Skip to main content

QPRT Antibody (OTI1C10)

Novus Biologicals, part of Bio-Techne | Catalog # NBP2-02860

Novus Biologicals, part of Bio-Techne
Catalog #
Availability
Size / Price
Qty
Loading...
NBP2-02860

Key Product Details

Species Reactivity

Human

Applications

Immunohistochemistry, Immunohistochemistry-Paraffin, Western Blot, Flow Cytometry, Immunocytochemistry/ Immunofluorescence

Label

Unconjugated

Antibody Source

Monoclonal Mouse IgG1 Clone # OTI1C10

Concentration

1 mg/ml

Product Specifications

Immunogen

Full length human recombinant protein of human QPRT (NP_055113) produced in HEK293T cell.

Clonality

Monoclonal

Host

Mouse

Isotype

IgG1

Theoretical MW

30.6 kDa.
Disclaimer note: The observed molecular weight of the protein may vary from the listed predicted molecular weight due to post translational modifications, post translation cleavages, relative charges, and other experimental factors.

Description

Novus Biologicals Mouse QPRT Antibody (OTI1C10) (NBP2-02860) is a monoclonal antibody validated for use in IHC, WB, Flow and ICC/IF. All Novus Biologicals antibodies are covered by our 100% guarantee.

Scientific Data Images for QPRT Antibody (OTI1C10)

Western Blot: QPRT Antibody (1C10) [NBP2-02860] Analysis of extracts (35ug) from 9 different cell lines by using anti-QPRT monoclonal antibody.
Immunocytochemistry/ Immunofluorescence: QPRT Antibody (OTI1C10) [NBP2-02860]

Immunocytochemistry/ Immunofluorescence: QPRT Antibody (OTI1C10) [NBP2-02860]

Immunocytochemistry/Immunofluorescence: QPRT Antibody (1C10) [NBP2-02860] - Staining of COS7 cells transiently transfected by pCMV6-ENTRY QPRT.
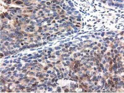
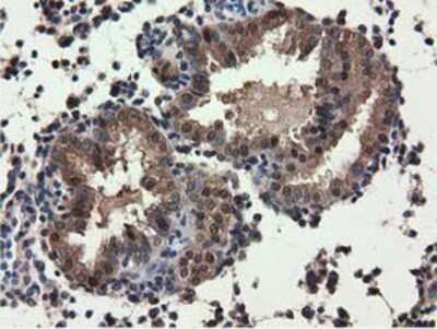
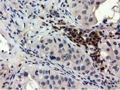
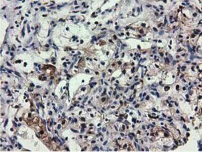
Immunohistochemistry-Paraffin: QPRT Antibody (OTI1C10) [NBP2-02860]

Immunohistochemistry-Paraffin: QPRT Antibody (OTI1C10) [NBP2-02860]

Immunohistochemistry-Paraffin: QPRT Antibody (1C10) [NBP2-02860] - Staining of paraffin-embedded Human prostate tissue using anti-QPRT mouse monoclonal antibody.

Applications for QPRT Antibody (OTI1C10)

Application
Recommended Usage

Flow Cytometry

1:100

Immunocytochemistry/ Immunofluorescence

1:100

Immunohistochemistry

1:150

Immunohistochemistry-Paraffin

1:150

Western Blot

1:500-2000

Formulation, Preparation, and Storage

Purification

Immunogen affinity purified

Formulation

PBS (pH 7.3), 1.0% BSA and 50% Glycerol

Preservative

0.02% Sodium Azide

Concentration

1 mg/ml

Shipping

The product is shipped with polar packs. Upon receipt, store it immediately at the temperature recommended below.

Stability & Storage

Store at -20C. Avoid freeze-thaw cycles.

Background: QPRT

This gene encodes a key enzyme in catabolism of quinolinate, an intermediate in the tryptophan-nicotinamide adenine dinucleotide pathway. Quinolinate acts as a most potent endogenous exitotoxin to neurons. Elevation of quinolinate levels in the brain has been linked to the pathogenesis of neurodegenerative disorders such as epilepsy, Alzheimer's disease, and Huntington's disease. [provided by RefSeq]. COMPLETENESS: complete on the 3' end.

Alternate Names

EC 2.4.2.19, nicotinate-nucleotide pyrophosphorylase (carboxylating), QAPRTase, QPRTasenicotinate-nucleotide pyrophosphorylase [carboxylating], quinolinate phosphoribosyltransferase, Quinolinate phosphoribosyltransferase [decarboxylating]

Entrez Gene IDs

23475 (Human)

Gene Symbol

QPRT

Additional QPRT Products

Product Documents for QPRT Antibody (OTI1C10)

Certificate of Analysis

To download a Certificate of Analysis, please enter a lot number in the search box below.

Product Specific Notices for QPRT Antibody (OTI1C10)

This product is for research use only and is not approved for use in humans or in clinical diagnosis. Primary Antibodies are guaranteed for 1 year from date of receipt.

Loading...
Loading...
Loading...
Loading...
Loading...