Skip to main content

QRICH1 Antibody - BSA Free

Novus Biologicals, part of Bio-Techne | Catalog # NBP2-32693

Novus Biologicals, part of Bio-Techne
Catalog #
Availability
Size / Price
Qty
Loading...
NBP2-32693
NBP2-32693-25ul

Key Product Details

Species Reactivity

Validated:

Human

Predicted:

Mouse (100%), Rat (99%). Backed by our 100% Guarantee.

Applications

Immunohistochemistry, Immunohistochemistry-Paraffin, Immunocytochemistry/ Immunofluorescence

Label

Unconjugated

Antibody Source

Polyclonal Rabbit IgG

Format

BSA Free

Concentration

Concentrations vary lot to lot. See vial label for concentration. If unlisted please contact technical services.

Product Specifications

Immunogen

This antibody was developed against a recombinant protein corresponding to amino acids: MNNSLENTISFEEYIRVKARSVPQHRMKEFLDSLASKGPEALQEFQQTATTTMVYQQGGNCIYTDSTEVAGSLLELACPVTTSVQPQTQQEQQIQV

Clonality

Polyclonal

Host

Rabbit

Isotype

IgG

Description

Novus Biologicals Rabbit QRICH1 Antibody - BSA Free (NBP2-32693) is a polyclonal antibody validated for use in IHC and ICC/IF. All Novus Biologicals antibodies are covered by our 100% guarantee.

Scientific Data Images for QRICH1 Antibody - BSA Free

Immunocytochemistry/ Immunofluorescence: QRICH1 Antibody [NBP2-32693]

Immunocytochemistry/ Immunofluorescence: QRICH1 Antibody [NBP2-32693]

Immunocytochemistry/Immunofluorescence: QRICH1 Antibody [NBP2-32693] - Immunofluorescent staining of human cell line U-2 OS shows localization to nucleoplasm.
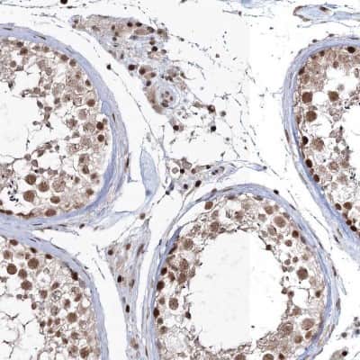
Immunohistochemistry-Paraffin: QRICH1 Antibody [NBP2-32693]

Immunohistochemistry-Paraffin: QRICH1 Antibody [NBP2-32693]

Immunohistochemistry-Paraffin: QRICH1 Antibody [NBP2-32693] - Staining of human testis shows nuclear positivity in cells in seminiferous ducts and Leydig cells.

Applications for QRICH1 Antibody - BSA Free

Application
Recommended Usage

Immunocytochemistry/ Immunofluorescence

0.25-2 ug/ml

Immunohistochemistry

1:200 - 1:500

Immunohistochemistry-Paraffin

1:200 - 1:500
Application Notes
For IHC-Paraffin, HIER pH 6 retrieval is recommended. ICC/IF,Fixation Permeabilization: Use PFA/Triton X-100.

Formulation, Preparation, and Storage

Purification

Affinity purified

Formulation

PBS (pH 7.2) and 40% Glycerol

Format

BSA Free

Preservative

0.02% Sodium Azide

Concentration

Concentrations vary lot to lot. See vial label for concentration. If unlisted please contact technical services.

Shipping

The product is shipped with polar packs. Upon receipt, store it immediately at the temperature recommended below.

Stability & Storage

Store at 4C short term. Aliquot and store at -20C long term. Avoid freeze-thaw cycles.

Background: QRICH1

Alternate Names

FLJ20259, glutamine-rich 1, glutamine-rich protein 1, MGC131838

Gene Symbol

QRICH1

Additional QRICH1 Products

Product Documents for QRICH1 Antibody - BSA Free

Certificate of Analysis

To download a Certificate of Analysis, please enter a lot number in the search box below.

Product Specific Notices for QRICH1 Antibody - BSA Free

This product is for research use only and is not approved for use in humans or in clinical diagnosis. Primary Antibodies are guaranteed for 1 year from date of receipt.

Loading...
Loading...
Loading...
Loading...