Skip to main content

PRRT4 Antibody - BSA Free

Novus Biologicals, part of Bio-Techne | Catalog # NBP2-37917

Novus Biologicals, part of Bio-Techne
Catalog #
Availability
Size / Price
Qty
Loading...
NBP2-37917-25ul
NBP2-37917

Key Product Details

Species Reactivity

Human

Applications

Immunohistochemistry, Immunohistochemistry-Paraffin, Western Blot, Immunocytochemistry/ Immunofluorescence

Label

Unconjugated

Antibody Source

Polyclonal Rabbit IgG

Format

BSA Free

Concentration

Concentrations vary lot to lot. See vial label for concentration. If unlisted please contact technical services.

Product Specifications

Immunogen

This antibody was developed against a recombinant protein corresponding to amino acids: PATTLTPVPQSEASMLSLNLGLNFKFHLRGPAAVWGSPVTETQPLSLGPGQEPGEEVASGLRTDPLWELLVGSSGNSLTEWGS

Reactivity Notes

Immunogen displays the following percentage of sequence identity for non-tested species: Mouse (82%), Rat (81%)

Clonality

Polyclonal

Host

Rabbit

Isotype

IgG

Description

Novus Biologicals Rabbit PRRT4 Antibody - BSA Free (NBP2-37917) is a polyclonal antibody validated for use in IHC, WB and ICC/IF. All Novus Biologicals antibodies are covered by our 100% guarantee.

Scientific Data Images for PRRT4 Antibody - BSA Free

Western Blot: PRRT4 Antibody [NBP2-37917]

Western Blot: PRRT4 Antibody [NBP2-37917]

Western Blot: PRRT4 Antibody [NBP2-37917] - Lane 1: Marker [kDa] 250, 130, 95, 72, 55, 36, 28, 17, 10. Lane 2: Human cell line RT-4
Immunocytochemistry/ Immunofluorescence: PRRT4 Antibody [NBP2-37917]

Immunocytochemistry/ Immunofluorescence: PRRT4 Antibody [NBP2-37917]

Immunocytochemistry/Immunofluorescence: PRRT4 Antibody [NBP2-37917] - Staining of human cell line SH-SY5Y shows localization to nucleoplasm, plasma membrane & peroxisomes.
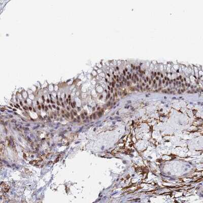
Immunohistochemistry: PRRT4 Antibody [NBP2-37917]

Immunohistochemistry: PRRT4 Antibody [NBP2-37917]

Immunohistochemistry: PRRT4 Antibody [NBP2-37917] - Staining of human nasopharynx shows strong nuclear positivity in respiratory epithelial cells.

Applications for PRRT4 Antibody - BSA Free

Application
Recommended Usage

Immunocytochemistry/ Immunofluorescence

0.25-2 ug/ml

Immunohistochemistry

1:200 - 1:500

Immunohistochemistry-Paraffin

1:200 - 1:500

Western Blot

0.04-0.4 ug/ml
Application Notes
For IHC-Paraffin, HIER pH 6 retrieval is recommended. ICC/IF, Fixation Permeabilization: Use PFA/Triton X-100.

Formulation, Preparation, and Storage

Purification

Affinity purified

Formulation

PBS (pH 7.2) and 40% Glycerol

Format

BSA Free

Preservative

0.02% Sodium Azide

Concentration

Concentrations vary lot to lot. See vial label for concentration. If unlisted please contact technical services.

Shipping

The product is shipped with polar packs. Upon receipt, store it immediately at the temperature recommended below.

Stability & Storage

Store at 4C short term. Aliquot and store at -20C long term. Avoid freeze-thaw cycles.

Background: PRRT4

Alternate Names

Proline-Rich Transmembrane Protein 4

Gene Symbol

PRRT4

UniProt

Additional PRRT4 Products

Product Documents for PRRT4 Antibody - BSA Free

Certificate of Analysis

To download a Certificate of Analysis, please enter a lot number in the search box below.

Product Specific Notices for PRRT4 Antibody - BSA Free

This product is for research use only and is not approved for use in humans or in clinical diagnosis. Primary Antibodies are guaranteed for 1 year from date of receipt.

Loading...
Loading...
Loading...
Loading...