-52549-0.025mg

Key Product Details

Species Reactivity

Human

Applications

Immunohistochemistry, Immunohistochemistry-Paraffin, Western Blot, ELISA, Flow Cytometry, CyTOF-ready

Label

Unconjugated

Antibody Source

Monoclonal Mouse IgG2B Clone # 3E3F4

Format

BSA Free

Concentration

1 mg/ml

Product Specifications

Immunogen

Purified recombinant fragment of human Rad23 (AA: 1-363) expressed in E. Coli.

Clonality

Monoclonal

Host

Mouse

Isotype

IgG2B

Theoretical MW

40 kDa.
Disclaimer note: The observed molecular weight of the protein may vary from the listed predicted molecular weight due to post translational modifications, post translation cleavages, relative charges, and other experimental factors.

Description

Novus Biologicals Mouse Rad23 Antibody (3E3F4) - BSA Free (NBP2-52549) is a monoclonal antibody validated for use in IHC, WB, ELISA and Flow. All Novus Biologicals antibodies are covered by our 100% guarantee.

Scientific Data Images for Rad23 Antibody (3E3F4) - BSA Free

Western Blot: Rad23 Antibody (3E3F4)BSA Free [NBP2-52549]

Western Blot: Rad23 Antibody (3E3F4)BSA Free [NBP2-52549]

Western Blot: Rad23 Antibody (3E3F4) [NBP2-52549] - Analysis using RAD23A mAb against human RAD23A (AA: 1-363) recombinant protein. (Expected MW is 42.5 kDa)
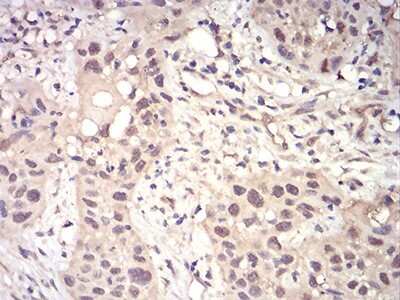
Immunohistochemistry-Paraffin: Rad23 Antibody (3E3F4) - BSA Free [NBP2-52549]

Immunohistochemistry-Paraffin: Rad23 Antibody (3E3F4) - BSA Free [NBP2-52549]

Immunohistochemistry-Paraffin: Rad23 Antibody (3E3F4) [NBP2-52549] - Analysis of paraffin-embedded esophageal cancer tissues using RAD23A mouse mAb with DAB staining.
Flow Cytometry: Rad23 Antibody (3E3F4) - BSA Free [NBP2-52549]

Flow Cytometry: Rad23 Antibody (3E3F4) - BSA Free [NBP2-52549]

Flow Cytometry: Rad23 Antibody (3E3F4) [NBP2-52549] - Analysis of HeLa cells using RAD23A mouse mAb (green) and negative control (red).

Applications for Rad23 Antibody (3E3F4) - BSA Free

Application
Recommended Usage

ELISA

1:10000

Flow Cytometry

1:200-1:400

Immunohistochemistry

1:200-1:1000

Immunohistochemistry-Paraffin

1:200-1:1000

Western Blot

1:500-1:2000
Application Notes
This antibody is Cytof ready.

Formulation, Preparation, and Storage

Purification

Protein G purified

Formulation

PBS

Format

BSA Free

Preservative

0.05% Sodium Azide

Concentration

1 mg/ml

Shipping

The product is shipped with polar packs. Upon receipt, store it immediately at the temperature recommended below.

Stability & Storage

Store at 4C short term. Aliquot and store at -20C long term. Avoid freeze-thaw cycles.

Background: Rad23

Rad23 is an evolutionarily conserved protein that is important for nucleotide excision repair. All eukaryotic Rad23 proteins contain an amino-terminal UbL domain that bears a striking resemblance to ubiquitin. Rad23 has a proteolytic function in DNA repair via its interaction with the 26S proteosome through the UbL domain. The elimination of this Rad23 domain causes sensitivity to ultraviolet radiation.

Alternate Names

hHR23

Gene Symbol

RAD23A

Additional Rad23 Products

Product Documents for Rad23 Antibody (3E3F4) - BSA Free

Certificate of Analysis

To download a Certificate of Analysis, please enter a lot number in the search box below.

Product Specific Notices for Rad23 Antibody (3E3F4) - BSA Free

This product is for research use only and is not approved for use in humans or in clinical diagnosis. Primary Antibodies are guaranteed for 1 year from date of receipt.

Loading...
Loading...
Loading...
Loading...
Loading...