Skip to main content

Rad21 Antibody (HL2171) - Azide and BSA Free

Novus Biologicals, part of Bio-Techne | Catalog # NBP3-25619

Recombinant Monoclonal Antibody
Novus Biologicals, part of Bio-Techne
Catalog #
Availability
Size / Price
Qty
Loading...
NBP3-25619

Key Product Details

Species Reactivity

Human, Mouse, Rat

Applications

Immunohistochemistry, Immunohistochemistry-Paraffin, Western Blot

Label

Unconjugated

Antibody Source

Recombinant Monoclonal Rabbit IgG Clone # HL2171 expressed in HEK293

Format

Azide and BSA Free

Concentration

Concentrations vary lot to lot. See vial label for concentration. If unlisted please contact technical services.

Product Specifications

Immunogen

Recombinant fragmemt of human Rad21

Clonality

Monoclonal

Host

Rabbit

Isotype

IgG

Description

Novus Biologicals Rabbit Rad21 Antibody (HL2171) - Azide and BSA Free (NBP3-25619) is a recombinant monoclonal antibody validated for use in IHC and WB. All Novus Biologicals antibodies are covered by our 100% guarantee.

Scientific Data Images for Rad21 Antibody (HL2171) - Azide and BSA Free

Rad21 Antibody (HL2171) - Azide and BSA Free

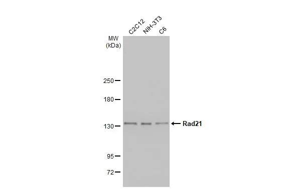
Western Blot: Rad21 Antibody (HL2171) - Azide and BSA Free [NBP3-25619] -

Western Blot: Rad21 Antibody (HL2171) - Azide and BSA Free [NBP3-25619] - Various whole cell extracts (30 ug) were separated by 5% SDS-PAGE, and the membrane was blotted with Rad21 antibody [HL2171] (NBP3-25619) diluted at 1:1000. The HRP-conjugated anti-rabbit IgG antibody was used to detect the primary antibody.
Rad21 Antibody (HL2171) - Azide and BSA Free

Immunohistochemistry-Paraffin: Rad21 Antibody (HL2171) - Azide and BSA Free [NBP3-25619] -

Immunohistochemistry-Paraffin: Rad21 Antibody (HL2171) - Azide and BSA Free [NBP3-25619] - Rad21 antibody [HL2171] detects Rad21 protein by immunohistochemical analysis. Sample: Paraffin-embedded mouse tissues. Rad21 stained by Rad21 antibody [HL2171] (NBP3-25619) diluted at 1:50. Antigen Retrieval: Citrate buffer, pH 6.0, 15 min
Rad21 Antibody (HL2171) - Azide and BSA Free

Western Blot: Rad21 Antibody (HL2171) - Azide and BSA Free [NBP3-25619] -

Western Blot: Rad21 Antibody (HL2171) - Azide and BSA Free [NBP3-25619] - Various whole cell extracts (30 ug) were separated by 5% SDS-PAGE, and the membrane was blotted with Rad21 antibody [HL2171] (NBP3-25619) diluted at 1:2000. The HRP-conjugated anti-rabbit IgG antibody was used to detect the primary antibody.

Applications for Rad21 Antibody (HL2171) - Azide and BSA Free

Application
Recommended Usage

Western Blot

1:500-1:3000

Formulation, Preparation, and Storage

Purification

Protein A purified

Formulation

PBS

Format

Azide and BSA Free

Preservative

No Preservative

Concentration

Concentrations vary lot to lot. See vial label for concentration. If unlisted please contact technical services.

Shipping

The product is shipped with polar packs. Upon receipt, store it immediately at the temperature recommended below.

Stability & Storage

Store at 4C short term. Aliquot and store at -20C long term. Avoid freeze-thaw cycles.

Background: Rad21

The cohesin complex plays an important role in tethering sister chromatids during the prophase through anaphase stages of mitosis, making certain that genomic information is replicated accurately. As the cellular division process continues, separase destroys the cohesin complex by means of cleavaging its Scc1 subunit (Mcd1/Scc1/hRad21), allowing the chromatids to separate and divide with the cell. During apoptosis the C-terminal portion of hRad21 is cleaved and translocated to the cytoplasm. This cleavage and translocation may act as a nuclear signal that promotes and accelerates subsequent events of apoptosis (2).

Alternate Names

double-strand-break repair protein rad21 homolog, hHR21FLJ25655, HR21, KIAA0078RAD21 (S. pombe) homolog, MCD1, Nuclear matrix protein 1, NXP-1, NXP1HRAD21, protein involved in DNA double-strand break repair, RAD21 homolog (S. pombe), SCC1 homolog, SCC1FLJ40596

Gene Symbol

RAD21

Additional Rad21 Products

Product Documents for Rad21 Antibody (HL2171) - Azide and BSA Free

Certificate of Analysis

To download a Certificate of Analysis, please enter a lot number in the search box below.

Product Specific Notices for Rad21 Antibody (HL2171) - Azide and BSA Free

This product is for research use only and is not approved for use in humans or in clinical diagnosis. Primary Antibodies are guaranteed for 1 year from date of receipt.

Loading...
Loading...
Loading...
Loading...