Skip to main content

PYHIN1 Antibody - BSA Free

Novus Biologicals, part of Bio-Techne | Catalog # NBP2-13835

Novus Biologicals, part of Bio-Techne
Catalog #
Availability
Size / Price
Qty
Loading...
NBP2-13835
NBP2-13835-25ul

Key Product Details

Validated by

Orthogonal Validation

Species Reactivity

Human

Applications

Immunohistochemistry, Immunohistochemistry-Paraffin

Label

Unconjugated

Antibody Source

Polyclonal Rabbit IgG

Format

BSA Free

Concentration

Concentrations vary lot to lot. See vial label for concentration. If unlisted please contact technical services.

Product Specifications

Immunogen

This antibody was developed against a recombinant protein corresponding to the amino acids: IESIPVKGIIPSKKTKQKEVYPATPACTPSNRLTAKGAEETLGPQKRKKPSEEETGTKRSKMSKEQTRPSCS

Clonality

Polyclonal

Host

Rabbit

Isotype

IgG

Description

Novus Biologicals Rabbit PYHIN1 Antibody - BSA Free (NBP2-13835) is a polyclonal antibody validated for use in IHC. All Novus Biologicals antibodies are covered by our 100% guarantee.

Scientific Data Images for PYHIN1 Antibody - BSA Free

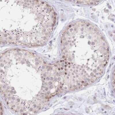
Immunohistochemistry-Paraffin: PYHIN1 Antibody [NBP2-13835]

Immunohistochemistry-Paraffin: PYHIN1 Antibody [NBP2-13835]

Immunohistochemistry-Paraffin: PYHIN1 Antibody [NBP2-13835] - Staining in human tonsil and liver tissues using NBP2-13835 antibody. Corresponding PYHIN1 RNA-seq data are presented for the same tissues.
Immunohistochemistry-Paraffin: PYHIN1 Antibody [NBP2-13835]

Immunohistochemistry-Paraffin: PYHIN1 Antibody [NBP2-13835]

Immunohistochemistry-Paraffin: PYHIN1 Antibody [NBP2-13835] - Staining of human liver shows no positivity in hepatocytes as expected.
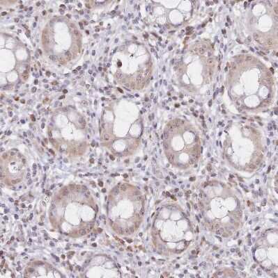
Immunohistochemistry-Paraffin: PYHIN1 Antibody [NBP2-13835]

Immunohistochemistry-Paraffin: PYHIN1 Antibody [NBP2-13835]

Immunohistochemistry-Paraffin: PYHIN1 Antibody [NBP2-13835] - Staining of human rectum shows moderate cytoplasmic/ nuclear positivity in lymphoid cells.

Applications for PYHIN1 Antibody - BSA Free

Application
Recommended Usage

Immunohistochemistry

1:200 - 1:500

Immunohistochemistry-Paraffin

1:200 - 1:500
Application Notes
For IHC-Paraffin, HIER pH 6 retrieval is recommended.

Formulation, Preparation, and Storage

Purification

Affinity purified

Formulation

PBS (pH 7.2) and 40% Glycerol

Format

BSA Free

Preservative

0.02% Sodium Azide

Concentration

Concentrations vary lot to lot. See vial label for concentration. If unlisted please contact technical services.

Shipping

The product is shipped with polar packs. Upon receipt, store it immediately at the temperature recommended below.

Stability & Storage

Store at 4C short term. Aliquot and store at -20C long term. Avoid freeze-thaw cycles.

Background: PYHIN1

PYHIN1 belongs to the HIN200 family of interferon-inducible proteins that share a 200-amino acid signature motif attheir C-terminal ends. HIN200 proteins are primarily nuclear and are involved in transcriptional regulation of genesimportant for cell cycle control, differentiation, and apoptosis (Ding et al., 2006 (PubMed 16479015)).(supplied byOMIM)

Alternate Names

IFIXMGC23885, Interferon-inducible protein X, pyrin and HIN domain family, member 1, pyrin and HIN domain-containing protein 1, RP11-520H16.1

Gene Symbol

PYHIN1

Additional PYHIN1 Products

Product Documents for PYHIN1 Antibody - BSA Free

Certificate of Analysis

To download a Certificate of Analysis, please enter a lot number in the search box below.

Product Specific Notices for PYHIN1 Antibody - BSA Free

This product is for research use only and is not approved for use in humans or in clinical diagnosis. Primary Antibodies are guaranteed for 1 year from date of receipt.

Loading...
Loading...
Loading...
Loading...