Skip to main content

PX19 Antibody - BSA Free

Novus Biologicals, part of Bio-Techne | Catalog # NBP1-88093

Novus Biologicals, part of Bio-Techne
Catalog #
Availability
Size / Price
Qty
Loading...
NBP1-88093
NBP1-88093-25ul

Key Product Details

Species Reactivity

Validated:

Human

Predicted:

Mouse (99%), Rat (99%). Backed by our 100% Guarantee.

Applications

Immunohistochemistry, Immunohistochemistry-Paraffin, Immunocytochemistry/ Immunofluorescence

Label

Unconjugated

Antibody Source

Polyclonal Rabbit IgG

Format

BSA Free

Concentration

Concentrations vary lot to lot. See vial label for concentration. If unlisted please contact technical services.

Product Specifications

Immunogen

This antibody was developed against Recombinant Protein corresponding to amino acids: VAHSVYVLEDSIVDPQNQTMTTFTWNINHARLMVVEERCVYCVNSDNSGWTEIRREAWVSSSLFGVSRAVQEFGLARFKSNVTKTMKGFEYILAKLQGEAPSKTLVETAKEAKEKAKETALAATEKA

Clonality

Polyclonal

Host

Rabbit

Isotype

IgG

Scientific Data Images for PX19 Antibody - BSA Free

Immunocytochemistry/ Immunofluorescence: PX19 Antibody [NBP1-88093]

Immunocytochemistry/ Immunofluorescence: PX19 Antibody [NBP1-88093]

Immunocytochemistry/Immunofluorescence: PX19 Antibody [NBP1-88093] - Staining of human cell line U-2 OS shows localization to mitochondria. Antibody staining is shown in green.
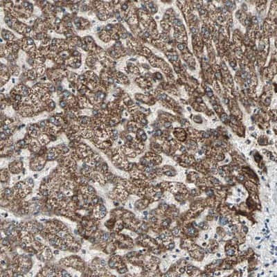
Immunohistochemistry-Paraffin: PX19 Antibody [NBP1-88093]

Immunohistochemistry-Paraffin: PX19 Antibody [NBP1-88093]

Immunohistochemistry-Paraffin: PX19 Antibody [NBP1-88093] - Staining of human liver shows strong cytoplasmic positivity in hepatocytes.

Applications for PX19 Antibody - BSA Free

Application
Recommended Usage

Immunocytochemistry/ Immunofluorescence

0.25-2 ug/ml

Immunohistochemistry

1:200 - 1:500

Immunohistochemistry-Paraffin

1:200 - 1:500
Application Notes
For IHC-Paraffin, HIER pH 6 retrieval is recommended. ICC/IF Fixation Permeabilization: Use PFA/Triton X-100.

Formulation, Preparation, and Storage

Purification

Affinity purified

Formulation

PBS (pH 7.2) and 40% Glycerol

Format

BSA Free

Preservative

0.02% Sodium Azide

Concentration

Concentrations vary lot to lot. See vial label for concentration. If unlisted please contact technical services.

Shipping

The product is shipped with polar packs. Upon receipt, store it immediately at the temperature recommended below.

Stability & Storage

Store at 4C short term. Aliquot and store at -20C long term. Avoid freeze-thaw cycles.

Background: PX19

PX19 may be important for the development of vital and immunocompetent organs

Alternate Names

25 kDa protein of relevant evolutionary and lymphoid interest, CGI-106, MGC87972, PRELI domain containing 1, PRELImitochondrial, protein of relevant evolutionary and lymphoid interest

Gene Symbol

PRELID1

Additional PX19 Products

Product Documents for PX19 Antibody - BSA Free

Certificate of Analysis

To download a Certificate of Analysis, please enter a lot number in the search box below.

Product Specific Notices for PX19 Antibody - BSA Free

This product is for research use only and is not approved for use in humans or in clinical diagnosis. Primary Antibodies are guaranteed for 1 year from date of receipt.

Loading...
Loading...
Loading...
Loading...