PRPF31 Antibody - BSA Free
Novus Biologicals, part of Bio-Techne | Catalog # NBP3-38179
Key Product Details
Species Reactivity
Human, Mouse, Rat
Applications
Immunohistochemistry, Immunohistochemistry-Paraffin, Western Blot, ELISA
Label
Unconjugated
Antibody Source
Polyclonal Rabbit IgG
Format
BSA Free
Concentration
Please see the vial label for concentration. If unlisted please contact technical services.
Product Specifications
Immunogen
Recombinant fusion protein containing a sequence corresponding to amino acids 1-200 of human PRPF31 (NP_056444.3).
Sequence:
MSLADELLADLEEAAEEEEGGSYGEEEEEPAIEDVQEETQLDLSGDSVKTIAKLWDSKMFAEIMMKIEEYISKQAKASEVMGPVEAAPEYRVIVDANNLTVEIENELNIIHKFIRDKYSKRFPELESLVPNALDYIRTVKELGNSLDKCKNNENLQQILTNATIMVVSVTASTTQGQQLSEEELERLEEACDMALELNAS
Sequence:
MSLADELLADLEEAAEEEEGGSYGEEEEEPAIEDVQEETQLDLSGDSVKTIAKLWDSKMFAEIMMKIEEYISKQAKASEVMGPVEAAPEYRVIVDANNLTVEIENELNIIHKFIRDKYSKRFPELESLVPNALDYIRTVKELGNSLDKCKNNENLQQILTNATIMVVSVTASTTQGQQLSEEELERLEEACDMALELNAS
Clonality
Polyclonal
Host
Rabbit
Isotype
IgG
Theoretical MW
55 kDa.
Disclaimer note: The observed molecular weight of the protein may vary from the listed predicted molecular weight due to post translational modifications, post translation cleavages, relative charges, and other experimental factors.
Disclaimer note: The observed molecular weight of the protein may vary from the listed predicted molecular weight due to post translational modifications, post translation cleavages, relative charges, and other experimental factors.
Description
Novus Biologicals Rabbit PRPF31 Antibody - BSA Free (NBP3-38179) is a polyclonal antibody validated for use in IHC, WB and ELISA. All Novus Biologicals antibodies are covered by our 100% guarantee.
Scientific Data Images for PRPF31 Antibody - BSA Free
Immunohistochemistry: PRPF31 Antibody [NBP3-38179] -
Immunohistochemistry: PRPF31 Antibody [NBP3-38179] - Immunohistochemistry analysis of paraffin-embedded Human gastric cancer using PRPF31 Rabbit pAb at dilution of 1:100 (40x lens). Microwave antigen retrieval performed with 0.01M PBS Buffer (pH 7.2) prior to IHC staining.Immunohistochemistry: PRPF31 Antibody [NBP3-38179] -
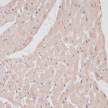
Immunohistochemistry: PRPF31 Antibody [NBP3-38179] - Immunohistochemistry analysis of paraffin-embedded Rat heart using PRPF31 Rabbit pAb at dilution of 1:100 (40x lens). Microwave antigen retrieval performed with 0.01M PBS Buffer (pH 7.2) prior to IHC staining.Western Blot: PRPF31 Antibody [NBP3-38179] -
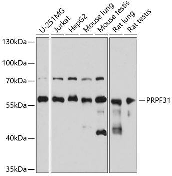
Western Blot: PRPF31 Antibody [NBP3-38179] - Western blot analysis of various lysates using PRPF31 Rabbit pAb at 1:3000 dilution.Secondary antibody: HRP-conjugated Goat anti-Rabbit IgG (H+L) at 1:10000 dilution.
Lysates/proteins: 25ug per lane.
Blocking buffer: 3% nonfat dry milk in TBST.
Detection: ECL Basic Kit.
Exposure time: 90s.
Applications for PRPF31 Antibody - BSA Free
Application
Recommended Usage
Immunohistochemistry-Paraffin
1:50 - 1:100
Western Blot
1:500 - 1:2000
Formulation, Preparation, and Storage
Purification
Affinity purified
Formulation
PBS (pH 7.3), 50% glycerol
Format
BSA Free
Preservative
0.09% Sodium Azide
Concentration
Please see the vial label for concentration. If unlisted please contact technical services.
Shipping
The product is shipped with polar packs. Upon receipt, store it immediately at the temperature recommended below.
Stability & Storage
Store at -20C. Avoid freeze-thaw cycles.
Background: PRPF31
Alternate Names
DKFZp566J153, hPrp31, NY-BR-99, Pre-mRNA-processing factor 31, Protein 61K, PRP31 pre-mRNA processing factor 31 homolog (S. cerevisiae), PRP31 pre-mRNA processing factor 31 homolog (yeast), PRP31RP11, Serologically defined breast cancer antigen NY-BR-99, U4/U6 small nuclear ribonucleoprotein Prp31, U4/U6 snRNP 61 kDa protein
Gene Symbol
PRPF31
Additional PRPF31 Products
Product Documents for PRPF31 Antibody - BSA Free
Product Specific Notices for PRPF31 Antibody - BSA Free
This product is for research use only and is not approved for use in humans or in clinical diagnosis. Primary Antibodies are guaranteed for 1 year from date of receipt.
Loading...
Loading...
Loading...
Loading...