Skip to main content

PUS1 Antibody

Novus Biologicals, part of Bio-Techne | Catalog # NB100-86983

Novus Biologicals, part of Bio-Techne
Catalog #
Availability
Size / Price
Qty
Loading...
NB100-86983

Key Product Details

Validated by

Independent Antibodies

Species Reactivity

Human

Applications

Immunohistochemistry, Immunohistochemistry-Paraffin, Immunoprecipitation, Western Blot

Label

Unconjugated

Antibody Source

Polyclonal Rabbit IgG

Concentration

0.2 mg/ml

Product Specifications

Immunogen

The immunogen recognized by this antibody maps to a region between residue 377 and 427 of human pseudouridylate synthase 1 using the numbering given in entry NP_079491.2 (GeneID 80324).

Specificity

This antibody detects both isoforms of PUS1: Isoform 1 (47.5 kDa) and Isoform 2 (44.4kDa).

Clonality

Polyclonal

Host

Rabbit

Isotype

IgG

Description

Novus Biologicals Rabbit PUS1 Antibody (NB100-86983) is a polyclonal antibody validated for use in IHC, WB and IP. All Novus Biologicals antibodies are covered by our 100% guarantee.

Scientific Data Images for PUS1 Antibody

Western Blot: PUS1 Antibody [NB100-86983]

Western Blot: PUS1 Antibody [NB100-86983]

Western Blot: PUS1 Antibody [NB100-86983] - Whole cell lysate (5, 15 and 50 mcg for WB; 1 mg for IP, 20% of IP loaded) from HeLa cells. NB100-86983 used for WB at 0.04 mcg/ml (A) and 1 mcg/ml (B) and used for IP at 3 mcg/mg lysate.
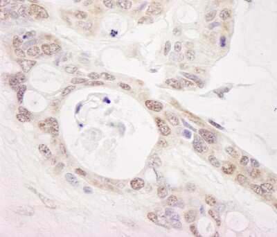
Immunohistochemistry: PUS1 Antibody [NB100-86983]

Immunohistochemistry: PUS1 Antibody [NB100-86983]

Immunohistochemistry: PUS1 Antibody [NB100-86983] - Sample: FFPE section of human ovarian carcinoma. Antibody: Affinity purified rabbit anti- PUS1 used at a dilution of 1:1,000 (0.2 ug/ml). Detection: DAB

Applications for PUS1 Antibody

Application
Recommended Usage

Immunohistochemistry

1:250

Immunohistochemistry-Paraffin

1:250

Immunoprecipitation

2-5 ug/mg lysate

Western Blot

1:2000-1:10000
Application Notes
Immunohistochemistry 1:500 to 1:2,000. Epitope retrieval with citrate buffer pH6.0 is recommended for FFPE tissue sections

Formulation, Preparation, and Storage

Purification

Immunogen affinity purified

Formulation

TBS and 0.1% BSA

Preservative

0.09% Sodium Azide

Concentration

0.2 mg/ml

Shipping

The product is shipped with polar packs. Upon receipt, store it immediately at the temperature recommended below.

Stability & Storage

Store at 4C. Do not freeze.

Background: PUS1

PUS1 converts uridine into pseudouridine after the nucleotide has been incorporated into RNA. Pseudouridine may have a functional role in tRNAs and may assist in the peptidyl transfer reaction of rRNAs (Chen and Patton, 1999 [PubMed 10094309]).[supplied by OMIM]

Alternate Names

EC 5.4.99.12, MGC11268, mitochondrial tRNA pseudouridine synthase A, MLASA1, pseudouridylate synthase 1, tRNA pseudouridine synthase A, mitochondrial, tRNA pseudouridylate synthase I, tRNA uridine isomerase I, tRNA-uridine isomerase I

Entrez Gene IDs

80324 (Human)

Gene Symbol

PUS1

Additional PUS1 Products

Product Documents for PUS1 Antibody

Certificate of Analysis

To download a Certificate of Analysis, please enter a lot number in the search box below.

Product Specific Notices for PUS1 Antibody

This product is for research use only and is not approved for use in humans or in clinical diagnosis. Primary Antibodies are guaranteed for 1 year from date of receipt.

Loading...
Loading...
Loading...
Loading...