RABL4 Antibody - BSA Free
Novus Biologicals, part of Bio-Techne | Catalog # NBP1-58928
Key Product Details
Species Reactivity
Human
Applications
Immunohistochemistry, Immunohistochemistry-Paraffin, Western Blot
Label
Unconjugated
Antibody Source
Polyclonal Rabbit IgG
Format
BSA Free
Concentration
0.5 mg/ml
Product Specifications
Immunogen
Synthetic peptides corresponding to RABL4(RAB, member of RAS oncogene family-like 4) The peptide sequence was selected from the C terminal of RABL4.
Peptide sequence RAWALGQGLECFETSVKEMENFEAPFHCLAKQFHQLYREKVEVFRALA. The peptide sequence for this immunogen was taken from within the described region.
Clonality
Polyclonal
Host
Rabbit
Isotype
IgG
Description
The addition of 50% glycerol is optional for those storing this antibody at -20C and not aliquoting smaller units. However, please note that glycerol may interrupt some downstream antibody applications and should be added with caution.
Scientific Data Images for RABL4 Antibody - BSA Free
Western Blot: RABL4 Antibody [NBP1-58928]
Western Blot: RABL4 Antibody [NBP1-58928] - 721_B cell lysate, concentration 0.2-1 ug/ml.Immunohistochemistry-Paraffin: RABL4 Antibody [NBP1-58928] -
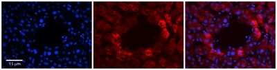
Immunohistochemistry-Paraffin: RABL4 Antibody [NBP1-58928] - Formalin Fixed Paraffin Embedded Tissue: Human Adult Liver Observed Staining: Cytoplasm in hepatocytes surrounding the portal vein only, signal is strong but tissue abundance is lowApplications for RABL4 Antibody - BSA Free
Application
Recommended Usage
Immunohistochemistry
1:10-1:500
Western Blot
1.0 ug/ml
Formulation, Preparation, and Storage
Purification
Affinity purified
Formulation
PBS, 2% Sucrose
Format
BSA Free
Preservative
0.09% Sodium Azide
Concentration
0.5 mg/ml
Shipping
The product is shipped with polar packs. Upon receipt, store it immediately at the temperature recommended below.
Stability & Storage
Store at 4C short term. Aliquot and store at -20C long term. Avoid freeze-thaw cycles.
Background: RABL4
Alternate Names
intraflagellar transport 27 homolog (Chlamydomonas), intraflagellar transport protein 27 homolog, member of RAS oncogene family-like 4, Putative GTP-binding protein RAY-like, RABL4, Rab-like protein 4
Gene Symbol
IFT27
UniProt
Additional RABL4 Products
Product Documents for RABL4 Antibody - BSA Free
Product Specific Notices for RABL4 Antibody - BSA Free
This product is for research use only and is not approved for use in humans or in clinical diagnosis. Primary Antibodies are guaranteed for 1 year from date of receipt.
Loading...
Loading...
Loading...
Loading...