Skip to main content

PTP alpha/PTPRA Antibody - BSA Free

Novus Biologicals, part of Bio-Techne | Catalog # NBP3-46848

Novus Biologicals, part of Bio-Techne
Catalog #
Availability
Size / Price
Qty
Loading...
NBP3-46848

Key Product Details

Species Reactivity

Human, Mouse, Rat

Applications

Immunohistochemistry, Western Blot, ELISA

Label

Unconjugated

Antibody Source

Polyclonal Rabbit IgG

Format

BSA Free

Concentration

Please see the vial label for concentration. If unlisted please contact technical services.

Product Specifications

Immunogen

protein tyrosine phosphatase, receptor type, A. (Uniprot# P18433)

Clonality

Polyclonal

Host

Rabbit

Isotype

IgG

Theoretical MW

70 kDa.
Disclaimer note: The observed molecular weight of the protein may vary from the listed predicted molecular weight due to post translational modifications, post translation cleavages, relative charges, and other experimental factors.

Description

Novus Biologicals Rabbit PTP alpha/PTPRA Antibody - BSA Free (NBP3-46848) is a polyclonal antibody validated for use in IHC, WB and ELISA. All Novus Biologicals antibodies are covered by our 100% guarantee.

Scientific Data Images for PTP alpha/PTPRA Antibody - BSA Free

PTP alpha/PTPRA Antibody - BSA Free

Western Blot: PTP alpha/PTPRA Antibody - BSA Free [NBP3-46848] -

Western Blot: PTP alpha/PTPRA Antibody - BSA Free [NBP3-46848] - A431 cells were subjected to SDS PAGE followed by western blot with (PTP alpha/PTPRA antibody) at dilution of 1:1000
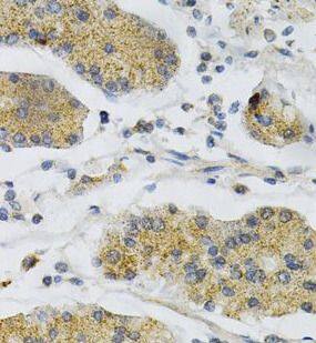
PTP alpha/PTPRA Antibody - BSA Free

Immunohistochemistry: PTP alpha/PTPRA Antibody - BSA Free [NBP3-46848] -

Immunohistochemistry: PTP alpha/PTPRA Antibody - BSA Free [NBP3-46848] - Immunohistochemistry of paraffin-embedded human stomach using (PTP alpha/PTPRA antibody) at dilution of 1:100

Applications for PTP alpha/PTPRA Antibody - BSA Free

Application
Recommended Usage

Immunohistochemistry

1:100 - 1:200

Western Blot

1:500 - 1:2000

Formulation, Preparation, and Storage

Purification

Immunogen affinity purified

Formulation

PBS, 50% Glycerol, pH (7.3)

Format

BSA Free

Preservative

0.02% Sodium Azide

Concentration

Please see the vial label for concentration. If unlisted please contact technical services.

Shipping

The product is shipped with polar packs. Upon receipt, store it immediately at the temperature recommended below.

Stability & Storage

Store at -20C. Avoid freeze-thaw cycles.

Background: PTP alpha/PTPRA

PTP alpha is encoded by this gene is a member of the protein tyrosine phosphatase (PTP) family. PTPs are known to be signaling molecules that regulate a variety of cellular processes including cell growth, differentiation, mitotic cycle, and oncogenic transformation. This PTP contains an extracellular domain, a single transmembrane segment and two tandem intracytoplasmic catalytic domains, and thus represents a receptor-type PTP. This PTP has been shown to dephosphorylate and activate Src family tyrosine kinases, and is implicated in the regulation of integrin signaling, cell adhesion and proliferation. Three alternatively spliced variants of this gene, which encode two distinct isoforms, have been reported.

Long Name

Protein Tyrosine Phosphatase Receptor-type alpha

Alternate Names

HEPTP, HLPR, LRP, PTPase-alpha, PTPRA, PTPRL2

Gene Symbol

PTPRA

Additional PTP alpha/PTPRA Products

Product Documents for PTP alpha/PTPRA Antibody - BSA Free

Certificate of Analysis

To download a Certificate of Analysis, please enter a lot number in the search box below.

Product Specific Notices for PTP alpha/PTPRA Antibody - BSA Free

This product is for research use only and is not approved for use in humans or in clinical diagnosis. Primary Antibodies are guaranteed for 1 year from date of receipt.

Loading...
Loading...
Loading...
Loading...