Skip to main content

PSD Antibody - BSA Free

Novus Biologicals, part of Bio-Techne | Catalog # NBP2-15083

Novus Biologicals, part of Bio-Techne
Catalog #
Availability
Size / Price
Qty
Loading...
NBP2-15083

Key Product Details

Species Reactivity

Validated:

Human, Rat

Predicted:

Bovine (97%), Mouse (98%). Backed by our 100% Guarantee.

Applications

Immunohistochemistry, Immunohistochemistry-Paraffin, Western Blot

Label

Unconjugated

Antibody Source

Polyclonal Rabbit IgG

Format

BSA Free

Concentration

Concentrations vary lot to lot. See vial label for concentration. If unlisted please contact technical services.

Product Specifications

Immunogen

Recombinant protein encompassing a sequence within the center region of human PSD. The exact sequence is proprietary.

Clonality

Polyclonal

Host

Rabbit

Isotype

IgG

Theoretical MW

110 kDa.
Disclaimer note: The observed molecular weight of the protein may vary from the listed predicted molecular weight due to post translational modifications, post translation cleavages, relative charges, and other experimental factors.

Description

Novus Biologicals Rabbit PSD Antibody - BSA Free (NBP2-15083) is a polyclonal antibody validated for use in IHC and WB. All Novus Biologicals antibodies are covered by our 100% guarantee.

Scientific Data Images for PSD Antibody - BSA Free

Western Blot: PSD Antibody [NBP2-15083]

Western Blot: PSD Antibody [NBP2-15083]

Western Blot: PSD Antibody [NBP2-15083] - Rat tissue extracts (50 ug) was separated by 7.5% SDS-PAGE, and the membrane was blotted with PSD antibody [C1C3] diluted at 1:500.
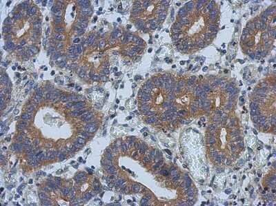
Immunohistochemistry-Paraffin: PSD Antibody [NBP2-15083]

Immunohistochemistry-Paraffin: PSD Antibody [NBP2-15083]

Immunohistochemistry-Paraffin: PSD Antibody [NBP2-15083] - Paraffin-embedded Colon ca, using antibody at 1:500 dilution.
Western Blot: PSD Antibody [NBP2-15083]

Western Blot: PSD Antibody [NBP2-15083]

Western Blot: PSD Antibody [NBP2-15083] - Sample (30 ug of whole cell lysate) A: U87-MG 7.5% SDS PAGE, antibody diluted at 1:500.

Applications for PSD Antibody - BSA Free

Application
Recommended Usage

Immunohistochemistry

1:100-1:1000

Immunohistochemistry-Paraffin

1:100-1:1000

Western Blot

1:500-1:3000

Formulation, Preparation, and Storage

Purification

Antigen Affinity-purified

Formulation

0.1M Tris, 0.1M Glycine, 20% Glycerol

Format

BSA Free

Preservative

0.01% Thimerosal

Concentration

Concentrations vary lot to lot. See vial label for concentration. If unlisted please contact technical services.

Shipping

The product is shipped with polar packs. Upon receipt, store it immediately at the temperature recommended below.

Stability & Storage

Aliquot and store at -20C or -80C. Avoid freeze-thaw cycles.

Background: PSD

Guanine nucleotide exchange factor for ARF6

Alternate Names

Exchange factor for ARF6, KIAA2011Pleckstrin homology and SEC7 domain-containing protein 1, pleckstrin and Sec7 domain containing, pleckstrin and Sec7 domain protein, PSD1PH and SEC7 domain-containing protein 1, TYLEFA6

Gene Symbol

PSD

UniProt

Additional PSD Products

Product Documents for PSD Antibody - BSA Free

Certificate of Analysis

To download a Certificate of Analysis, please enter a lot number in the search box below.

Product Specific Notices for PSD Antibody - BSA Free

This product is for research use only and is not approved for use in humans or in clinical diagnosis. Primary Antibodies are guaranteed for 1 year from date of receipt.

Loading...
Loading...
Loading...
Loading...

⚠ WARNING: This product can expose you to chemicals including mercury, which is known to the State of California to cause reproductive toxicity with developmental effects.  For more information go to www.P65Warnings.ca.gov.