Skip to main content

PRR5 Antibody - BSA Free

Novus Biologicals, part of Bio-Techne | Catalog # NBP1-76568

Novus Biologicals, part of Bio-Techne
Catalog #
Availability
Size / Price
Qty
Loading...
NBP1-76568
NBP1-76568-0.025mg
Conjugate
Catalog #

Key Product Details

Species Reactivity

Human, Mouse, Rat

Applications

Immunohistochemistry, Immunohistochemistry-Paraffin, Western Blot, ELISA, Immunocytochemistry/ Immunofluorescence

Label

Unconjugated

Antibody Source

Polyclonal Rabbit IgG

Format

BSA Free

Concentration

1 mg/ml

Product Specifications

Immunogen

Antibody was raised against a 20 amino acid synthetic peptide near the carboxy terminus of human PRR5. The immunogen is located within amino acids 310 - 360 of PRR5. Amino Acid Squence: PSRLYPTTQPPEQGLDPTR

Specificity

PRR5 antibody is predicted to not cross-react with other Protor protein family members.

Clonality

Polyclonal

Host

Rabbit

Isotype

IgG

Scientific Data Images for PRR5 Antibody - BSA Free

Western Blot: PRR5 AntibodyBSA Free [NBP1-76568]

Western Blot: PRR5 AntibodyBSA Free [NBP1-76568]

Western Blot: PRR5L Antibody [NBP1-76568] - SK-N-SH cell lysate with PRR5 antibody at 1 ug/mL in (A) the absence and (B) the presence of blocking peptide
PRR5 Antibody - BSA Free

Immunocytochemistry/ Immunofluorescence: PRR5 Antibody - BSA Free [NBP1-76568] -

Immunocytochemistry/ Immunofluorescence: PRR5 Antibody - BSA Free [NBP1-76568] - Immunofluorescence of PPR5 in mouse brain tissue with PPR5 antibody at 20 ug/mL.
PRR5 Antibody - BSA Free

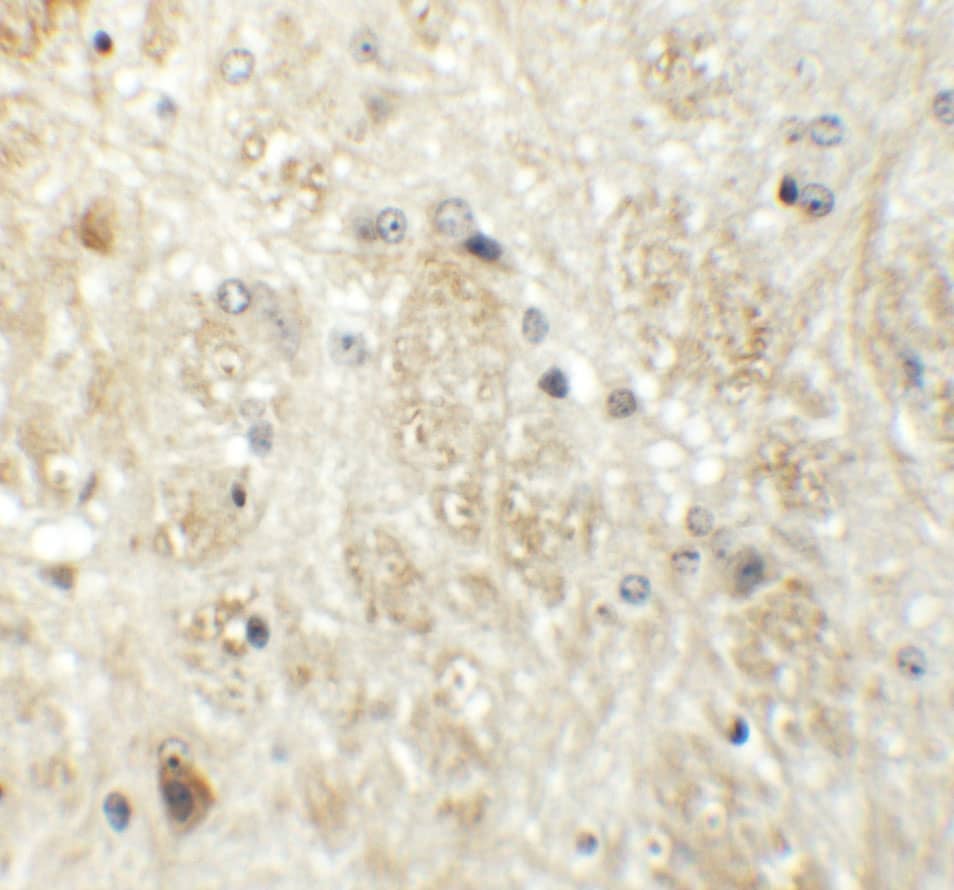
Immunohistochemistry: PRR5 Antibody - BSA Free [NBP1-76568] -

Immunohistochemistry: PRR5 Antibody - BSA Free [NBP1-76568] - Immunohistochemistry of PPR5 in mouse brain tissue with PPR5 antibody at 5 ug/mL.

Applications for PRR5 Antibody - BSA Free

Application
Recommended Usage

ELISA

1:100-1:2000

Immunocytochemistry/ Immunofluorescence

20 ug/ml

Immunohistochemistry

5 ug/ml

Immunohistochemistry-Paraffin

5 ug/ml

Western Blot

1 ug/ml

Formulation, Preparation, and Storage

Purification

Peptide affinity purified

Formulation

PBS

Format

BSA Free

Preservative

0.02% Sodium Azide

Concentration

1 mg/ml

Shipping

The product is shipped with polar packs. Upon receipt, store it immediately at the temperature recommended below.

Stability & Storage

Store at 4C short term. Aliquot and store at -20C long term. Avoid freeze-thaw cycles.

Background: PRR5

This gene encodes a protein with a proline-rich domain. This gene is located in a region of chromosome 22 reported to contain a tumor suppressor gene that may be involved in breast and colorectal tumorigenesis. The protein is a component of the mammalian target of rapamycin complex 2 (mTORC2), and it regulates platelet-derived growth factor (PDGF) receptor beta expression and PDGF signaling to Akt and S6K1. Alternative splicing and the use of alternative promoters results in transcripts encoding different isoforms. Read-through transcripts from this gene into the downstream Rho GTPase activating protein 8 (ARHGAP8) gene also exist, which led to the original description of PRR5 and ARHGAP8 being a single gene.

Long Name

Proline Rich 5 [Renal]

Alternate Names

PP610, Protor-1

Gene Symbol

PRR5

Additional PRR5 Products

Product Documents for PRR5 Antibody - BSA Free

Certificate of Analysis

To download a Certificate of Analysis, please enter a lot number in the search box below.

Product Specific Notices for PRR5 Antibody - BSA Free

This product is for research use only and is not approved for use in humans or in clinical diagnosis. Primary Antibodies are guaranteed for 1 year from date of receipt.

Loading...
Loading...
Loading...
Loading...