Skip to main content

PSMA2 Antibody (OTI3D9)

Novus Biologicals, part of Bio-Techne | Catalog # NBP2-45418

Novus Biologicals, part of Bio-Techne
Catalog #
Availability
Size / Price
Qty
Loading...
NBP2-45418

Key Product Details

Species Reactivity

Human, Mouse, Rat, Canine, Monkey

Applications

Immunohistochemistry, Immunohistochemistry-Paraffin, Western Blot

Label

Unconjugated

Antibody Source

Monoclonal Mouse IgG2B Clone # OTI3D9

Concentration

1 mg/ml

Product Specifications

Immunogen

Human recombinant protein fragment corresponding to amino acids 50-234 of human PSMA2(NP_002778) produced in E.coli.

Reactivity Notes

Please note that this antibody is reactive to Mouse and derived from the same host, Mouse. Mouse-On-Mouse blocking reagent may be needed for IHC and ICC experiments to reduce high background signal. You can find these reagents under catalog numbers PK-2200-NB and MP-2400-NB. Please contact Technical Support if you have any questions.

Clonality

Monoclonal

Host

Mouse

Isotype

IgG2B

Theoretical MW

25.7 kDa.
Disclaimer note: The observed molecular weight of the protein may vary from the listed predicted molecular weight due to post translational modifications, post translation cleavages, relative charges, and other experimental factors.

Description

Novus Biologicals Mouse PSMA2 Antibody (OTI3D9) (NBP2-45418) is a monoclonal antibody validated for use in IHC and WB. All Novus Biologicals antibodies are covered by our 100% guarantee.

Scientific Data Images for PSMA2 Antibody (OTI3D9)

Western Blot: PSMA2 Antibody (OTI3D9) [NBP2-45418]

Western Blot: PSMA2 Antibody (OTI3D9) [NBP2-45418]

Western Blot: PSMA2 Antibody (3D9) [NBP2-45418] - Analysis of extracts (35ug) from 9 different cell lines (HepG2: human; HeLa: human; SVT2: mouse; A549: human; COS7: monkey; Jurkat: human; MDCK: canine; PC12: rat; MCF7: human).
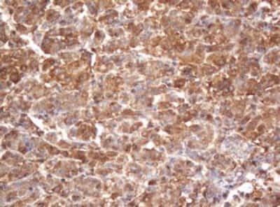
Immunohistochemistry: PSMA2 Antibody (OTI3D9) [NBP2-45418]

Immunohistochemistry: PSMA2 Antibody (OTI3D9) [NBP2-45418]

Immunohistochemistry: PSMA2 Antibody (3D9) [NBP2-45418] - Analysis of Carcinoma of Human liver tissue.
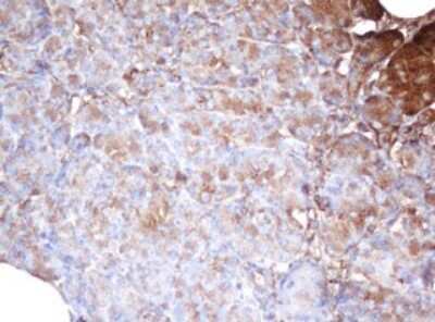
Immunohistochemistry: PSMA2 Antibody (OTI3D9) [NBP2-45418]

Immunohistochemistry: PSMA2 Antibody (OTI3D9) [NBP2-45418]

Immunohistochemistry: PSMA2 Antibody (3D9) [NBP2-45418] - Analysis of Human pancreas tissue.

Applications for PSMA2 Antibody (OTI3D9)

Application
Recommended Usage

Immunohistochemistry

1:500

Western Blot

1:2000

Formulation, Preparation, and Storage

Purification

Immunogen affinity purified

Formulation

PBS (pH 7.3), 1.0% BSA and 50% Glycerol

Preservative

0.02% Sodium Azide

Concentration

1 mg/ml

Shipping

The product is shipped with polar packs. Upon receipt, store it immediately at the temperature recommended below.

Stability & Storage

Store at -20C. Avoid freeze-thaw cycles.

Background: PSMA2

Long Name

Proteasome (Prosome, Macropain) Subunit, alpha Type, 2

Alternate Names

HC3, MU, PMSA2, PSC3

Gene Symbol

PSMA2

Additional PSMA2 Products

Product Documents for PSMA2 Antibody (OTI3D9)

Certificate of Analysis

To download a Certificate of Analysis, please enter a lot number in the search box below.

Product Specific Notices for PSMA2 Antibody (OTI3D9)

This product is for research use only and is not approved for use in humans or in clinical diagnosis. Primary Antibodies are guaranteed for 1 year from date of receipt.

Loading...
Loading...
Loading...
Loading...