PSG4 Antibody
Novus Biologicals, part of Bio-Techne | Catalog # NBP2-33461
Key Product Details
Species Reactivity
Human
Applications
Immunohistochemistry, Immunohistochemistry-Paraffin, Western Blot
Label
Unconjugated
Antibody Source
Polyclonal Rabbit IgG
Concentration
Concentrations vary lot to lot. See vial label for concentration. If unlisted please contact technical services.
Product Specifications
Immunogen
This antibody was developed against a recombinant protein corresponding to amino acids: VSPRVKRPIENRILILPNVTRNETGPYQC
Clonality
Polyclonal
Host
Rabbit
Isotype
IgG
Scientific Data Images for PSG4 Antibody
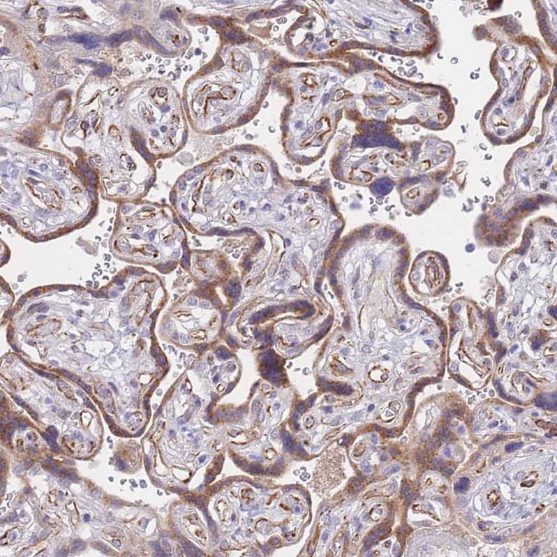
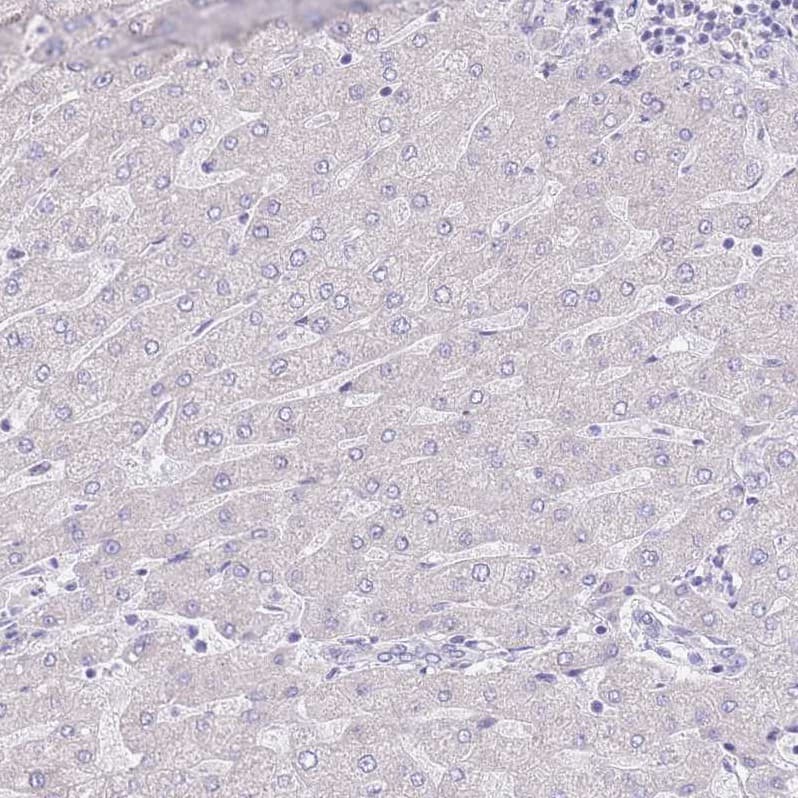
Immunohistochemistry-Paraffin: PSG4 Antibody [NBP2-33461]
Staining of human skeletal muscle shows no positivity in myocytes as expected.Immunohistochemistry-Paraffin: PSG4 Antibody [NBP2-33461]
Staining of human placenta shows strong cytoplasmic positivity in trophoblastic cells.Immunohistochemistry-Paraffin: PSG4 Antibody [NBP2-33461]
Staining of human liver shows no positivity in hepatocytes as expected.Applications for PSG4 Antibody
Application
Recommended Usage
Immunohistochemistry
1:200 - 1:500
Immunohistochemistry-Paraffin
1:200 - 1:500
Western Blot
0.04-0.4 ug/ml
Application Notes
For IHC-Paraffin, HIER pH 6 retrieval is recommended.
Formulation, Preparation, and Storage
Purification
Affinity purified
Formulation
PBS (pH 7.2) and 40% Glycerol
Preservative
0.02% Sodium Azide
Concentration
Concentrations vary lot to lot. See vial label for concentration. If unlisted please contact technical services.
Shipping
The product is shipped with polar packs. Upon receipt, store it immediately at the temperature recommended below.
Stability & Storage
Store at 4C short term. Aliquot and store at -20C long term. Avoid freeze-thaw cycles.
Background: PSG4
Alternate Names
pregnancy specific beta-1-glycoprotein 4, pregnancy-specific beta-1-glycoprotein 4, PSBG-4
Gene Symbol
PSG4
UniProt
Additional PSG4 Products
Product Documents for PSG4 Antibody
Product Specific Notices for PSG4 Antibody
This product is for research use only and is not approved for use in humans or in clinical diagnosis. Primary Antibodies are guaranteed for 1 year from date of receipt.
Loading...
Loading...
Loading...
Loading...