Skip to main content

PRPSAP2 Antibody (OTI1E3) - Azide and BSA Free

Novus Biologicals, part of Bio-Techne | Catalog # NBP2-73676

Novus Biologicals, part of Bio-Techne
Catalog #
Availability
Size / Price
Qty
Loading...
NBP2-73676

Key Product Details

Species Reactivity

Human, Mouse, Rat

Applications

Immunohistochemistry, Immunohistochemistry-Paraffin, Western Blot, Flow Cytometry, Immunocytochemistry/ Immunofluorescence, CyTOF-ready

Label

Unconjugated

Antibody Source

Monoclonal Mouse IgG1 Clone # OTI1E3

Format

Azide and BSA Free

Concentration

LYOPH mg/ml

Product Specifications

Immunogen

Full length human recombinant protein of human PRPSAP2 (NP_002758) produced in HEK293T cell.

Reactivity Notes

Please note that this antibody is reactive to Mouse and derived from the same host, Mouse. Mouse-On-Mouse blocking reagent may be needed for IHC and ICC experiments to reduce high background signal. You can find these reagents under catalog numbers PK-2200-NB and MP-2400-NB. Please contact Technical Support if you have any questions.

Clonality

Monoclonal

Host

Mouse

Isotype

IgG1

Theoretical MW

40.7 kDa.
Disclaimer note: The observed molecular weight of the protein may vary from the listed predicted molecular weight due to post translational modifications, post translation cleavages, relative charges, and other experimental factors.

Description

Novus Biologicals Mouse PRPSAP2 Antibody (OTI1E3) - Azide and BSA Free (NBP2-02893) is a monoclonal antibody validated for use in IHC, WB, Flow and ICC/IF. All Novus Biologicals antibodies are covered by our 100% guarantee.

Scientific Data Images for PRPSAP2 Antibody (OTI1E3) - Azide and BSA Free

Western Blot: PRPSAP2 Antibody (OTI1E3)Azide and BSA Free [NBP2-73676]

Western Blot: PRPSAP2 Antibody (OTI1E3)Azide and BSA Free [NBP2-73676]

Western Blot: PRPSAP2 Antibody (OTI1E3) - Azide and BSA Free [NBP2-73676] - HEK293T cells were transfected with the pCMV6-ENTRY control (Left lane) or pCMV6-ENTRY PRPSAP2 (Right lane) cDNA for 48 hrs and lysed. Equivalent amounts of cell lysates (5 ug per lane) were separated by SDS-PAGE and immunoblotted with anti-PRPSAP2.
Immunocytochemistry/ Immunofluorescence: PRPSAP2 Antibody (OTI1E3) - Azide and BSA Free [NBP2-73676]

Immunocytochemistry/ Immunofluorescence: PRPSAP2 Antibody (OTI1E3) - Azide and BSA Free [NBP2-73676]

Immunocytochemistry/Immunofluorescence: PRPSAP2 Antibody (OTI1E3) - Azide and BSA Free [NBP2-73676] - Staining of COS7 cells transiently transfected by pCMV6-ENTRY PRPSAP2 .
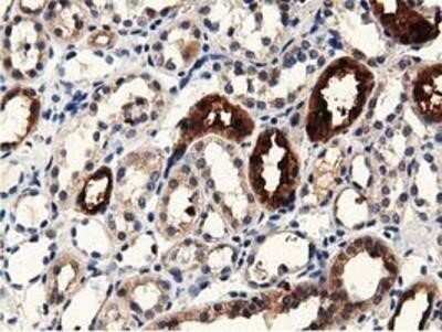
Immunohistochemistry: PRPSAP2 Antibody (OTI1E3) - Azide and BSA Free [NBP2-73676]

Immunohistochemistry: PRPSAP2 Antibody (OTI1E3) - Azide and BSA Free [NBP2-73676]

Immunohistochemistry: PRPSAP2 Antibody (OTI1E3) - Azide and BSA Free [NBP2-73676] - Staining of paraffin-embedded Human Kidney tissue using anti-PRPSAP2 mouse monoclonal antibody.

Applications for PRPSAP2 Antibody (OTI1E3) - Azide and BSA Free

Application
Recommended Usage

Flow Cytometry

1:100

Immunocytochemistry/ Immunofluorescence

1:100

Immunohistochemistry

1:150

Western Blot

1:2000

Formulation, Preparation, and Storage

Purification

Immunogen affinity purified

Reconstitution

we recommend adding 100uL distilled water to a final antibody concentration of about 1 mg/mL. To use this carrier-free antibody for conjugation experiment, we strongly recommend performing another round of desalting process.

Formulation

Lyophilized from PBS (pH 7.3) with 8% Trehalose

Format

Azide and BSA Free

Preservative

No Preservative

Concentration

LYOPH mg/ml

Shipping

The product is shipped with polar packs. Upon receipt, store it immediately at the temperature recommended below.

Stability & Storage

Store at -20C. Avoid freeze-thaw cycles.

Background: PRPSAP2

The enzyme phosphoribosylpyrophosphate synthetase (PRS) catalyzes the formation of phosphoribosylpyrophosphate which is a substrate for synthesis of purine and pyrimidine nucleotides, histidine, tryptophan and NAD. PRS exists as a complex with two catalytic subunits and two associated subunits. This gene encodes a non-catalytic associated subunit of PRS. [provided by RefSeq]

Alternate Names

MGC117304, MGC126719, MGC126721, PAP4141 kDa phosphoribosypyrophosphate synthetase-associated protein, phosphoribosyl pyrophosphate synthase-associated protein 2, phosphoribosyl pyrophosphate synthetase-associated protein 2, PRPP synthase-associated protein 2

Gene Symbol

PRPSAP2

Additional PRPSAP2 Products

Product Documents for PRPSAP2 Antibody (OTI1E3) - Azide and BSA Free

Certificate of Analysis

To download a Certificate of Analysis, please enter a lot number in the search box below.

Product Specific Notices for PRPSAP2 Antibody (OTI1E3) - Azide and BSA Free

This product is for research use only and is not approved for use in humans or in clinical diagnosis. Primary Antibodies are guaranteed for 1 year from date of receipt.

Loading...
Loading...
Loading...
Loading...
Loading...
Loading...