Skip to main content

PTP4A1 Antibody - BSA Free

Novus Biologicals, part of Bio-Techne | Catalog # NBP3-41338

Novus Biologicals, part of Bio-Techne
Catalog #
Availability
Size / Price
Qty
Loading...
NBP3-41338

Key Product Details

Species Reactivity

Human, Mouse, Rat

Applications

Immunohistochemistry, Western Blot

Label

Unconjugated

Antibody Source

Polyclonal Rabbit

Format

BSA Free

Concentration

0.5 mg/ml

Product Specifications

Immunogen

Immunized with recombinant Human PTP4A1 (Uniprot#: Q93096; Met1-Gln173 (Uniprot#: Q93096)

Clonality

Polyclonal

Host

Rabbit

Description

Novus Biologicals Rabbit PTP4A1 Antibody - BSA Free (NBP3-41338) is a polyclonal antibody validated for use in IHC and WB. All Novus Biologicals antibodies are covered by our 100% guarantee.

Scientific Data Images for PTP4A1 Antibody - BSA Free

PTP4A1 Antibody

Western Blot: PTP4A1 Antibody [NBP3-41338] -

Western Blot: PTP4A1 Antibody [NBP3-41338] - Sample: Recombinant protein.
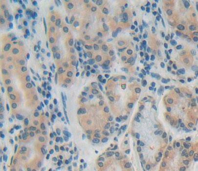
PTP4A1 Antibody

Immunohistochemistry-Paraffin: PTP4A1 Antibody [NBP3-41338] -

Immunohistochemistry-Paraffin: PTP4A1 Antibody [NBP3-41338] - Used in DAB staining on fromalin fixed paraffin- embedded stomach tissue

Applications for PTP4A1 Antibody - BSA Free

Application
Recommended Usage

Immunohistochemistry

5-20ug/mL

Western Blot

0.01-2ug/mL

Formulation, Preparation, and Storage

Purification

Antigen and protein A Affinity-purified

Formulation

0.01M PBS, pH7.4, 50% glycerol

Format

BSA Free

Preservative

0.05% Proclin 300

Concentration

0.5 mg/ml

Shipping

The product is shipped with polar packs. Upon receipt, store it immediately at the temperature recommended below.

Stability & Storage

Store at 4C short term. Aliquot and store at -20C long term. Avoid freeze-thaw cycles.

Background: PRL-1/PTP4A1

PTP4A1 is encoded by this gene belongs to a small class of prenylated protein tyrosine phosphatases (PTPs), which contains a PTP domain and a characteristic C-terminal prenylation motif. PTPs are cell signaling molecules that play regulatory roles in a variety of cellular processes. This tyrosine phosphatase is a nuclear protein, but may primarily associate with plasma membrane. The surface membrane association of this protein depends on its C-terminal prenylation. Overexpression of this gene in mammalian cells conferred a transformed phenotype, which implicated its role in the tumorigenesis. Studies in rat suggested that this gene may be an immediate-early gene in mitogen-stimulated cells. [provided by RefSeq]

Long Name

Phosphatase of Regenerating Liver 1

Alternate Names

HH72, PRL1, PTP(CAAX1)

Gene Symbol

PTP4A1

Additional PRL-1/PTP4A1 Products

Product Documents for PTP4A1 Antibody - BSA Free

Certificate of Analysis

To download a Certificate of Analysis, please enter a lot number in the search box below.

Product Specific Notices for PTP4A1 Antibody - BSA Free

This product is for research use only and is not approved for use in humans or in clinical diagnosis. Primary Antibodies are guaranteed for 1 year from date of receipt.

Loading...
Loading...
Loading...
Loading...