PTPN12 Antibody
Novus Biologicals, part of Bio-Techne | Catalog # NB100-60666
Key Product Details
Validated by
Independent Antibodies, Biological Validation
Species Reactivity
Human, Mouse
Applications
Immunohistochemistry, Immunohistochemistry-Paraffin, Western Blot, Immunoprecipitation
Label
Unconjugated
Antibody Source
Polyclonal Rabbit IgG
Concentration
0.2 mg/ml
Product Specifications
Immunogen
The immunogen recognized by this antibody maps to a region between residue 760 and 780 of human protein tyrosine phosphatase, non-receptor type 12 using the numbering given in entry NP_002826.2 (GeneID 5782).
Clonality
Polyclonal
Host
Rabbit
Isotype
IgG
Scientific Data Images for PTPN12 Antibody
Western Blot: PTPN12 Antibody [NB100-60666]
Western Blot: PTPN12 Antibody [NB100-60666] - Detection of Human and Mouse PTPN12 by Western Blot. Samples: Whole cell lysate from HeLa (5, 15 and 50 ug) and mouse NIH3T3 (M; 50 ug) cells. Antibodies: Affinity purified rabbit anti-PTPN12 antibody NB100-60666 used at 0.04 ug/ml. Detection: Chemiluminescence with exposure time of 30 seconds.Immunohistochemistry: PTPN12 Antibody [NB100-60666]
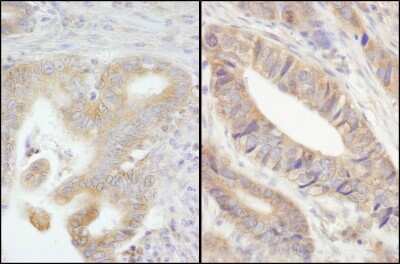
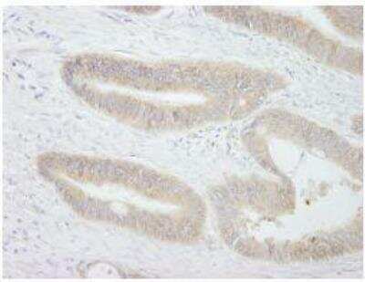
Immunohistochemistry: PTPN12 Antibody [NB100-60666] - Sample: FFPE section of human stomach carcinoma (left) and colon carcinoma (right). Antibody: Affinity purified rabbit anti- PTPN12 used at a dilution of 1:200 (1ug/ml). Detection: DABApplications for PTPN12 Antibody
Application
Recommended Usage
Immunohistochemistry
1:100 - 1:500
Immunohistochemistry-Paraffin
1:100-1:500
Immunoprecipitation
2-5 ug/mg lysate
Western Blot
1:2000-1:10000
Application Notes
Epitope retrieval with citrate buffer pH6.0 is recommended for FFPE tissue sections.
Formulation, Preparation, and Storage
Purification
Immunogen affinity purified
Formulation
TBS and 0.1% BSA
Preservative
0.09% Sodium Azide
Concentration
0.2 mg/ml
Shipping
The product is shipped with polar packs. Upon receipt, store it immediately at the temperature recommended below.
Stability & Storage
Store at 4C. Do not freeze.
Background: PTPN12
Long Name
Tyrosine-protein phosphatase non-receptor type 12
Alternate Names
PTP-PEST, PTPG1
Gene Symbol
PTPN12
UniProt
Additional PTPN12 Products
Product Documents for PTPN12 Antibody
Product Specific Notices for PTPN12 Antibody
This product is for research use only and is not approved for use in humans or in clinical diagnosis. Primary Antibodies are guaranteed for 1 year from date of receipt.
Loading...
Loading...
Loading...
Loading...