Skip to main content

PSMB7 Antibody - BSA Free

Novus Biologicals, part of Bio-Techne | Catalog # NBP2-19954

Novus Biologicals, part of Bio-Techne
Catalog #
Availability
Size / Price
Qty
Loading...
NBP2-19954

Key Product Details

Species Reactivity

Human, Mouse

Applications

Validated:

Immunohistochemistry, Immunohistochemistry-Paraffin, Western Blot, Immunocytochemistry/ Immunofluorescence

Cited:

Western Blot

Label

Unconjugated

Antibody Source

Polyclonal Rabbit IgG

Format

BSA Free

Concentration

Concentrations vary lot to lot. See vial label for concentration. If unlisted please contact technical services.

Product Specifications

Immunogen

Recombinant protein encompassing a sequence within the center region of human PSMB7. The exact sequence is proprietary.

Reactivity Notes

Immunogen displays the following percentage of sequence identity for non-tested species: Chicken (84%).

Localization

Cytoplasm; Nucleus

Clonality

Polyclonal

Host

Rabbit

Isotype

IgG

Theoretical MW

30 kDa.
Disclaimer note: The observed molecular weight of the protein may vary from the listed predicted molecular weight due to post translational modifications, post translation cleavages, relative charges, and other experimental factors.

Description

Novus Biologicals Rabbit PSMB7 Antibody - BSA Free (NBP2-19954) is a polyclonal antibody validated for use in IHC, WB and ICC/IF. Anti-PSMB7 Antibody: Cited in 1 publication. All Novus Biologicals antibodies are covered by our 100% guarantee.

Scientific Data Images for PSMB7 Antibody - BSA Free

Western Blot: PSMB7 Antibody [NBP2-19954]

Western Blot: PSMB7 Antibody [NBP2-19954]

Western Blot: PSMB7 Antibody [NBP2-19954] - Sample (50 ug of whole cell lysate) A: Mouse Brain, 12% SDS PAGE gel, diluted at 1:1000.
Immunohistochemistry-Paraffin: PSMB7 Antibody [NBP2-19954]

Immunohistochemistry-Paraffin: PSMB7 Antibody [NBP2-19954]

Immunohistochemistry-Paraffin: PSMB7 Antibody [NBP2-19954] - Mouse brain. Proteasome 20S beta 7 antibody [N2C3] diluted at 1:500. Antigen Retrieval: Trilogy™ (EDTA based, pH 8.0) buffer, 15min.
Immunohistochemistry-Paraffin: PSMB7 Antibody [NBP2-19954]

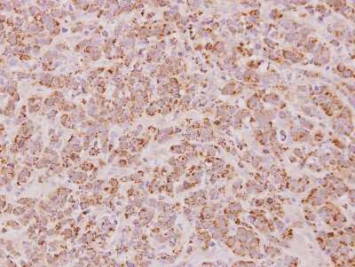
Immunohistochemistry-Paraffin: PSMB7 Antibody [NBP2-19954]

Immunohistochemistry-Paraffin: PSMB7 Antibody [NBP2-19954] - MDA-MB157 xenograft, using Proteasome 20S beta 7 antibody at 1:100 dilution. Antigen Retrieval: Trilogy™ (EDTA based, pH 8.0) buffer, 15min.

Applications for PSMB7 Antibody - BSA Free

Application
Recommended Usage

Immunocytochemistry/ Immunofluorescence

1:100-1:1000

Immunohistochemistry

1:100-1:1000

Immunohistochemistry-Paraffin

1:100-1:1000

Western Blot

1:500-1:3000

Formulation, Preparation, and Storage

Purification

Antigen Affinity-purified

Formulation

0.1M Tris, 0.1M Glycine, 20% Glycerol

Format

BSA Free

Preservative

0.01% Thimerosal

Concentration

Concentrations vary lot to lot. See vial label for concentration. If unlisted please contact technical services.

Shipping

The product is shipped with polar packs. Upon receipt, store it immediately at the temperature recommended below.

Stability & Storage

Aliquot and store at -20C or -80C. Avoid freeze-thaw cycles.

Background: PSMB7

The proteasome is a multicatalytic proteinase complex with a highly ordered ring-shaped 20S core structure. The core structure is composed of 4 rings of 28 non-identical subunits; 2 rings are composed of 7 alpha subunits and 2 rings are composed of 7 beta subunits. Proteasomes are distributed throughout eukaryotic cells at a high concentration and cleave peptides in an ATP/ubiquitin-dependent process in a non-lysosomal pathway. An essential function of a modified proteasome, the immunoproteasome, is the processing of class I MHC peptides. This gene encodes a member of the proteasome B-type family, also known as the T1B family, that is a 20S core beta subunit in the proteasome. Expression of this catalytic subunit is downregulated by gamma interferon and proteolytic processing is required to generate a mature subunit. This subunit is not present in the immunoproteasome and is replaced by catalytic subunit 2i (proteasome beta 10 subunit). [provided by RefSeq]

Long Name

Proteasome (Prosome, Macropain) Subunit, beta Type, 7

Alternate Names

Macropain Chain Z, Proteasome Subunit Z

Gene Symbol

PSMB7

UniProt

Additional PSMB7 Products

Product Documents for PSMB7 Antibody - BSA Free

Certificate of Analysis

To download a Certificate of Analysis, please enter a lot number in the search box below.

Product Specific Notices for PSMB7 Antibody - BSA Free

This product is for research use only and is not approved for use in humans or in clinical diagnosis. Primary Antibodies are guaranteed for 1 year from date of receipt.

Loading...
Loading...
Loading...
Loading...

⚠ WARNING: This product can expose you to chemicals including mercury, which is known to the State of California to cause reproductive toxicity with developmental effects.  For more information go to www.P65Warnings.ca.gov.