Skip to main content

PRPS1 Antibody - BSA Free

Novus Biologicals, part of Bio-Techne | Catalog # NBP3-46879

Novus Biologicals, part of Bio-Techne
Catalog #
Availability
Size / Price
Qty
Loading...
NBP3-46879

Key Product Details

Species Reactivity

Human, Mouse, Rat

Applications

Immunohistochemistry, Western Blot, ELISA, Immunocytochemistry/ Immunofluorescence

Label

Unconjugated

Antibody Source

Polyclonal Rabbit IgG

Format

BSA Free

Concentration

Please see the vial label for concentration. If unlisted please contact technical services.

Product Specifications

Immunogen

phosphoribosyl pyrophosphate synthetase 1. (Uniprot# P60891)

Clonality

Polyclonal

Host

Rabbit

Isotype

IgG

Theoretical MW

35 kDa.
Disclaimer note: The observed molecular weight of the protein may vary from the listed predicted molecular weight due to post translational modifications, post translation cleavages, relative charges, and other experimental factors.

Description

Novus Biologicals Rabbit PRPS1 Antibody - BSA Free (NBP3-46879) is a polyclonal antibody validated for use in IHC, WB, ELISA and ICC/IF. All Novus Biologicals antibodies are covered by our 100% guarantee.

Scientific Data Images for PRPS1 Antibody - BSA Free

PRPS1 Antibody - BSA Free

Western Blot: PRPS1 Antibody - BSA Free [NBP3-46879] -

Western Blot: PRPS1 Antibody - BSA Free [NBP3-46879] - Jurkat cells were subjected to SDS PAGE followed by western blot with (PRPS1 antibody) at dilution of 1:400
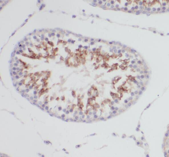
PRPS1 Antibody - BSA Free

Immunohistochemistry: PRPS1 Antibody - BSA Free [NBP3-46879] -

Immunohistochemistry: PRPS1 Antibody - BSA Free [NBP3-46879] - Immunohistochemistry of paraffin-embedded human testis using (PRPS1 antibody) at dilution of 1:50

Applications for PRPS1 Antibody - BSA Free

Application
Recommended Usage

Immunocytochemistry/ Immunofluorescence

1:20-1:200

Immunohistochemistry

1:20-1:200

Western Blot

1:500-1:2000

Formulation, Preparation, and Storage

Purification

Immunogen affinity purified

Formulation

PBS, 50% Glycerol, pH (7.3)

Format

BSA Free

Preservative

0.02% Sodium Azide

Concentration

Please see the vial label for concentration. If unlisted please contact technical services.

Shipping

The product is shipped with polar packs. Upon receipt, store it immediately at the temperature recommended below.

Stability & Storage

Store at -20C. Avoid freeze-thaw cycles.

Background: PRPS1

The PRPS1 gene encodes an enzyme that catalyzes the phosphoribosylation of ribose 5-phosphate to 5-phosphoribosyl-1-pyrophosphate, which is necessary for purine metabolism and nucleotide biosynthesis. Defects in this gene are a cause of phosphoribosylpyrophosp

Long Name

Phosphoribosyl Pyrophosphate Synthetase 1

Alternate Names

CMTX5, DFN2, DFNX1, PPRibP, PRS I, PRS-I, PRSI

Gene Symbol

PRPS1

Additional PRPS1 Products

Product Documents for PRPS1 Antibody - BSA Free

Certificate of Analysis

To download a Certificate of Analysis, please enter a lot number in the search box below.

Product Specific Notices for PRPS1 Antibody - BSA Free

This product is for research use only and is not approved for use in humans or in clinical diagnosis. Primary Antibodies are guaranteed for 1 year from date of receipt.

Loading...
Loading...
Loading...
Loading...