Skip to main content

R-Spondin 2 Antibody (CL14321) - BSA Free

Novus Biologicals, part of Bio-Techne | Catalog # NBP3-26851

Novus Biologicals, part of Bio-Techne
Catalog #
Availability
Size / Price
Qty
Loading...
NBP3-26851-25ul
NBP3-26851-100ul

Key Product Details

Validated by

Orthogonal Validation

Species Reactivity

Validated:

Human, Mouse

Predicted:

Rat (94%). Backed by our 100% Guarantee.

Applications

Immunohistochemistry, Immunohistochemistry-Paraffin

Label

Unconjugated

Antibody Source

Monoclonal Mouse IgG2A Clone # CL14321

Format

BSA Free

Concentration

1 mg/ml

Product Specifications

Immunogen

This antibody was developed using a synthetic peptide derived from Q6UXX9, with the exact immunogen sequence remaining proprietary.

Clonality

Monoclonal

Host

Mouse

Isotype

IgG2A

Description

Novus Biologicals Mouse R-Spondin 2 Antibody (CL14321) - BSA Free (NBP3-26851) is a monoclonal antibody validated for use in IHC. All Novus Biologicals antibodies are covered by our 100% guarantee.

Scientific Data Images for R-Spondin 2 Antibody (CL14321) - BSA Free

R-Spondin 2 Antibody (CL14321)

Immunohistochemistry-Paraffin: R-Spondin 2 Antibody (CL14321) [NBP3-26851]

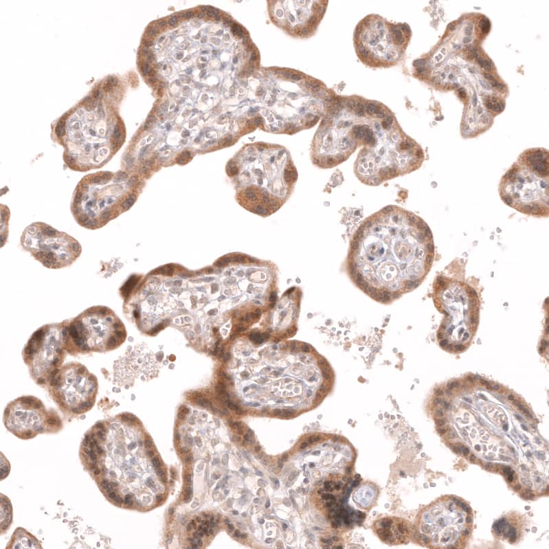
Analysis in human placenta and skeletal muscle tissues. Corresponding RNA-seq data are presented for the same tissues.
R-Spondin 2 Antibody (CL14321)

Immunohistochemistry-Paraffin: R-Spondin 2 Antibody (CL14321) [NBP3-26851]

Staining of human ovary shows weak to moderate cytoplasmic positivity in oocytes.
R-Spondin 2 Antibody (CL14321)

Immunohistochemistry-Paraffin: R-Spondin 2 Antibody (CL14321) [NBP3-26851]

Staining of human skeletal muscle shows no positivity in myocytes as expected.

Applications for R-Spondin 2 Antibody (CL14321) - BSA Free

Application
Recommended Usage

Immunohistochemistry

1:200 - 1:500

Immunohistochemistry-Paraffin

1:200 - 1:500
Application Notes
For IHC-Paraffin, HIER pH 6 retrieval is recommended.

Formulation, Preparation, and Storage

Purification

Protein A purified

Formulation

PBS (pH 7.2) and 40% Glycerol

Format

BSA Free

Preservative

0.02% Sodium Azide

Concentration

1 mg/ml

Shipping

The product is shipped with polar packs. Upon receipt, store it immediately at the temperature recommended below.

Stability & Storage

Store at 4C short term. Aliquot and store at -20C long term. Avoid freeze-thaw cycles.

Background: R-Spondin 2

R-spondins (RSPOs), such as RSPO2, are secreted proteins that regulate beta-catenin (CTNNB1; MIM 116806) signaling (Kim et al., 2006 [PubMed 16357527]).[supplied by OMIM]

Long Name

Roof Plate-specific Spondin 2

Alternate Names

Cristin 2, RSPO2, RSpondin 2

Gene Symbol

RSPO2

Additional R-Spondin 2 Products

Product Documents for R-Spondin 2 Antibody (CL14321) - BSA Free

Certificate of Analysis

To download a Certificate of Analysis, please enter a lot number in the search box below.

Product Specific Notices for R-Spondin 2 Antibody (CL14321) - BSA Free

This product is for research use only and is not approved for use in humans or in clinical diagnosis. Primary Antibodies are guaranteed for 1 year from date of receipt.

Loading...
Loading...
Loading...
Loading...