Skip to main content

PTER Antibody - BSA Free

Novus Biologicals, part of Bio-Techne | Catalog # NBP1-77355

Novus Biologicals, part of Bio-Techne

Key Product Details

Species Reactivity

Human, Mouse, Rat

Applications

Immunohistochemistry, Immunohistochemistry-Paraffin, Western Blot, ELISA

Label

Unconjugated

Antibody Source

Polyclonal Rabbit IgG

Format

BSA Free

Concentration

1 mg/ml

Product Specifications

Immunogen

Antibody was raised against a 16 amino acid synthetic peptide from near the carboxy terminus of human PTER. The immunogen is located within amino acids 250 - 300 of PTER. Amino Acid Squence: PDIDMPDDNKRIRRVR

Reactivity Notes

Immunogen displays the following percentage of sequence identity for non-tested species: Bovine (88%)

Clonality

Polyclonal

Host

Rabbit

Isotype

IgG

Description

Novus Biologicals Rabbit PTER Antibody - BSA Free (NBP1-77355) is a polyclonal antibody validated for use in IHC, WB and ELISA. All Novus Biologicals antibodies are covered by our 100% guarantee.

Scientific Data Images for PTER Antibody - BSA Free

Western Blot: PTER AntibodyBSA Free [NBP1-77355]

Western Blot: PTER AntibodyBSA Free [NBP1-77355]

Western Blot: PTER Antibody [NBP1-77355] - Human kidney tissue lysate with PTER antibody at (A) 1 and (B) 2 ug/mL.
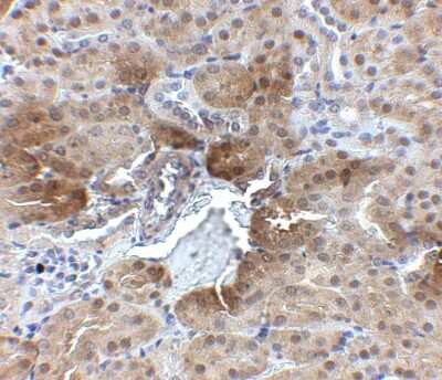
Immunohistochemistry-Paraffin: PTER Antibody - BSA Free [NBP1-77355]

Immunohistochemistry-Paraffin: PTER Antibody - BSA Free [NBP1-77355]

Immunohistochemistry-Paraffin: PTER Antibody [NBP1-77355] - Mouse kidney tissue with PTER antibody at 2.5 ug/ml.

Applications for PTER Antibody - BSA Free

Application
Recommended Usage

ELISA

1:100-1:2000

Immunohistochemistry

2.5 ug/ml

Immunohistochemistry-Paraffin

2.5 ug/ml

Western Blot

1-2 ug/ml

Formulation, Preparation, and Storage

Purification

Peptide affinity purified

Formulation

PBS

Format

BSA Free

Preservative

0.02% Sodium Azide

Concentration

1 mg/ml

Shipping

The product is shipped with polar packs. Upon receipt, store it immediately at the temperature recommended below.

Stability & Storage

Store at 4C short term. Aliquot and store at -20C long term. Avoid freeze-thaw cycles.

Background: PTER

PTER is a mammalian homolog to bacterial phosphotriesterases, enzymes that hydrolyze phosphotriester-containing organophosphate pesticides. It is expressed primarily in the proximal renal tubules and the gene has been localized in humans to chromosomal band 10p12 by in situ hybridization. PTER, in addition to FTO, MC4R, and NPC1 has recently been shown to be a new risk loci for early-onset and morbid adult obesity in European populations. At least two isoforms of PTER are known to exist.

Alternate Names

EC 3.1, hPHRP, Parathion hydrolase-related protein, phosphotriesterase related, phosphotriesterase-related protein, resiniferatoxin-binding, phosphotriesterase-related, RPR-1

Gene Symbol

PTER

Additional PTER Products

Product Documents for PTER Antibody - BSA Free

Certificate of Analysis

To download a Certificate of Analysis, please enter a lot number in the search box below.

Product Specific Notices for PTER Antibody - BSA Free

This product is for research use only and is not approved for use in humans or in clinical diagnosis. Primary Antibodies are guaranteed for 1 year from date of receipt.

Loading...
Loading...
Loading...
Loading...