Skip to main content

RAB12 Antibody - BSA Free

Novus Biologicals, part of Bio-Techne | Catalog # NBP1-90976

Novus Biologicals, part of Bio-Techne
Catalog #
Availability
Size / Price
Qty
Loading...
NBP1-90976
NBP1-90976-25ul

Key Product Details

Species Reactivity

Validated:

Human

Predicted:

Mouse (98%), Rat (98%). Backed by our 100% Guarantee.

Applications

Immunohistochemistry, Immunohistochemistry-Paraffin, Immunocytochemistry/ Immunofluorescence

Label

Unconjugated

Antibody Source

Polyclonal Rabbit IgG

Format

BSA Free

Concentration

Concentrations vary lot to lot. See vial label for concentration. If unlisted please contact technical services.

Product Specifications

Immunogen

This antibody was developed against Recombinant Protein corresponding to amino acids: ITKKETFDDLPKWMKMIDKYASEDAELLLVGNKLDCETDREITRQQGEKFAQQITGMRFCEASA

Clonality

Polyclonal

Host

Rabbit

Isotype

IgG

Scientific Data Images for RAB12 Antibody - BSA Free

Immunocytochemistry/ Immunofluorescence: RAB12 Antibody [NBP1-90976]

Immunocytochemistry/ Immunofluorescence: RAB12 Antibody [NBP1-90976]

Immunocytochemistry/Immunofluorescence: RAB12 Antibody [NBP1-90976] - Immunofluorescent staining of human cell line U-2 OS shows localization to vesicles.
Immunohistochemistry-Paraffin: RAB12 Antibody [NBP1-90976]

Immunohistochemistry-Paraffin: RAB12 Antibody [NBP1-90976]

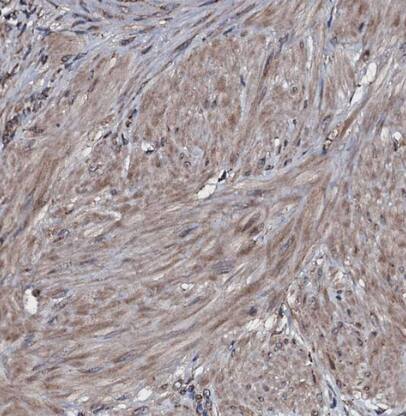
Immunohistochemistry-Paraffin: RAB12 Antibody [NBP1-90976] - Staining of human cerebral cortex shows strong granular cytoplasmic positivity in neurons.
Immunohistochemistry-Paraffin: RAB12 Antibody [NBP1-90976]

Immunohistochemistry-Paraffin: RAB12 Antibody [NBP1-90976]

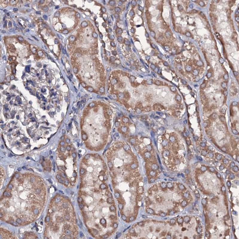
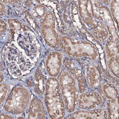
Immunohistochemistry-Paraffin: RAB12 Antibody [NBP1-90976] - Staining of human kidney shows moderate granular cytoplasmic positivity in cells in tubules.

Applications for RAB12 Antibody - BSA Free

Application
Recommended Usage

Immunocytochemistry/ Immunofluorescence

0.25-2 ug/ml

Immunohistochemistry

1:50 - 1:200

Immunohistochemistry-Paraffin

1:50 - 1:200
Application Notes
For IHC-Paraffin, HIER pH 6 retrieval is recommended. ICC/IF Fixation Permeabilization: Use PFA/Triton X-100.

Formulation, Preparation, and Storage

Purification

Affinity purified

Formulation

PBS (pH 7.2) and 40% Glycerol

Format

BSA Free

Preservative

0.02% Sodium Azide

Concentration

Concentrations vary lot to lot. See vial label for concentration. If unlisted please contact technical services.

Shipping

The product is shipped with polar packs. Upon receipt, store it immediately at the temperature recommended below.

Stability & Storage

Store at 4C short term. Aliquot and store at -20C long term. Avoid freeze-thaw cycles.

Background: RAB12

Alternate Names

FLJ45927, MGC104724, putative Ras-related protein Rab-12, RAB12, member RAS oncogene family, ras-related protein Rab-12

Gene Symbol

RAB12

Additional RAB12 Products

Product Documents for RAB12 Antibody - BSA Free

Certificate of Analysis

To download a Certificate of Analysis, please enter a lot number in the search box below.

Product Specific Notices for RAB12 Antibody - BSA Free

This product is for research use only and is not approved for use in humans or in clinical diagnosis. Primary Antibodies are guaranteed for 1 year from date of receipt.

Loading...
Loading...
Loading...
Loading...