PYCR2 Antibody - BSA Free
Novus Biologicals, part of Bio-Techne | Catalog # NBP2-47318
Key Product Details
Species Reactivity
Human
Applications
Immunohistochemistry, Immunohistochemistry-Paraffin, Western Blot, Immunocytochemistry/ Immunofluorescence
Label
Unconjugated
Antibody Source
Polyclonal Rabbit IgG
Format
BSA Free
Concentration
Concentrations vary lot to lot. See vial label for concentration. If unlisted please contact technical services.
Product Specifications
Immunogen
This antibody was developed against a recombinant protein corresponding to amino acids: LKKTLLDRVKLESPTVSTLTPSSPGKLLTRSLALGGKK
Reactivity Notes
Immunogen displays the following percentage of sequence identity for non-tested species: Mouse (82%)
Clonality
Polyclonal
Host
Rabbit
Isotype
IgG
Description
Novus Biologicals Rabbit PYCR2 Antibody - BSA Free (NBP2-47318) is a polyclonal antibody validated for use in IHC, WB and ICC/IF. All Novus Biologicals antibodies are covered by our 100% guarantee.
Scientific Data Images for PYCR2 Antibody - BSA Free
Western Blot: PYCR2 Antibody [NBP2-47318]
Western Blot: PYCR2 Antibody [NBP2-47318] - Analysis in human cell line NTERA-2.Immunocytochemistry/ Immunofluorescence: PYCR2 Antibody [NBP2-47318]
Immunocytochemistry/Immunofluorescence: PYCR2 Antibody [NBP2-47318] - Staining of human cell line U-251 MG shows localization to mitochondria. Antibody staining is shown in green.Immunohistochemistry-Paraffin: PYCR2 Antibody [NBP2-47318]
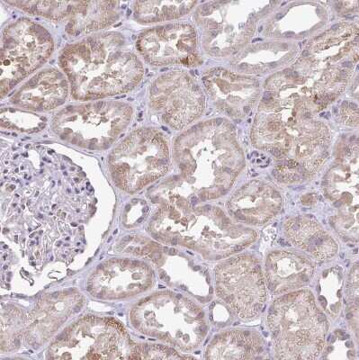
Immunohistochemistry-Paraffin: PYCR2 Antibody [NBP2-47318] - Staining of human liver shows no positivity in hepatocytes as expected.Applications for PYCR2 Antibody - BSA Free
Application
Recommended Usage
Immunocytochemistry/ Immunofluorescence
0.25-2 ug/ml
Immunohistochemistry
1:200 - 1:500
Immunohistochemistry-Paraffin
1:200 - 1:500
Western Blot
0.04-0.4 ug/ml
Application Notes
For IHC-Paraffin, HIER pH 6 retrieval is recommended. ICC/IF Fixation Permeabilization: Use PFA/Triton X-100.
Formulation, Preparation, and Storage
Purification
Affinity purified
Formulation
PBS (pH 7.2) and 40% Glycerol
Format
BSA Free
Preservative
0.02% Sodium Azide
Concentration
Concentrations vary lot to lot. See vial label for concentration. If unlisted please contact technical services.
Shipping
The product is shipped with polar packs. Upon receipt, store it immediately at the temperature recommended below.
Stability & Storage
Store at 4C short term. Aliquot and store at -20C long term. Avoid freeze-thaw cycles.
Background: PYCR2
Alternate Names
EC 1.5.1.2, FLJ54750, P5C reductase 2, P5CR 2, P5CR2, pyrroline 5-carboxylate reductase isoform, pyrroline-5-carboxylate reductase 2, pyrroline-5-carboxylate reductase family, member 2
Gene Symbol
PYCR2
Additional PYCR2 Products
Product Documents for PYCR2 Antibody - BSA Free
Product Specific Notices for PYCR2 Antibody - BSA Free
This product is for research use only and is not approved for use in humans or in clinical diagnosis. Primary Antibodies are guaranteed for 1 year from date of receipt.
Loading...
Loading...
Loading...
Loading...