Skip to main content

PRPSAP2 Antibody - BSA Free

Novus Biologicals, part of Bio-Techne | Catalog # NBP3-35590

Novus Biologicals, part of Bio-Techne
Catalog #
Availability
Size / Price
Qty
Loading...
NBP3-35590-20ul
NBP3-35590-100ul

Key Product Details

Species Reactivity

Human, Mouse, Rat

Applications

Immunohistochemistry, Immunohistochemistry-Paraffin, Western Blot, ELISA

Label

Unconjugated

Antibody Source

Polyclonal Rabbit IgG

Format

BSA Free

Concentration

Please see the vial label for concentration. If unlisted please contact technical services.

Product Specifications

Immunogen

Recombinant fusion protein containing a sequence corresponding to amino acids 211-252 of human PRPSAP2 (NP_001340030.1).

Sequence:
HGEAQDAESDLVDGRHSPPMVRSVAAIHPSLEIPMLIPKEKP

Clonality

Polyclonal

Host

Rabbit

Isotype

IgG

Theoretical MW

41 kDa.
Disclaimer note: The observed molecular weight of the protein may vary from the listed predicted molecular weight due to post translational modifications, post translation cleavages, relative charges, and other experimental factors.

Description

Novus Biologicals Rabbit PRPSAP2 Antibody - BSA Free (NBP3-35590) is a polyclonal antibody validated for use in IHC, WB and ELISA. All Novus Biologicals antibodies are covered by our 100% guarantee.

Scientific Data Images for PRPSAP2 Antibody - BSA Free

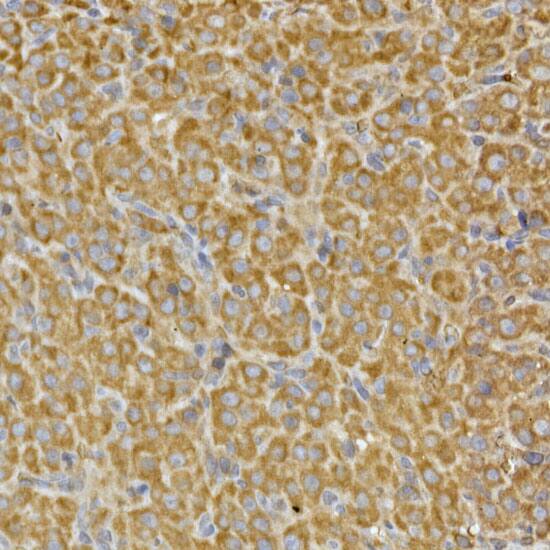
PRPSAP2 Antibody

Immunohistochemistry: PRPSAP2 Antibody [NBP3-35590] -

Immunohistochemistry: PRPSAP2 Antibody [NBP3-35590] - Immunohistochemistry analysis of paraffin-embedded Rat spleen using PRPSAP2 Rabbit pAb at dilution of 1:100 (40x lens). High pressure antigen retrieval performed with 0.01M Citrate Bufferr (pH 6.0) prior to IHC staining.
PRPSAP2 Antibody

Immunohistochemistry: PRPSAP2 Antibody [NBP3-35590] -

Immunohistochemistry: PRPSAP2 Antibody [NBP3-35590] - Immunohistochemistry analysis of paraffin-embedded Rat ovary using PRPSAP2 Rabbit pAb at dilution of 1:100 (40x lens). High pressure antigen retrieval performed with 0.01M Citrate Bufferr (pH 6.0) prior to IHC staining.
PRPSAP2 Antibody

Immunohistochemistry: PRPSAP2 Antibody [NBP3-35590] -

Immunohistochemistry: PRPSAP2 Antibody [NBP3-35590] - Immunohistochemistry analysis of paraffin-embedded Mouse brain using PRPSAP2 Rabbit pAb at dilution of 1:100 (40x lens). High pressure antigen retrieval performed with 0.01M Citrate Bufferr (pH 6.0) prior to IHC staining.

Applications for PRPSAP2 Antibody - BSA Free

Application
Recommended Usage

Immunohistochemistry-Paraffin

1:50 - 1:200

Western Blot

1:500 - 1:1000

Formulation, Preparation, and Storage

Purification

Affinity purified

Formulation

PBS (pH 7.3), 50% glycerol

Format

BSA Free

Preservative

0.02% Sodium Azide

Concentration

Please see the vial label for concentration. If unlisted please contact technical services.

Shipping

The product is shipped with polar packs. Upon receipt, store it immediately at the temperature recommended below.

Stability & Storage

Store at -20C. Avoid freeze-thaw cycles.

Background: PRPSAP2

The enzyme phosphoribosylpyrophosphate synthetase (PRS) catalyzes the formation of phosphoribosylpyrophosphate which is a substrate for synthesis of purine and pyrimidine nucleotides, histidine, tryptophan and NAD. PRS exists as a complex with two catalytic subunits and two associated subunits. This gene encodes a non-catalytic associated subunit of PRS. [provided by RefSeq]

Alternate Names

MGC117304, MGC126719, MGC126721, PAP4141 kDa phosphoribosypyrophosphate synthetase-associated protein, phosphoribosyl pyrophosphate synthase-associated protein 2, phosphoribosyl pyrophosphate synthetase-associated protein 2, PRPP synthase-associated protein 2

Gene Symbol

PRPSAP2

Additional PRPSAP2 Products

Product Documents for PRPSAP2 Antibody - BSA Free

Certificate of Analysis

To download a Certificate of Analysis, please enter a lot number in the search box below.

Product Specific Notices for PRPSAP2 Antibody - BSA Free

This product is for research use only and is not approved for use in humans or in clinical diagnosis. Primary Antibodies are guaranteed for 1 year from date of receipt.

Loading...
Loading...
Loading...
Loading...