Skip to main content

RACK1/GNB2L1 Antibody (S02-1K6)

Novus Biologicals, part of Bio-Techne | Catalog # NBP3-14967

Recombinant Monoclonal Antibody
Catalog #
Availability
Size / Price
Qty
Loading...
NBP3-14967-100ul
NBP3-14967-25ul

Key Product Details

Species Reactivity

Human, Mouse, Rat

Applications

Immunohistochemistry, Immunohistochemistry-Paraffin, Western Blot

Label

Unconjugated

Antibody Source

Recombinant Monoclonal Rabbit IgG Clone # S02-1K6 expressed in HEK293

Concentration

Please see the vial label for concentration. If unlisted please contact technical services.

Product Specifications

Immunogen

A synthetic peptide of human RACK1/GNB2L1 (Uniprot#: P63244)

Clonality

Monoclonal

Host

Rabbit

Isotype

IgG

Theoretical MW

35 kDa.
Disclaimer note: The observed molecular weight of the protein may vary from the listed predicted molecular weight due to post translational modifications, post translation cleavages, relative charges, and other experimental factors.

Scientific Data Images for RACK1/GNB2L1 Antibody (S02-1K6)

Western Blot: RACK1/GNB2L1 Antibody (S02-1K6) [NBP3-14967]

Western Blot: RACK1/GNB2L1 Antibody (S02-1K6) [NBP3-14967]

Western Blot: RACK1/GNB2L1 Antibody (S02-1K6) [NBP3-14967] - Western blot detection of RACK1/GNB2L1 in C6, 3T3, Hela cell lysates using RACK1/GNB2L1 Rabbit mAb (1:1000 diluted). Predicted band size: 35kDa. Observed band size: 35kDa.
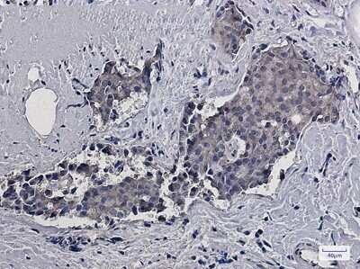
Immunohistochemistry-Paraffin: RACK1/GNB2L1 Antibody (S02-1K6) [NBP3-14967]

Immunohistochemistry-Paraffin: RACK1/GNB2L1 Antibody (S02-1K6) [NBP3-14967]

Immunohistochemistry-Paraffin: RACK1/GNB2L1 Antibody (S02-1K6) [NBP3-14967] - Immunohistochemistry of RACK1/GNB2L1 in paraffin-embedded Human breast cancer tissue using RACK1/GNB2L1 Rabbit mAb at dilution 1/20

Applications for RACK1/GNB2L1 Antibody (S02-1K6)

Application
Recommended Usage

Immunohistochemistry

1/20

Western Blot

1/1000

Formulation, Preparation, and Storage

Purification

Affinity purified

Formulation

50mM Tris-Glycine (pH 7.4), 0.15M NaCl, 40% Glycerol, 0.05% BSA

Preservative

0.01% Sodium Azide

Concentration

Please see the vial label for concentration. If unlisted please contact technical services.

Shipping

The product is shipped with polar packs. Upon receipt, store it immediately at the temperature recommended below.

Stability & Storage

Store at 4C short term. Aliquot and store at -20C long term. Avoid freeze-thaw cycles.

Background: RACK1

RACK1 (receptor for activated C kinase 1) was identified through its binding to various PKC isoforms. Its main function is to recruit PKC and various other proteins to specific location to form multiprotein complexes, mediating various signal pathways.

Long Name

Receptor for Activated Protein Kinase C 1

Alternate Names

GNB2L1

Gene Symbol

RACK1

Additional RACK1 Products

Product Documents for RACK1/GNB2L1 Antibody (S02-1K6)

Certificate of Analysis

To download a Certificate of Analysis, please enter a lot number in the search box below.

Product Specific Notices for RACK1/GNB2L1 Antibody (S02-1K6)

This product is for research use only and is not approved for use in humans or in clinical diagnosis. Primary Antibodies are guaranteed for 1 year from date of receipt.

Loading...
Loading...
Loading...
Loading...