Skip to main content

PRPF6 Antibody - BSA Free

Novus Biologicals, part of Bio-Techne | Catalog # NBP3-46881

Novus Biologicals, part of Bio-Techne
Catalog #
Availability
Size / Price
Qty
Loading...
NBP3-46881

Key Product Details

Species Reactivity

Human, Mouse

Applications

Immunohistochemistry, Western Blot, ELISA

Label

Unconjugated

Antibody Source

Polyclonal Rabbit IgG

Format

BSA Free

Concentration

Please see the vial label for concentration. If unlisted please contact technical services.

Product Specifications

Immunogen

PRP6 pre-mRNA processing factor 6 homolog. (Uniprot# O94906)

Clonality

Polyclonal

Host

Rabbit

Isotype

IgG

Theoretical MW

100 kDa.
Disclaimer note: The observed molecular weight of the protein may vary from the listed predicted molecular weight due to post translational modifications, post translation cleavages, relative charges, and other experimental factors.

Description

Novus Biologicals Rabbit PRPF6 Antibody - BSA Free (NBP3-46881) is a polyclonal antibody validated for use in IHC, WB and ELISA. All Novus Biologicals antibodies are covered by our 100% guarantee.

Scientific Data Images for PRPF6 Antibody - BSA Free

PRPF6 Antibody - BSA Free

Western Blot: PRPF6 Antibody - BSA Free [NBP3-46881] -

Western Blot: PRPF6 Antibody - BSA Free [NBP3-46881] - HEK-293 cells were subjected to SDS PAGE followed by western blot with (PRPF6 Antibody) at dilution of 1:1000
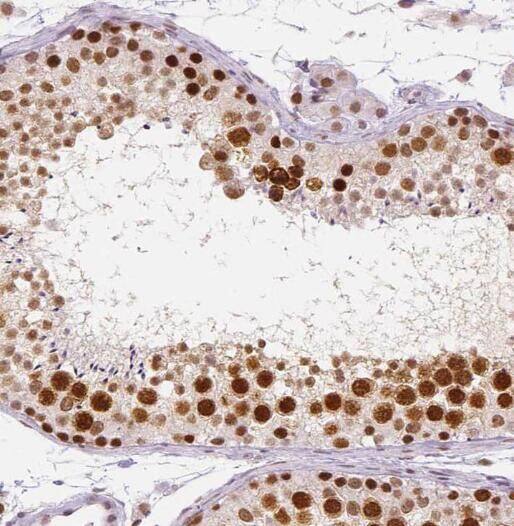
PRPF6 Antibody - BSA Free

Immunohistochemistry: PRPF6 Antibody - BSA Free [NBP3-46881] -

Immunohistochemistry: PRPF6 Antibody - BSA Free [NBP3-46881] - Immunohistochemistry of paraffin-embedded human testis tissue slide using (PRPF6 Antibody) at dilution of 1:50

Applications for PRPF6 Antibody - BSA Free

Application
Recommended Usage

Immunohistochemistry

1:20-1:200

Western Blot

1:500-1:2000

Formulation, Preparation, and Storage

Purification

Immunogen affinity purified

Formulation

PBS, 50% Glycerol, pH (7.3)

Format

BSA Free

Preservative

0.02% Sodium Azide

Concentration

Please see the vial label for concentration. If unlisted please contact technical services.

Shipping

The product is shipped with polar packs. Upon receipt, store it immediately at the temperature recommended below.

Stability & Storage

Store at -20C. Avoid freeze-thaw cycles.

Background: PRPF6

PRPF6 is encoded by this gene appears to be involved in pre-mRNA splicing, possibly acting as a bridging factor between U5 and U4/U6 snRNPs in formation of the spliceosome. The encoded protein also can bind androgen receptor, providing a link between transcriptional activation and splicing.

Alternate Names

androgen receptor N-terminal domain transactivating protein-1, ANT-1, bB152O15.1, C20orf14, chromosome 20 open reading frame 14, hPrp6, p102 U5 small nuclear ribonucleoprotein particle-binding protein, pre-mRNA-processing factor 6, Prp6, PRP6 homolog, PRP6 pre-mRNA processing factor 6 homolog (S. cerevisiae), PRP6 pre-mRNA processing factor 6 homolog (yeast), putative mitochondrial outer membrane protein import receptor, TOM, U5 snRNP-associated 102 kDa protein, U5-102 kDa protein, U5-102K

Gene Symbol

PRPF6

Additional PRPF6 Products

Product Documents for PRPF6 Antibody - BSA Free

Certificate of Analysis

To download a Certificate of Analysis, please enter a lot number in the search box below.

Product Specific Notices for PRPF6 Antibody - BSA Free

This product is for research use only and is not approved for use in humans or in clinical diagnosis. Primary Antibodies are guaranteed for 1 year from date of receipt.

Loading...
Loading...
Loading...
Loading...