QARS Antibody - BSA Free
Novus Biologicals, part of Bio-Techne | Catalog # NBP1-89487
Key Product Details
Validated by
Independent Antibodies
Species Reactivity
Validated:
Human, Mouse, Rat
Cited:
Human
Applications
Validated:
Immunohistochemistry, Immunohistochemistry-Paraffin, Western Blot, Immunocytochemistry/ Immunofluorescence
Cited:
Western Blot
Label
Unconjugated
Antibody Source
Polyclonal Rabbit IgG
Format
BSA Free
Concentration
Concentrations vary lot to lot. See vial label for concentration. If unlisted please contact technical services.
Product Specifications
Immunogen
This antibody was developed against Recombinant Protein corresponding to amino acids: HTGYVIELQHVVKGPSGCVESLEVTCRRADAGEKPKAFIHWVSQPLMCEVRLYERLFQHKNPEDPTEVPGGFLSDLNLASLHVVDA
Clonality
Polyclonal
Host
Rabbit
Isotype
IgG
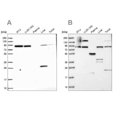
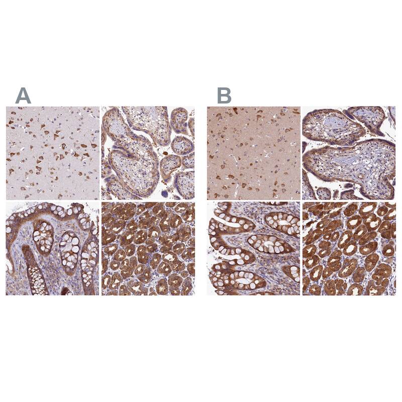
Scientific Data Images for QARS Antibody - BSA Free
Immunocytochemistry/ Immunofluorescence: QARS Antibody - BSA Free [NBP1-89487]
Staining of human cell line U-251 MG shows localization to cytosol.Immunohistochemistry-Paraffin: QARS Antibody - BSA Free [NBP1-89487]
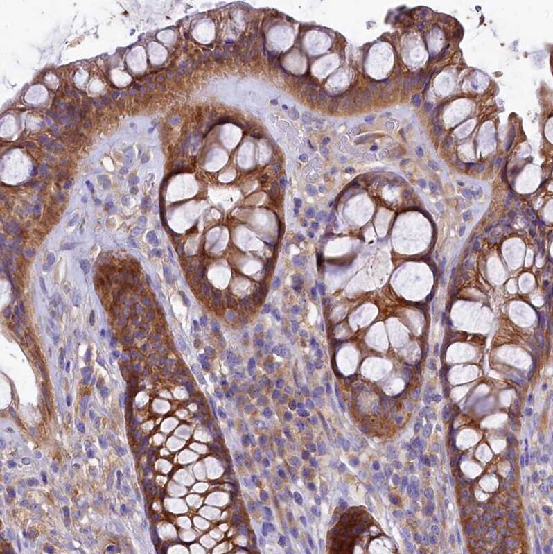
Staining of human rectum shows strong cytoplasmic positivity in glandular cells.Applications for QARS Antibody - BSA Free
Application
Recommended Usage
Immunocytochemistry/ Immunofluorescence
0.25-2 ug/ml
Immunohistochemistry
1:50 - 1:200
Immunohistochemistry-Paraffin
1:50 - 1:200
Western Blot
0.04-0.4 ug/ml
Application Notes
For IHC-Paraffin, HIER pH 6 retrieval is recommended. ICC/IF Fixation Permeabilization: Use PFA/Triton X-100.
Formulation, Preparation, and Storage
Purification
Affinity purified
Formulation
PBS (pH 7.2) and 40% Glycerol
Format
BSA Free
Preservative
0.02% Sodium Azide
Concentration
Concentrations vary lot to lot. See vial label for concentration. If unlisted please contact technical services.
Shipping
The product is shipped with polar packs. Upon receipt, store it immediately at the temperature recommended below.
Stability & Storage
Store at 4C short term. Aliquot and store at -20C long term. Avoid freeze-thaw cycles.
Background: QARS
Alternate Names
EC 6.1.1, EC 6.1.1.18, GlnRS, glutamine tRNA ligase, Glutamine--tRNA ligase, glutamine-tRNA synthetase, glutaminyl-tRNA synthetase, PRO2195
Gene Symbol
QARS1
Additional QARS Products
Product Documents for QARS Antibody - BSA Free
Product Specific Notices for QARS Antibody - BSA Free
This product is for research use only and is not approved for use in humans or in clinical diagnosis. Primary Antibodies are guaranteed for 1 year from date of receipt.
Loading...
Loading...
Loading...
Loading...