Skip to main content

PX19 Antibody - BSA Free

Novus Biologicals, part of Bio-Techne | Catalog # NBP2-20015

Novus Biologicals, part of Bio-Techne
Catalog #
Availability
Size / Price
Qty
Loading...
NBP2-20015

Key Product Details

Species Reactivity

Human

Applications

Immunohistochemistry, Immunohistochemistry-Paraffin, Western Blot, Immunocytochemistry/ Immunofluorescence

Label

Unconjugated

Antibody Source

Polyclonal Rabbit IgG

Format

BSA Free

Concentration

Concentrations vary lot to lot. See vial label for concentration. If unlisted please contact technical services.

Product Specifications

Immunogen

Recombinant protein encompassing a sequence within the center region of human PX19. The exact sequence is proprietary.

Reactivity Notes

Immunogen displays the following percentage of sequence identity for non-tested species: Xenopus tropicalis (80%).

Localization

Mitochondrion

Clonality

Polyclonal

Host

Rabbit

Isotype

IgG

Theoretical MW

25 kDa.
Disclaimer note: The observed molecular weight of the protein may vary from the listed predicted molecular weight due to post translational modifications, post translation cleavages, relative charges, and other experimental factors.

Description

Novus Biologicals Rabbit PX19 Antibody - BSA Free (NBP2-20015) is a polyclonal antibody validated for use in IHC, WB and ICC/IF. All Novus Biologicals antibodies are covered by our 100% guarantee.

Scientific Data Images for PX19 Antibody - BSA Free

Western Blot: PX19 Antibody [NBP2-20015]

Western Blot: PX19 Antibody [NBP2-20015]

Western Blot: PX19 Antibody [NBP2-20015] - Sample (30 ug of whole cell lysate) A: A549 12% SDS PAGE gel, diluted at 1:500.
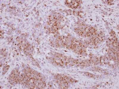
Immunohistochemistry-Paraffin: PX19 Antibody [NBP2-20015]

Immunohistochemistry-Paraffin: PX19 Antibody [NBP2-20015]

Immunohistochemistry-Paraffin: PX19 Antibody [NBP2-20015] - Immunohistochemical analysis of paraffin-embedded Breast ca, using antibody at 1:250 dilution.
PX19 Antibody - BSA Free

Immunocytochemistry/ Immunofluorescence: PX19 Antibody [NBP2-20015] -

PRELID1 antibody [N1C3-2] detects PRELID1 protein at mitochondria by immunofluorescent analysis.
Sample: SKNSH cells were fixed in 2% paraformaldehyde/culture medium at 37oC for 30 min.
Green: PRELID1 protein stained by PRELID1 antibody [N1C3-2] (NBP2-20015) diluted at 1:500.
Blue: Hoechst 33342 staining.
Scale bar = 10 um.

Applications for PX19 Antibody - BSA Free

Application
Recommended Usage

Immunocytochemistry/ Immunofluorescence

1:100-1:1000

Immunohistochemistry

10 - 1:500

Immunohistochemistry-Paraffin

1:100-1:1000

Western Blot

1:500-1:3000

Formulation, Preparation, and Storage

Purification

Antigen Affinity-purified

Formulation

0.1M Tris, 0.1M Glycine, 20% Glycerol

Format

BSA Free

Preservative

0.01% Thimerosal

Concentration

Concentrations vary lot to lot. See vial label for concentration. If unlisted please contact technical services.

Shipping

The product is shipped with polar packs. Upon receipt, store it immediately at the temperature recommended below.

Stability & Storage

Aliquot and store at -20C or -80C. Avoid freeze-thaw cycles.

Background: PX19

May be important for the development of vital and immunocompetent organs.

Alternate Names

25 kDa protein of relevant evolutionary and lymphoid interest, CGI-106, MGC87972, PRELI domain containing 1, PRELImitochondrial, protein of relevant evolutionary and lymphoid interest

Gene Symbol

PRELID1

UniProt

Additional PX19 Products

Product Documents for PX19 Antibody - BSA Free

Certificate of Analysis

To download a Certificate of Analysis, please enter a lot number in the search box below.

Product Specific Notices for PX19 Antibody - BSA Free

This product is for research use only and is not approved for use in humans or in clinical diagnosis. Primary Antibodies are guaranteed for 1 year from date of receipt.

Loading...
Loading...
Loading...
Loading...

⚠ WARNING: This product can expose you to chemicals including mercury, which is known to the State of California to cause reproductive toxicity with developmental effects.  For more information go to www.P65Warnings.ca.gov.