PRPF31 Antibody (JE64-82)
Novus Biologicals, part of Bio-Techne | Catalog # NBP3-32857
Recombinant Monoclonal Antibody
Key Product Details
Species Reactivity
Human
Applications
Immunohistochemistry, Immunohistochemistry-Paraffin, Western Blot, Flow Cytometry
Label
Unconjugated
Antibody Source
Recombinant Monoclonal Rabbit IgG Clone # JE64-82 expressed in HEK293
Concentration
1 mg/ml
Product Specifications
Immunogen
Synthetic peptide within human PRPF31 aa 350-399/499. (Uniprot: Q8WWY3)
Localization
Nucleus, Nucleus speckle, Cajal body.
Clonality
Monoclonal
Host
Rabbit
Isotype
IgG
Theoretical MW
55 kDa.
Disclaimer note: The observed molecular weight of the protein may vary from the listed predicted molecular weight due to post translational modifications, post translation cleavages, relative charges, and other experimental factors.
Disclaimer note: The observed molecular weight of the protein may vary from the listed predicted molecular weight due to post translational modifications, post translation cleavages, relative charges, and other experimental factors.
Description
Novus Biologicals Rabbit PRPF31 Antibody (JE64-82) (NBP3-32857) is a recombinant monoclonal antibody validated for use in IHC, WB and Flow. All Novus Biologicals antibodies are covered by our 100% guarantee.
Scientific Data Images for PRPF31 Antibody (JE64-82)
Western Blot: PRPF31 Antibody (JE64-82) [NBP3-32857]
Western Blot: PRPF31 Antibody (JE64-82) [NBP3-32857] - Western blot analysis of PRPF31 on Jurkat cell lysates with Rabbit anti-PRPF31 antibody (NBP3-32857) at 1/500 dilution.Lysates/proteins at 10 ug/Lane.
Predicted band size: 55 kDa
Observed band size: 60 kDa
Exposure time: 2 minutes;
12% SDS-PAGE gel.
Proteins were transferred to a PVDF membrane and blocked with 5% NFDM/TBST for 1 hour at room temperature. The primary antibody (NBP3-32857) at 1/500 dilution was used in 5% NFDM/TBST at room temperature for 2 hours. Goat Anti-Rabbit IgG - HRP Secondary Antibody at 1:300,000 dilution was used for 1 hour at room temperature.
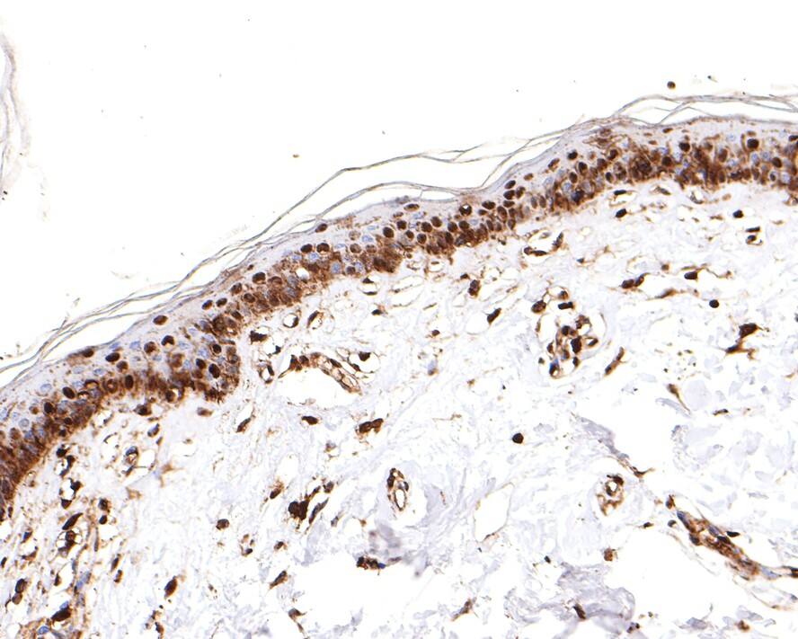
Immunohistochemistry: PRPF31 Antibody (JE64-82) [NBP3-32857]
Immunohistochemistry: PRPF31 Antibody (JE64-82) [NBP3-32857] - Immunohistochemical analysis of paraffin-embedded human skin tissue with Rabbit anti-PRPF31 antibody (NBP3-32857) at 1/200 dilution.The section was pre-treated using heat mediated antigen retrieval with sodium citrate buffer (pH 6.0) for 2 minutes. The tissues were blocked in 1% BSA for 20 minutes at room temperature, washed with ddH2O and PBS, and then probed with the primary antibody (NBP3-32857) at 1/200 dilution for 1 hour at room temperature. The detection was performed using an HRP conjugated compact polymer system. DAB was used as the chromogen. Tissues were counterstained with hematoxylin and mounted with DPX.
Flow Cytometry: PRPF31 Antibody (JE64-82) [NBP3-32857]
Flow Cytometry: PRPF31 Antibody (JE64-82) [NBP3-32857] - Flow cytometric analysis of SiHa cells labeling PRPF31.Cells were fixed and permeabilized. Then stained with the primary antibody (NBP3-32857, 1ug/ml) (red) compared with Rabbit IgG Isotype Control (green). After incubation of the primary antibody at +4℃ for an hour, the cells were stained with a iFluor™ 488 conjugate-Goat anti-Rabbit IgG Secondary antibody at 1/1,000 dilution for 30 minutes at +4℃. Unlabelled sample was used as a control (cells without incubation with primary antibody; black).
Applications for PRPF31 Antibody (JE64-82)
Application
Recommended Usage
Flow Cytometry
1:500-1:1000
Immunohistochemistry-Paraffin
1:200-1:1500
Western Blot
1:500
Formulation, Preparation, and Storage
Purification
Protein A purified
Formulation
1*TBS (pH7.4), 0.05% BSA and 40% Glycerol
Preservative
0.05% Sodium Azide
Concentration
1 mg/ml
Shipping
The product is shipped with polar packs. Upon receipt, store it immediately at the temperature recommended below.
Stability & Storage
Store at 4C short term. Aliquot and store at -20C long term. Avoid freeze-thaw cycles.
Background: PRPF31
Alternate Names
DKFZp566J153, hPrp31, NY-BR-99, Pre-mRNA-processing factor 31, Protein 61K, PRP31 pre-mRNA processing factor 31 homolog (S. cerevisiae), PRP31 pre-mRNA processing factor 31 homolog (yeast), PRP31RP11, Serologically defined breast cancer antigen NY-BR-99, U4/U6 small nuclear ribonucleoprotein Prp31, U4/U6 snRNP 61 kDa protein
Gene Symbol
PRPF31
Additional PRPF31 Products
Product Documents for PRPF31 Antibody (JE64-82)
Product Specific Notices for PRPF31 Antibody (JE64-82)
This product is for research use only and is not approved for use in humans or in clinical diagnosis. Primary Antibodies are guaranteed for 1 year from date of receipt.
Loading...
Loading...
Loading...
Loading...
Loading...