Skip to main content

PSKH1 Antibody - BSA Free

Novus Biologicals, part of Bio-Techne | Catalog # NBP2-49105

Novus Biologicals, part of Bio-Techne
Catalog #
Availability
Size / Price
Qty
Loading...
NBP2-49105-25ul
NBP2-49105

Key Product Details

Species Reactivity

Validated:

Human

Predicted:

Mouse (98%), Rat (98%). Backed by our 100% Guarantee.

Applications

Immunohistochemistry, Immunohistochemistry-Paraffin, Western Blot, Immunocytochemistry/ Immunofluorescence

Label

Unconjugated

Antibody Source

Polyclonal Rabbit IgG

Format

BSA Free

Concentration

Concentrations vary lot to lot. See vial label for concentration. If unlisted please contact technical services.

Product Specifications

Immunogen

This antibody was developed against a recombinant protein corresponding to amino acids: HRSISQNLLKRASSRCQSTKSAQSTRSSRSTRSNKSRRVRERELRELNLRYQQQYN

Clonality

Polyclonal

Host

Rabbit

Isotype

IgG

Description

Novus Biologicals Rabbit PSKH1 Antibody - BSA Free (NBP2-49105) is a polyclonal antibody validated for use in IHC, WB and ICC/IF. All Novus Biologicals antibodies are covered by our 100% guarantee.

Scientific Data Images for PSKH1 Antibody - BSA Free

Western Blot: PSKH1 Antibody [NBP2-49105]

Western Blot: PSKH1 Antibody [NBP2-49105]

Western Blot: PSKH1 Antibody [NBP2-49105] - Analysis in control (vector only transfected HEK293T lysate) and PSKH1 over-expression lysate (Co-expressed with a C-terminal myc-DDK tag (3.1 kDa) in mammalian HEK293T cells).
Immunocytochemistry/ Immunofluorescence: PSKH1 Antibody [NBP2-49105]

Immunocytochemistry/ Immunofluorescence: PSKH1 Antibody [NBP2-49105]

Immunocytochemistry/Immunofluorescence: PSKH1 Antibody [NBP2-49105] - Immunofluorescent staining of human cell line MCF7 shows localization to nucleoplasm.
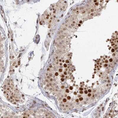
Immunohistochemistry-Paraffin: PSKH1 Antibody [NBP2-49105]

Immunohistochemistry-Paraffin: PSKH1 Antibody [NBP2-49105]

Immunohistochemistry-Paraffin: PSKH1 Antibody [NBP2-49105] - Staining of human testis shows strong nuclear positivity in cells in seminiferus ducts. Leydig cells displayed strong nuclear and cytoplasmic positivity.

Applications for PSKH1 Antibody - BSA Free

Application
Recommended Usage

Immunocytochemistry/ Immunofluorescence

0.25-2 ug/ml

Immunohistochemistry

1:20 - 1:50

Immunohistochemistry-Paraffin

1:20 - 1:50

Western Blot

0.04-0.4 ug/ml
Application Notes
For IHC-Paraffin, HIER pH 6 retrieval is recommended. Immunocytochemistry/Immunofluorescence Fixation Permeabilization: Use PFA/Triton X-100.

Formulation, Preparation, and Storage

Purification

Affinity purified

Formulation

PBS (pH 7.2) and 40% Glycerol

Format

BSA Free

Preservative

0.02% Sodium Azide

Concentration

Concentrations vary lot to lot. See vial label for concentration. If unlisted please contact technical services.

Shipping

The product is shipped with polar packs. Upon receipt, store it immediately at the temperature recommended below.

Stability & Storage

Store at 4C short term. Aliquot and store at -20C long term. Avoid freeze-thaw cycles.

Background: PSKH1

PSKH1 may be a SFC-associated serine kinase (splicing factor compartment-associated serine kinase) with a role in intranuclear SR protein (non-snRNP splicing factors containinga serine/arginine-rich domain) trafficking and pre-mRNA processing

Alternate Names

EC 2.7.11, EC 2.7.11.1, protein serine kinase H1PSK-H1, serine/threonine-protein kinase H1

Gene Symbol

PSKH1

Additional PSKH1 Products

Product Documents for PSKH1 Antibody - BSA Free

Certificate of Analysis

To download a Certificate of Analysis, please enter a lot number in the search box below.

Product Specific Notices for PSKH1 Antibody - BSA Free

This product is for research use only and is not approved for use in humans or in clinical diagnosis. Primary Antibodies are guaranteed for 1 year from date of receipt.

Loading...
Loading...
Loading...
Loading...