Skip to main content

Rab3A Antibody (OTI1G3) - Azide and BSA Free

Novus Biologicals, part of Bio-Techne | Catalog # NBP2-73773

Novus Biologicals, part of Bio-Techne

Key Product Details

Species Reactivity

Human, Mouse, Rat

Applications

Immunohistochemistry, Immunohistochemistry-Paraffin, Western Blot

Label

Unconjugated

Antibody Source

Monoclonal Mouse IgG1 Clone # OTI1G3

Format

Azide and BSA Free

Concentration

LYOPH mg/ml

Product Specifications

Immunogen

Full length human recombinant protein of human RAB3A(NP_002857) produced in E.coli.

Reactivity Notes

Please note that this antibody is reactive to Mouse and derived from the same host, Mouse. Mouse-On-Mouse blocking reagent may be needed for IHC and ICC experiments to reduce high background signal. You can find these reagents under catalog numbers PK-2200-NB and MP-2400-NB. Please contact Technical Support if you have any questions.

Clonality

Monoclonal

Host

Mouse

Isotype

IgG1

Description

Novus Biologicals Mouse Rab3A Antibody (OTI1G3) - Azide and BSA Free (NBP2-45499) is a monoclonal antibody validated for use in IHC and WB. All Novus Biologicals antibodies are covered by our 100% guarantee.

Scientific Data Images for Rab3A Antibody (OTI1G3) - Azide and BSA Free

Western Blot: Rab3A Antibody (OTI1G3)Azide and BSA Free [NBP2-73773]

Western Blot: Rab3A Antibody (OTI1G3)Azide and BSA Free [NBP2-73773]

Western Blot: Rab3A Antibody (OTI1G3) - Azide and BSA Free [NBP2-73773] - HEK293T cells were transfected with the pCMV6-ENTRY control (Left lane) or pCMV6-ENTRY RAB3A (Right lane) cDNA for 48 hrs and lysed. Equivalent amounts of cell lysates (5 ug per lane) were separated by SDS-PAGE and immunoblotted with anti-RAB3A.
Immunohistochemistry: Rab3A Antibody (OTI1G3) - Azide and BSA Free [NBP2-73773]

Immunohistochemistry: Rab3A Antibody (OTI1G3) - Azide and BSA Free [NBP2-73773]

Immunohistochemistry: Rab3A Antibody (OTI1G3) - Azide and BSA Free [NBP2-73773] - Staining of paraffin-embedded Human lymph node tissue within the normal limits using anti-RAB3A mouse monoclonal antibody.
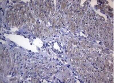
Immunohistochemistry: Rab3A Antibody (OTI1G3) - Azide and BSA Free [NBP2-73773]

Immunohistochemistry: Rab3A Antibody (OTI1G3) - Azide and BSA Free [NBP2-73773]

Immunohistochemistry: Rab3A Antibody (OTI1G3) - Azide and BSA Free [NBP2-73773] - Staining of paraffin-embedded Carcinoma of Human kidney tissue using anti-RAB3A mouse monoclonal antibody.

Applications for Rab3A Antibody (OTI1G3) - Azide and BSA Free

Application
Recommended Usage

Immunohistochemistry

1:150

Western Blot

1:2000

Formulation, Preparation, and Storage

Purification

Immunogen affinity purified

Reconstitution

we recommend adding 100uL distilled water to a final antibody concentration of about 1 mg/mL. To use this carrier-free antibody for conjugation experiment, we strongly recommend performing another round of desalting process.

Formulation

Lyophilized from PBS (pH 7.3) with 8% Trehalose

Format

Azide and BSA Free

Preservative

No Preservative

Concentration

LYOPH mg/ml

Shipping

The product is shipped with polar packs. Upon receipt, store it immediately at the temperature recommended below.

Stability & Storage

Store at -20C. Avoid freeze-thaw cycles.

Background: Rab3A

Rab proteins belong to the Ras small GTPase superfamily. The GTP-binding Rab3 subfamily has 4 known isoforms: 3A, 3B, 3C, and 3D (Schluter et al., 2004). These proteins are expressed in highest concentrations in brain and endocrine tissues and involved in regulated exocytosis of hormones and neurotransmitters (Coppola et al., 2002). Specifically, Rab3's are thought to play a key role in presynaptic vesicle trafficking and priming (Schluter et al., 2006).

Alternate Names

RAB3A, member RAS oncogene family, RAS-associated protein RAB3A, ras-related protein Rab-3A

Gene Symbol

RAB3A

Additional Rab3A Products

Product Documents for Rab3A Antibody (OTI1G3) - Azide and BSA Free

Certificate of Analysis

To download a Certificate of Analysis, please enter a lot number in the search box below.

Product Specific Notices for Rab3A Antibody (OTI1G3) - Azide and BSA Free

This product is for research use only and is not approved for use in humans or in clinical diagnosis. Primary Antibodies are guaranteed for 1 year from date of receipt.

Loading...
Loading...
Loading...
Loading...
Loading...