Skip to main content

PSG4 Antibody - BSA Free

Novus Biologicals, part of Bio-Techne | Catalog # NBP3-05801

Novus Biologicals, part of Bio-Techne

Key Product Details

Species Reactivity

Human

Applications

Immunohistochemistry-Paraffin

Label

Unconjugated

Antibody Source

Polyclonal Rabbit IgG

Format

BSA Free

Concentration

Please see the vial label for concentration. If unlisted please contact technical services.

Product Specifications

Immunogen

Produced in rabbits immunized with E. coli-derived Human PSG4 fragment.

Clonality

Polyclonal

Host

Rabbit

Isotype

IgG

Description

This antibody can be stored at 2C-8C for one month without detectable loss of activity. Antibody products are stable for twelve months from date of receipt when stored at -20C to -80C. Avoid repeated freeze-thaw cycles.

Scientific Data Images for PSG4 Antibody - BSA Free

PSG4 Antibody - BSA Free

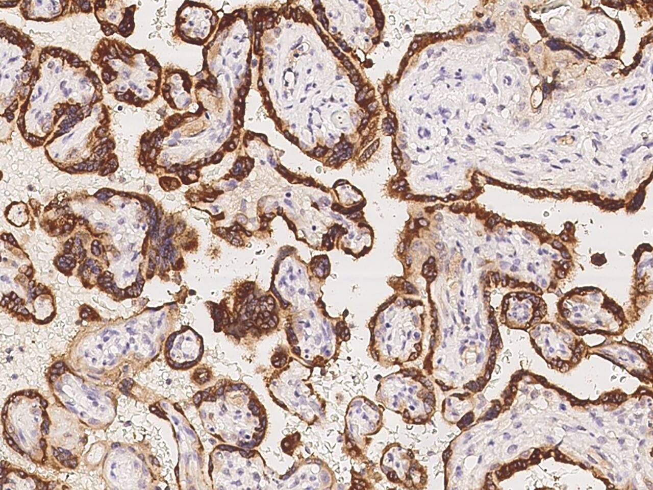
Immunohistochemistry-Paraffin: PSG4 Antibody - BSA Free [NBP3-05801] -

Immunohistochemistry-Paraffin: PSG4 Antibody - BSA Free [NBP3-05801] - Immunochemical staining of human PSG4 in human placenta with NBP3-05801 at 1:500 dilution, formalin-fixed paraffin embedded sections.

Applications for PSG4 Antibody - BSA Free

Application
Recommended Usage

Immunohistochemistry-Paraffin

1:200-1:1000

Formulation, Preparation, and Storage

Purification

Antigen and protein A Affinity-purified

Formulation

PBS

Format

BSA Free

Preservative

0.03% Proclin 300

Concentration

Please see the vial label for concentration. If unlisted please contact technical services.

Shipping

The product is shipped with polar packs. Upon receipt, store it immediately at the temperature recommended below.

Stability & Storage

Store at 4C short term. Aliquot and store at -20C long term. Avoid freeze-thaw cycles.

Background: PSG4

The human pregnancy-specific glycoproteins (PSGs) are a family of proteins that are synthesized in large amounts by placental trophoblasts and released into the maternal circulation during pregnancy. Molecular cloning and analysis of several PSG genes has indicated that the PSGs form a subgroup of the carcinoembryonic antigen (CEA) gene family, which belongs to the immunoglobulin superfamily of genes. Members of the CEA family consist of a single N domain, with structural similarity to the immunoglobulin variable domains, followed by a variable number of immunoglobulin constant-like A and/or B domains. Most PSGs have an arg-gly-asp (RGD) motif, which has been shown to function as an adhesion recognition signal for several integrins, in the N-terminal domain (summary by Teglund et al., 1994 (PubMed 7851896)). For additional general information about the PSG gene family, see PSG1 (MIM 176390).(supplied by OMIM)

Alternate Names

pregnancy specific beta-1-glycoprotein 4, pregnancy-specific beta-1-glycoprotein 4, PSBG-4

Gene Symbol

PSG4

Additional PSG4 Products

Product Documents for PSG4 Antibody - BSA Free

Certificate of Analysis

To download a Certificate of Analysis, please enter a lot number in the search box below.

Product Specific Notices for PSG4 Antibody - BSA Free

This product is for research use only and is not approved for use in humans or in clinical diagnosis. Primary Antibodies are guaranteed for 1 year from date of receipt.

Loading...
Loading...
Loading...
Loading...