Skip to main content

PSMA2 Antibody - BSA Free

Novus Biologicals, part of Bio-Techne | Catalog # NBP3-29087

Novus Biologicals, part of Bio-Techne
Catalog #
Availability
Size / Price
Qty
Loading...
NBP3-29087

Key Product Details

Species Reactivity

Human, Mouse

Applications

Immunohistochemistry, Western Blot

Label

Unconjugated

Antibody Source

Polyclonal Rabbit IgG

Format

BSA Free

Concentration

Please see the vial label for concentration. If unlisted please contact technical services.

Product Specifications

Immunogen

Between 184 and 234

Clonality

Polyclonal

Host

Rabbit

Isotype

IgG

Description

Novus Biologicals Rabbit PSMA2 Antibody - BSA Free (NBP3-29087) is a polyclonal antibody validated for use in IHC and WB. All Novus Biologicals antibodies are covered by our 100% guarantee.

Scientific Data Images for PSMA2 Antibody - BSA Free

PSMA2 Antibody

Immunohistochemistry;PSMA2 Antibody[NBP3-29086]

Immunohistochemistry;PSMA2 Antibody[NBP3-29086]Detection of mouse PSMA2 by immunohistochemistry. Sample: FFPE section of mouse renal cell carcinoma. Antibody: Affinity purified rabbit anti-PSMA2 used at a dilution of 1:1,000 . Detection: DAB
PSMA2 Antibody

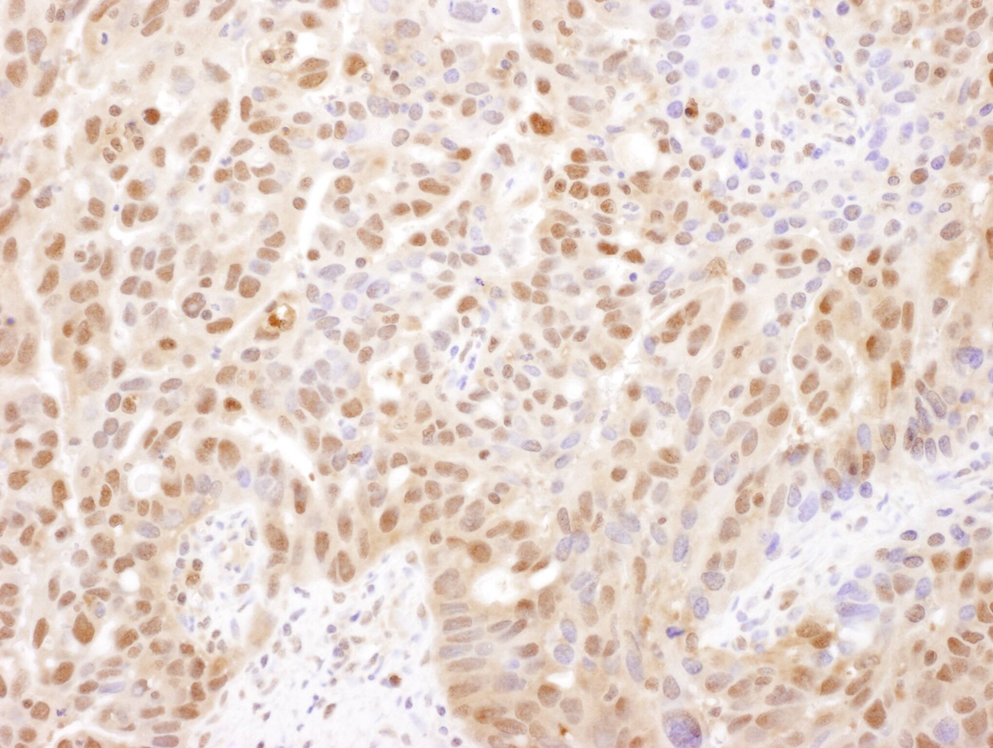
Immunohistochemistry;PSMA2 Antibody[NBP3-29087]

Immunohistochemistry;PSMA2 Antibody[NBP3-29087]Detection of human PSMA2 by immunohistochemistry. Sample: FFPE section of human ovarian carcinoma. Antibody: Affinity purified rabbit anti-PSMA2 used at a dilution of 1:1,000 . Detection: DAB

Applications for PSMA2 Antibody - BSA Free

Application
Recommended Usage

Immunohistochemistry

Optimal dilutions of this antibody should be experimentally determined.

Western Blot

Optimal dilutions of this antibody should be experimentally determined.

Formulation, Preparation, and Storage

Purification

Affinity purified

Formulation

Tris-citrate/phosphate buffer, pH 7 to 8

Format

BSA Free

Preservative

0.09% Sodium Azide

Concentration

Please see the vial label for concentration. If unlisted please contact technical services.

Shipping

The product is shipped with polar packs. Upon receipt, store it immediately at the temperature recommended below.

Stability & Storage

Store at 4C. Do not freeze.

Background: PSMA2

Long Name

Proteasome (Prosome, Macropain) Subunit, alpha Type, 2

Alternate Names

HC3, MU, PMSA2, PSC3

Gene Symbol

PSMA2

Additional PSMA2 Products

Product Documents for PSMA2 Antibody - BSA Free

Certificate of Analysis

To download a Certificate of Analysis, please enter a lot number in the search box below.

Product Specific Notices for PSMA2 Antibody - BSA Free

This product is for research use only and is not approved for use in humans or in clinical diagnosis. Primary Antibodies are guaranteed for 1 year from date of receipt.

Loading...
Loading...
Loading...
Loading...