Skip to main content

PSG1 Antibody - Azide and BSA Free

Novus Biologicals, part of Bio-Techne | Catalog # NBP2-97038

Novus Biologicals, part of Bio-Techne
Catalog #
Availability
Size / Price
Qty
Loading...
NBP2-97038-100ul
NBP2-97038-50ul
Conjugate
Catalog #

Key Product Details

Species Reactivity

Human

Applications

Immunohistochemistry, Immunohistochemistry-Paraffin, ELISA

Label

Unconjugated

Antibody Source

Polyclonal Rabbit IgG

Format

Azide and BSA Free

Concentration

Please see the vial label for concentration. If unlisted please contact technical services.

Product Specifications

Immunogen

Produced in rabbits immunized with purified, recombinant Human PSG1 (Accession#: NP_001171754.1; Met1-Pro419)

Clonality

Polyclonal

Host

Rabbit

Isotype

IgG

Description

This antibody can be stored at 2C to 8C for one month without detectable loss of activity. Antibody products are stable for twelve months from date of receipt when stored at -20C to -80C. Avoid repeated freeze-thaw cycles.

Scientific Data Images for PSG1 Antibody - Azide and BSA Free

Immunohistochemistry-Paraffin: PSG1 Antibody [NBP2-97038]

Immunohistochemistry-Paraffin: PSG1 Antibody [NBP2-97038]

Immunohistochemistry-Paraffin: PSG1 Antibody [NBP2-97038] - Immunochemical staining of human PSG1 in human placenta with rabbit polyclonal antibody at 1:1000 dilution, formalin-fixed paraffin embedded sections.
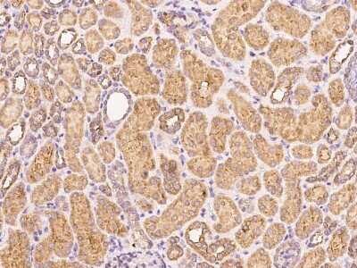
Immunohistochemistry-Paraffin: PSG1 Antibody [NBP2-97038]

Immunohistochemistry-Paraffin: PSG1 Antibody [NBP2-97038]

Immunohistochemistry-Paraffin: PSG1 Antibody [NBP2-97038] - Immunochemical staining of human PSG1 in human kidney with rabbit polyclonal antibody at 1:1000 dilution, formalin-fixed paraffin embedded sections.

Applications for PSG1 Antibody - Azide and BSA Free

Application
Recommended Usage

ELISA

1:5000-1:10000

Immunohistochemistry-Paraffin

1:500-1:2000

Formulation, Preparation, and Storage

Purification

Antigen and protein A Affinity-purified

Formulation

0.2 um filtered solution in PBS

Format

Azide and BSA Free

Preservative

No Preservative

Concentration

Please see the vial label for concentration. If unlisted please contact technical services.

Shipping

The product is shipped with polar packs. Upon receipt, store it immediately at the temperature recommended below.

Stability & Storage

Store at 4C short term. Aliquot and store at -20C long term. Avoid freeze-thaw cycles.

Background: PSG1

PSG1, also known as Pregnancy-specific beta-1-glycoprotein 1, is a 106 amino acid protein that is 12 kDa, secreteded in high quantity during pregnancy, member of the immunoglobulin (Ig) superfamily. Current research is being performed on several diseases and disorders including factor vii deficiency, gestational trophoblastic neoplasm, trophoblastic neoplasm, pre-eclampsia, spontaneous abortion, transitional cell carcinoma, germinoma, down syndrome, basal cell carcinoma, eclampsia, choriocarcinoma, lung carcinoma, carcinoma, esophageal carcinoma, esophagitis, infertility, lung cancer, and alcoholism. This protein has shown an interaction with UTP14A in pregnancy processes.

Long Name

Pregnancy-specific beta-1-glycoprotein 1

Alternate Names

B1G1, CD66f, DHFRP2, PBG1, PS-beta-G-1, PSbG1, PSG-1, PSG95, PSGGA

Gene Symbol

PSG1

Additional PSG1 Products

Product Documents for PSG1 Antibody - Azide and BSA Free

Certificate of Analysis

To download a Certificate of Analysis, please enter a lot number in the search box below.

Product Specific Notices for PSG1 Antibody - Azide and BSA Free

This product is for research use only and is not approved for use in humans or in clinical diagnosis. Primary Antibodies are guaranteed for 1 year from date of receipt.

Loading...
Loading...
Loading...
Loading...