Skip to main content

PSMC6 Antibody - BSA Free

Novus Biologicals, part of Bio-Techne | Catalog # NBP3-28965

Novus Biologicals, part of Bio-Techne
Catalog #
Availability
Size / Price
Qty
Loading...
NBP3-28965

Key Product Details

Species Reactivity

Human, Mouse

Applications

Immunohistochemistry, Immunoprecipitation, Western Blot

Label

Unconjugated

Antibody Source

Polyclonal Rabbit IgG

Format

BSA Free

Concentration

Please see the vial label for concentration. If unlisted please contact technical services.

Product Specifications

Immunogen

Between 339 and 389

Clonality

Polyclonal

Host

Rabbit

Isotype

IgG

Description

Novus Biologicals Rabbit PSMC6 Antibody - BSA Free (NBP3-28965) is a polyclonal antibody validated for use in IHC, WB and IP. All Novus Biologicals antibodies are covered by our 100% guarantee.

Scientific Data Images for PSMC6 Antibody - BSA Free

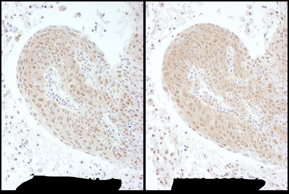
PSMC6 Antibody

Immunohistochemistry:[NBP3-28965]-

Immunohistochemistry:[NBP3-28965]-Detection of human PSMC6 by immunohistochemistry. Samples: FFPE serial sections of human lung carcinoma. Antibody: Affinity purified rabbit anti-PSMC6 used at a dilution of 1: 1,000. Detection: DAB. Counterstain: hematoxylin.
PSMC6 Antibody

Immunohistochemistry:[NBP3-28965]-

Immunohistochemistry:[NBP3-28965]-PSMC6 Antibody

Applications for PSMC6 Antibody - BSA Free

Application
Recommended Usage

Immunohistochemistry

Optimal dilutions of this antibody should be experimentally determined.

Immunoprecipitation

Optimal dilutions of this antibody should be experimentally determined.

Western Blot

Optimal dilutions of this antibody should be experimentally determined.

Formulation, Preparation, and Storage

Purification

Affinity purified

Formulation

Tris-citrate/phosphate buffer, pH 7 to 8

Format

BSA Free

Preservative

0.09% Sodium Azide

Concentration

Please see the vial label for concentration. If unlisted please contact technical services.

Shipping

The product is shipped with polar packs. Upon receipt, store it immediately at the temperature recommended below.

Stability & Storage

Store at 4C. Do not freeze.

Background: PSMC6

The 26S proteasome is a multicatalytic proteinase complex with a highly ordered structure composed of 2 complexes, a 20S core and a 19S regulator. The 20S core is composed of 4 rings of 28 non-identical subunits; 2 rings are composed of 7 alpha subunits and 2 rings are composed of 7 beta subunits. The 19S regulator is composed of a base, which contains 6 ATPase subunits and 2 non-ATPase subunits, and a lid, which contains up to 10 non-ATPase subunits. Proteasomes are distributed throughout eukaryotic cells at a high concentration and cleave peptides in an ATP/ubiquitin-dependent process in a non-lysosomal pathway. An essential function of a modified proteasome, the immunoproteasome, is the processing of class I MHC peptides. This gene encodes one of the ATPase subunits, a member of the triple-A family of ATPases which have a chaperone-like activity. Pseudogenes have been identified on chromosomes 8 and 12.

Alternate Names

26S protease regulatory subunit 10B, 26S protease regulatory subunit S10B, 26S proteasome AAA-ATPase subunit RPT4, CADP44, conserved ATPase domain protein 44, MGC12520, p42, P44, proteasome (prosome, macropain) 26S subunit, ATPase, 6, Proteasome 26S subunit ATPase 6, Proteasome subunit p42, SUG2

Gene Symbol

PSMC6

Additional PSMC6 Products

Product Documents for PSMC6 Antibody - BSA Free

Certificate of Analysis

To download a Certificate of Analysis, please enter a lot number in the search box below.

Product Specific Notices for PSMC6 Antibody - BSA Free

This product is for research use only and is not approved for use in humans or in clinical diagnosis. Primary Antibodies are guaranteed for 1 year from date of receipt.

Loading...
Loading...
Loading...
Loading...