Skip to main content

RAB39B Antibody - BSA Free

Novus Biologicals, part of Bio-Techne | Catalog # NBP2-97201

Novus Biologicals, part of Bio-Techne

Key Product Details

Species Reactivity

Human

Applications

Immunohistochemistry, Immunohistochemistry-Paraffin, Immunocytochemistry/ Immunofluorescence

Label

Unconjugated

Antibody Source

Polyclonal Rabbit IgG

Format

BSA Free

Concentration

Please see the vial label for concentration. If unlisted please contact technical services.

Product Specifications

Immunogen

Produced in rabbits immunized with E. coli-derived Human RAB39B fragment.

Clonality

Polyclonal

Host

Rabbit

Isotype

IgG

Description

This antibody can be stored at 2C to 8C for one month without detectable loss of activity. Antibody products are stable for twelve months from date of receipt when stored at -20C to -80C. Avoid repeated freeze-thaw cycles.

Scientific Data Images for RAB39B Antibody - BSA Free

Immunohistochemistry-Paraffin: RAB39B Antibody [NBP2-97201]

Immunohistochemistry-Paraffin: RAB39B Antibody [NBP2-97201]

Immunohistochemistry-Paraffin: RAB39B Antibody [NBP2-97201] - Immunochemical staining of human RAB39B in human stomach with rabbit polyclonal antibody at 1:100 dilution, formalin-fixed paraffin embedded sections.
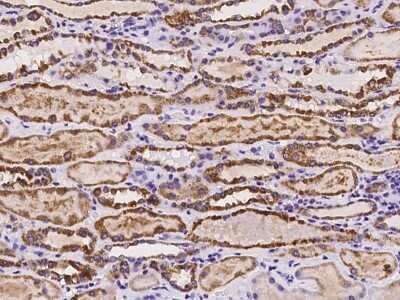
Immunohistochemistry-Paraffin: RAB39B Antibody [NBP2-97201]

Immunohistochemistry-Paraffin: RAB39B Antibody [NBP2-97201]

Immunohistochemistry-Paraffin: RAB39B Antibody [NBP2-97201] - Immunochemical staining of human RAB39B in human kidney with rabbit polyclonal antibody at 1:100 dilution, formalin-fixed paraffin embedded sections.
RAB39B Antibody - BSA Free

Immunocytochemistry/Immunofluorescence: RAB39B Antibody [NBP2-97201] -

Immunocytochemistry/Immunofluorescence: RAB39B Antibody [NBP2-97201] - Immunofluorescence staining of RAB39B in SHSY5Y cells. Cells were fixed with 4% PFA, permeabilzed with 0.1% Triton X-100 in PBS, blocked with 10% serum, and incubated with NBP2-97201 antibody (dilution ratio 1:200) at 4C overnight. Then cells were stained with the Alexa Fluor(R)488-conjugated Goat Anti-rabbit IgG secondary antibody (green) and counterstained with DAPI (blue).Positive staining was localized to Cytoplasm.

Applications for RAB39B Antibody - BSA Free

Application
Recommended Usage

Immunocytochemistry/ Immunofluorescence

1:100-1:500

Immunohistochemistry-Paraffin

1:50-1:200

Formulation, Preparation, and Storage

Purification

Antigen and protein A Affinity-purified

Formulation

PBS

Format

BSA Free

Preservative

0.03% Proclin 300

Concentration

Please see the vial label for concentration. If unlisted please contact technical services.

Shipping

The product is shipped with polar packs. Upon receipt, store it immediately at the temperature recommended below.

Stability & Storage

Store at 4C short term. Aliquot and store at -20C long term. Avoid freeze-thaw cycles.

Background: RAB39B

RAB39B (Ras-Related Protein Rab-39B) is a member of the RAB family and is involved in synapse formation. RAB39B is known to have interactions with SIRT2 and GDI1. Defects in RAB39B have been studied in relation to mental retardation X-linked type 72 (MRX72) which has been associated with epilepsy, autism and macrocephaly.

Alternate Names

MRX72, RAB39B, member RAS oncogene family, ras-related protein Rab-39B

Gene Symbol

RAB39B

Additional RAB39B Products

Product Documents for RAB39B Antibody - BSA Free

Certificate of Analysis

To download a Certificate of Analysis, please enter a lot number in the search box below.

Product Specific Notices for RAB39B Antibody - BSA Free

This product is for research use only and is not approved for use in humans or in clinical diagnosis. Primary Antibodies are guaranteed for 1 year from date of receipt.

Loading...
Loading...
Loading...
Loading...