RAB2B Antibody - BSA Free
Novus Biologicals, part of Bio-Techne | Catalog # NBP1-31631
Key Product Details
Species Reactivity
Human, Mouse
Applications
Immunohistochemistry, Immunohistochemistry-Paraffin, Western Blot, Immunocytochemistry/ Immunofluorescence
Label
Unconjugated
Antibody Source
Polyclonal Rabbit IgG
Format
BSA Free
Concentration
Concentrations vary lot to lot. See vial label for concentration. If unlisted please contact technical services.
Product Specifications
Immunogen
Full length human RAB2B Recombinant protein.
Localization
Cell membrane, Lipid-anchor, Cytoplasmic side (Potential), Endoplasmic reticulum membrane (Potential), Golgi apparatus membrane
Clonality
Polyclonal
Host
Rabbit
Isotype
IgG
Theoretical MW
24 kDa.
Disclaimer note: The observed molecular weight of the protein may vary from the listed predicted molecular weight due to post translational modifications, post translation cleavages, relative charges, and other experimental factors.
Disclaimer note: The observed molecular weight of the protein may vary from the listed predicted molecular weight due to post translational modifications, post translation cleavages, relative charges, and other experimental factors.
Description
Novus Biologicals Rabbit RAB2B Antibody - BSA Free (NBP1-31631) is a polyclonal antibody validated for use in IHC, WB and ICC/IF. All Novus Biologicals antibodies are covered by our 100% guarantee.
Scientific Data Images for RAB2B Antibody - BSA Free
Western Blot: RAB2B Antibody [NBP1-31631]
Western Blot: RAB2B Antibody [NBP1-31631] - Various tissue extracts (50 ug) were separated by 12% SDS-PAGE, and the membrane was blotted with RAB2B antibody diluted at 1:1000. The HRP-conjugated anti-rabbit IgG antibody (NBP2-19301) was used to detect the primary antibody.Immunocytochemistry/ Immunofluorescence: RAB2B Antibody [NBP1-31631]
Immunocytochemistry/Immunofluorescence: RAB2B Antibody [NBP1-31631] - Paraformaldehyde-fixed HeLa, using antibody at 1:200 dilution.Immunohistochemistry-Paraffin: RAB2B Antibody [NBP1-31631]
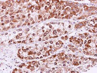
Immunohistochemistry-Paraffin: RAB2B Antibody [NBP1-31631] - Human liver carcinoma. RAB2B antibody dilution: 1:250. Antigen Retrieval: Trilogy (EDTA based, pH 8.0) buffer, 15min.Applications for RAB2B Antibody - BSA Free
Application
Recommended Usage
Immunocytochemistry/ Immunofluorescence
1:100-1:1000
Immunohistochemistry
1:100-1:1000
Immunohistochemistry-Paraffin
1:100-1:1000
Western Blot
1:500-1:3000
Formulation, Preparation, and Storage
Purification
Antigen Affinity-purified
Formulation
0.1M Tris, 0.1M Glycine, 10% Glycerol
Format
BSA Free
Preservative
0.01% Thimerosal
Concentration
Concentrations vary lot to lot. See vial label for concentration. If unlisted please contact technical services.
Shipping
The product is shipped with polar packs. Upon receipt, store it immediately at the temperature recommended below.
Stability & Storage
Aliquot and store at -20C or -80C. Avoid freeze-thaw cycles.
Background: RAB2B
Alternate Names
FLJ14824, member RAB2B, RAB2B, member RAS oncogene family, ras-related protein Rab-2B
Gene Symbol
RAB2B
Additional RAB2B Products
Product Documents for RAB2B Antibody - BSA Free
Product Specific Notices for RAB2B Antibody - BSA Free
This product is for research use only and is not approved for use in humans or in clinical diagnosis. Primary Antibodies are guaranteed for 1 year from date of receipt.
Loading...
Loading...
Loading...
Loading...
⚠ WARNING: This product can expose you to chemicals including mercury, which is known to the State of California to cause reproductive toxicity with developmental effects. For more information go to www.P65Warnings.ca.gov.