Skip to main content

Rac1 Antibody (CPTC-RAC1-1) - Azide and BSA Free

Novus Biologicals, part of Bio-Techne | Catalog # NBP3-08939

Novus Biologicals, part of Bio-Techne
Catalog #
Availability
Size / Price
Qty
Loading...
NBP3-08939

Key Product Details

Species Reactivity

Human

Applications

Immunohistochemistry, Immunohistochemistry-Paraffin, Western Blot, ELISA, Immunocytochemistry/ Immunofluorescence, Protein Array

Label

Unconjugated

Antibody Source

Monoclonal Mouse IgG1 kappa Clone # CPTC-RAC1-1

Format

Azide and BSA Free

Concentration

1 mg/ml

Product Specifications

Immunogen

Recombinant human full-length Rac1protein (Uniprot: P63000)

Localization

Cell surface, Melanosome

Clonality

Monoclonal

Host

Mouse

Isotype

IgG1 kappa

Theoretical MW

21 kDa.
Disclaimer note: The observed molecular weight of the protein may vary from the listed predicted molecular weight due to post translational modifications, post translation cleavages, relative charges, and other experimental factors.

Description

1.0 mg/ml of antibody purified from Bioreactor Concentrate by Protein A/G. Prepared in 10mM PBS WITHOUT BSA & azide. Also available at 200 ug/ml WITH BSA & azide (NBP3-07195).

Antibody with azide - store at 2 to 8C. Antibody without azide - store at -20 to -80C.

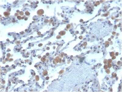
Scientific Data Images for Rac1 Antibody (CPTC-RAC1-1) - Azide and BSA Free

Immunohistochemistry-Paraffin: Rac1 Antibody (CPTC-RAC1-1) - Azide and BSA Free [NBP3-08939]

Immunohistochemistry-Paraffin: Rac1 Antibody (CPTC-RAC1-1) - Azide and BSA Free [NBP3-08939]

Immunohistochemistry-Paraffin: Rac1 Antibody (CPTC-RAC1-1) [NBP3-08939] - Formalin-fixed, paraffin-embedded human lung stained with Rac1 Mouse Monoclonal Antibody (CPTC-Rac1-1).
Immunohistochemistry-Paraffin: Rac1 Antibody (CPTC-RAC1-1) - Azide and BSA Free [NBP3-08939]

Immunohistochemistry-Paraffin: Rac1 Antibody (CPTC-RAC1-1) - Azide and BSA Free [NBP3-08939]

Immunohistochemistry-Paraffin: Rac1 Antibody (CPTC-RAC1-1) [NBP3-08939] - Formalin-fixed, paraffin-embedded human lung stained with Rac1 Mouse Monoclonal Antibody (CPTC-Rac1-1).
Protein Array: Rac1 Antibody (CPTC-RAC1-1) - Azide and BSA Free [NBP3-08939]

Protein Array: Rac1 Antibody (CPTC-RAC1-1) - Azide and BSA Free [NBP3-08939]

Protein Array: Rac1 Antibody (CPTC-RAC1-1) [NBP3-08939] - Analysis of Protein Array containing more than 19,000 full-length human proteins using Rac1Monoclonal Antibody (CPTC-RAC1-1).

Applications for Rac1 Antibody (CPTC-RAC1-1) - Azide and BSA Free

Application
Recommended Usage

Immunocytochemistry/ Immunofluorescence

1-2 ug/ml

Western Blot

1-2 ug/ml
Application Notes
ELISA: For coating, order antibody without BSA

Formulation, Preparation, and Storage

Purification

Protein A or G purified

Formulation

10 mM PBS

Format

Azide and BSA Free

Preservative

No Preservative

Concentration

1 mg/ml

Shipping

The product is shipped with polar packs. Upon receipt, store it immediately at the temperature recommended below.

Stability & Storage

Store at -20 to -80C. Avoid freeze-thaw cycles.

Background: Rac1

Plasma membrane-associated small GTPase which cycles between active GTP-bound and inactive GDP-bound states. In its active state, binds to a variety of effector proteins to regulate cellular responses such as secretory processes, phagocytosis of apoptotic cells, epithelial cell polarization and growth-factor induced formation of membrane ruffles.

Long Name

Ras-related C3 Botulinum Toxin Substrate 1 (Rho Family, small GTP binding Protein Rac1)

Alternate Names

p21-Rac1, TC-25

Gene Symbol

RAC1

Additional Rac1 Products

Product Documents for Rac1 Antibody (CPTC-RAC1-1) - Azide and BSA Free

Certificate of Analysis

To download a Certificate of Analysis, please enter a lot number in the search box below.

Product Specific Notices for Rac1 Antibody (CPTC-RAC1-1) - Azide and BSA Free

This product is for research use only and is not approved for use in humans or in clinical diagnosis. Primary Antibodies are guaranteed for 1 year from date of receipt.

Loading...
Loading...
Loading...
Loading...