Skip to main content

PSMB7 Antibody - BSA Free

Novus Biologicals, part of Bio-Techne | Catalog # NBP3-29058

Novus Biologicals, part of Bio-Techne
Catalog #
Availability
Size / Price
Qty
Loading...
NBP3-29058

Key Product Details

Species Reactivity

Human, Mouse

Applications

Immunohistochemistry, Western Blot

Label

Unconjugated

Antibody Source

Polyclonal Rabbit IgG

Format

BSA Free

Concentration

Please see the vial label for concentration. If unlisted please contact technical services.

Product Specifications

Immunogen

Between 150 and 200

Clonality

Polyclonal

Host

Rabbit

Isotype

IgG

Description

Novus Biologicals Rabbit PSMB7 Antibody - BSA Free (NBP3-29058) is a polyclonal antibody validated for use in IHC and WB. All Novus Biologicals antibodies are covered by our 100% guarantee.

Scientific Data Images for PSMB7 Antibody - BSA Free

PSMB7 Antibody

Immunohistochemistry;PSMB7 Antibody[NBP3-29057]

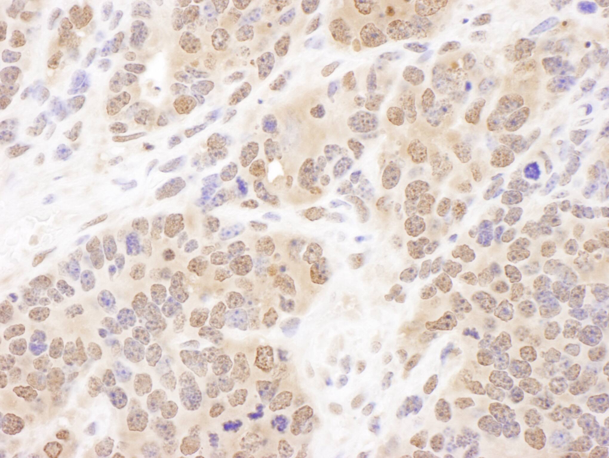
Immunohistochemistry;PSMB7 Antibody[NBP3-29057]Detection of human PSMB7 by immunohistochemistry. Sample: FFPE section of human non-small cell lung cancer. Antibody: Affinity purified rabbit anti-PSMB7 used at a dilution of 1:5,000 . Detection: DAB. Counterstain: hematoxylin .
PSMB7 Antibody

Immunohistochemistry;PSMB7 Antibody[NBP3-29058]

Immunohistochemistry;PSMB7 Antibody[NBP3-29058]Detection of mouse PSMB7 by immunohistochemistry. Sample: FFPE section of mouse teratoma. Antibody: Affinity purified rabbit anti-PSMB7 used at a dilution of 1:1,000 . Detection: DAB

Applications for PSMB7 Antibody - BSA Free

Application
Recommended Usage

Immunohistochemistry

Optimal dilutions of this antibody should be experimentally determined.

Western Blot

Optimal dilutions of this antibody should be experimentally determined.

Formulation, Preparation, and Storage

Purification

Affinity purified

Formulation

Tris-citrate/phosphate buffer, pH 7 to 8

Format

BSA Free

Preservative

0.09% Sodium Azide

Concentration

Please see the vial label for concentration. If unlisted please contact technical services.

Shipping

The product is shipped with polar packs. Upon receipt, store it immediately at the temperature recommended below.

Stability & Storage

Store at 4C. Do not freeze.

Background: PSMB7

PSMB7 (proteasome subunit, beta-type 7), also called proteasome subunit Z, is a widely expressed, non-catalytic component of the 20S proteasome core within the 26S proteasome that stabilizes late stages of proteasome assembly. Human PSMB7 is synthesized as a 277 amino acid (aa) protein with a 43 aa propeptide and a 234 active protein that contains one potential tyrosine phosphorylation site. Total PSMB7 expression is positively correlated with chemotherapy resistance in human breast cancer.

Long Name

Proteasome (Prosome, Macropain) Subunit, beta Type, 7

Alternate Names

Macropain Chain Z, Proteasome Subunit Z

Gene Symbol

PSMB7

Additional PSMB7 Products

Product Documents for PSMB7 Antibody - BSA Free

Certificate of Analysis

To download a Certificate of Analysis, please enter a lot number in the search box below.

Product Specific Notices for PSMB7 Antibody - BSA Free

This product is for research use only and is not approved for use in humans or in clinical diagnosis. Primary Antibodies are guaranteed for 1 year from date of receipt.

Loading...
Loading...
Loading...
Loading...