Skip to main content

PTER Antibody - BSA Free

Novus Biologicals, part of Bio-Techne | Catalog # NBP3-46856

Novus Biologicals, part of Bio-Techne
Catalog #
Availability
Size / Price
Qty
Loading...
NBP3-46856

Key Product Details

Species Reactivity

Human, Mouse, Rat

Applications

Immunohistochemistry, Western Blot, ELISA

Label

Unconjugated

Antibody Source

Polyclonal Rabbit IgG

Format

BSA Free

Concentration

Please see the vial label for concentration. If unlisted please contact technical services.

Product Specifications

Immunogen

phosphotriesterase related. (Uniprot# Q96BW5)

Clonality

Polyclonal

Host

Rabbit

Isotype

IgG

Description

Novus Biologicals Rabbit PTER Antibody - BSA Free (NBP3-46856) is a polyclonal antibody validated for use in IHC, WB and ELISA. All Novus Biologicals antibodies are covered by our 100% guarantee.

Scientific Data Images for PTER Antibody - BSA Free

PTER Antibody - BSA Free

Western Blot: PTER Antibody - BSA Free [NBP3-46856] -

Western Blot: PTER Antibody - BSA Free [NBP3-46856] - HEK-293 cells were subjected to SDS PAGE followed by western blot with (PTER antibody) at dilution of 1:400
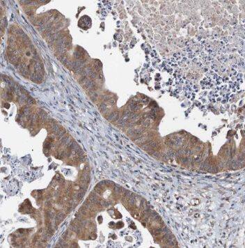
PTER Antibody - BSA Free

Immunohistochemistry: PTER Antibody - BSA Free [NBP3-46856] -

Immunohistochemistry: PTER Antibody - BSA Free [NBP3-46856] - Immunohistochemistry of paraffin-embedded human ovary tumor using (PTER antibody) at dilution of 1:50

Applications for PTER Antibody - BSA Free

Application
Recommended Usage

Immunohistochemistry

1:20-1:200

Western Blot

1:500-1:2000
Application Notes
Theoretical Molecular Weight is 33 kDa, 39 kDa

Formulation, Preparation, and Storage

Purification

Immunogen affinity purified

Formulation

PBS, 50% Glycerol, pH (7.3)

Format

BSA Free

Preservative

0.02% Sodium Azide

Concentration

Please see the vial label for concentration. If unlisted please contact technical services.

Shipping

The product is shipped with polar packs. Upon receipt, store it immediately at the temperature recommended below.

Stability & Storage

Store at -20C. Avoid freeze-thaw cycles.

Background: PTER

Alternate Names

EC 3.1, hPHRP, Parathion hydrolase-related protein, phosphotriesterase related, phosphotriesterase-related protein, resiniferatoxin-binding, phosphotriesterase-related, RPR-1

Gene Symbol

PTER

Additional PTER Products

Product Documents for PTER Antibody - BSA Free

Certificate of Analysis

To download a Certificate of Analysis, please enter a lot number in the search box below.

Product Specific Notices for PTER Antibody - BSA Free

This product is for research use only and is not approved for use in humans or in clinical diagnosis. Primary Antibodies are guaranteed for 1 year from date of receipt.

Loading...
Loading...
Loading...
Loading...