PXMP3 Antibody - Azide and BSA Free
Novus Biologicals, part of Bio-Techne | Catalog # NBP2-94643
Key Product Details
Species Reactivity
Human, Mouse, Rat
Applications
Immunohistochemistry, Immunohistochemistry-Paraffin, Western Blot, ELISA
Label
Unconjugated
Antibody Source
Polyclonal Rabbit IgG
Format
Azide and BSA Free
Concentration
Please see the vial label for concentration. If unlisted please contact technical services.
Product Specifications
Immunogen
Recombinant fusion protein containing a sequence corresponding to amino acids 1-130 of human PEX2 (NP_001165558.1). MASRKENAKSANRVLRISQLDALELNKALEQLVWSQFTQCFHGFKPGLLARFEPEVKACLWVFLWRFTIYSKNATVGQSVLNIKYKNDFSPNLRYQPPSKNQKIWYAVCTIGGRWLEERCYDLFRNHHLA
Clonality
Polyclonal
Host
Rabbit
Isotype
IgG
Theoretical MW
35 kDa.
Disclaimer note: The observed molecular weight of the protein may vary from the listed predicted molecular weight due to post translational modifications, post translation cleavages, relative charges, and other experimental factors.
Disclaimer note: The observed molecular weight of the protein may vary from the listed predicted molecular weight due to post translational modifications, post translation cleavages, relative charges, and other experimental factors.
Description
Novus Biologicals Rabbit PXMP3 Antibody - Azide and BSA Free (NBP2-94643) is a polyclonal antibody validated for use in IHC, WB and ELISA. All Novus Biologicals antibodies are covered by our 100% guarantee.
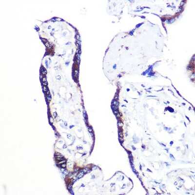
Scientific Data Images for PXMP3 Antibody - Azide and BSA Free
Western Blot: PXMP3 AntibodyAzide and BSA Free [NBP2-94643]
Western Blot: PXMP3 Antibody [NBP2-94643] - Analysis of extracts of various cell lines, using PXMP3 at 1:1000 dilution. Secondary antibody: HRP Goat Anti-Rabbit IgG (H+L) at 1:10000 dilution. Lysates/proteins: 25ug per lane. Blocking buffer: 3% nonfat dry milk in TBST. Detection: ECL Basic Kit . Exposure time: 20s.Immunohistochemistry-Paraffin: PXMP3 Antibody - Azide and BSA Free [NBP2-94643]
Immunohistochemistry-Paraffin: PXMP3 Antibody [NBP2-94643] - Immunohistochemistry of paraffin-embedded human placenta using PXMP3 Rabbit pAb (NBP2-94643) at dilution of 1:100 (40x lens). Perform high pressure antigen retrieval with 10 mM citrate buffer pH 6.0 before commencing with IHC staining protocol.Applications for PXMP3 Antibody - Azide and BSA Free
Application
Recommended Usage
ELISA
Recommended starting concentration is 1 μg/mL
Immunohistochemistry
1:50 - 1:200
Immunohistochemistry-Paraffin
1:50 - 1:200
Western Blot
1:200 - 1:2000
Formulation, Preparation, and Storage
Purification
Affinity purified
Formulation
PBS (pH 7.3), 50% glycerol
Format
Azide and BSA Free
Preservative
0.01% Thimerosal
Concentration
Please see the vial label for concentration. If unlisted please contact technical services.
Shipping
The product is shipped with polar packs. Upon receipt, store it immediately at the temperature recommended below.
Stability & Storage
Store at -20C. Avoid freeze-thaw cycles.
Background: PXMP3
Alternate Names
PAF-1, PAF1peroxisomal membrane protein 3 (35kD, Zellweger syndrome), Peroxin-2, peroxisomal biogenesis factor 2,35 kDa peroxisomal membrane protein, Peroxisomal membrane protein 3, peroxisomal membrane protein 3, 35kDa, Peroxisome assembly factor 1, peroxisome biogenesis factor 2, PMP35PMP3, PXMP3peroxisome assembly factor-1, RNF72RING finger protein 72, ZWS3
Gene Symbol
PEX2
Additional PXMP3 Products
Product Documents for PXMP3 Antibody - Azide and BSA Free
Product Specific Notices for PXMP3 Antibody - Azide and BSA Free
This product is for research use only and is not approved for use in humans or in clinical diagnosis. Primary Antibodies are guaranteed for 1 year from date of receipt.
Loading...
Loading...
Loading...
Loading...
⚠ WARNING: This product can expose you to chemicals including Methotrexate, which is known to the State of California to cause reproductive toxicity with developmental effects. For more information, go to www.P65Warnings.ca.gov