Skip to main content

Protein phosphatase 1F Antibody - BSA Free

Novus Biologicals, part of Bio-Techne | Catalog # NBP1-88206

Novus Biologicals, part of Bio-Techne
Catalog #
Availability
Size / Price
Qty
Loading...
NBP1-88206
NBP1-88206-25ul

Key Product Details

Validated by

Independent Antibodies

Species Reactivity

Human

Applications

Immunohistochemistry, Immunohistochemistry-Paraffin, Western Blot

Label

Unconjugated

Antibody Source

Polyclonal Rabbit IgG

Format

BSA Free

Concentration

Concentrations vary lot to lot. See vial label for concentration. If unlisted please contact technical services.

Product Specifications

Immunogen

This antibody was developed against Recombinant Protein corresponding to amino acids: VVPHQEVVGLVQSHLTRQQGSGLRVAEELVAAARERGSHDNITVMVVFLRDPQELLEGGNQGEGDPQAEGRRQDLPSSLPEPETQ

Clonality

Polyclonal

Host

Rabbit

Isotype

IgG

Description

Novus Biologicals Rabbit Protein phosphatase 1F Antibody - BSA Free (NBP1-88206) is a polyclonal antibody validated for use in IHC and WB. All Novus Biologicals antibodies are covered by our 100% guarantee.

Scientific Data Images for Protein phosphatase 1F Antibody - BSA Free

Western Blot: Protein phosphatase 1F Antibody [NBP1-88206]

Western Blot: Protein phosphatase 1F Antibody [NBP1-88206]

Western Blot: Protein phosphatase 1F Antibody [NBP1-88206] - Analysis using Anti-PPM1F antibody NBP1-88206 (A) shows similar pattern to independent antibody NBP1-88207 (B).
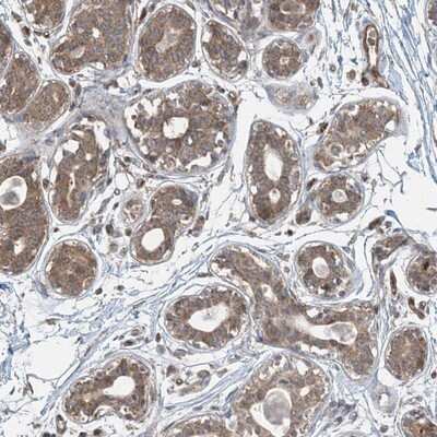
Immunohistochemistry-Paraffin: Protein phosphatase 1F Antibody [NBP1-88206]

Immunohistochemistry-Paraffin: Protein phosphatase 1F Antibody [NBP1-88206]

Immunohistochemistry-Paraffin: Protein phosphatase 1F Antibody [NBP1-88206] - Staining of human breast shows moderate cytoplasmic positivity in glandular cells.

Applications for Protein phosphatase 1F Antibody - BSA Free

Application
Recommended Usage

Immunohistochemistry

1:50 - 1:200

Immunohistochemistry-Paraffin

1:50-1:200

Western Blot

0.04-0.4 ug/ml
Application Notes
For IHC-Paraffin, HIER pH 6 retrieval is recommended. Immunocytochemistry/Immunofluorescence Fixation Permeabilization: Use PFA/Triton X-100.

Formulation, Preparation, and Storage

Purification

Affinity purified

Formulation

PBS (pH 7.2) and 40% Glycerol

Format

BSA Free

Preservative

0.02% Sodium Azide

Concentration

Concentrations vary lot to lot. See vial label for concentration. If unlisted please contact technical services.

Shipping

The product is shipped with polar packs. Upon receipt, store it immediately at the temperature recommended below.

Stability & Storage

Store at 4C short term. Aliquot and store at -20C long term. Avoid freeze-thaw cycles.

Background: Protein phosphatase 1F

Protein phosphatase 1F is encoded by this gene is a member of the PP2C family of Ser/Thr protein phosphatases. PP2C family members are known to be negative regulators of cell stress response pathways. This phosphatase can interact with Rho guanine nucleotide exchange factors (PIX), and thus block the effects of p21-activated kinase 1 (PAK), a protein kinase mediating biological effects downstream of Rho GTPases. Calcium/calmodulin-dependent protein kinase II gamma (CAMK2G/CAMK-II) is found to be one of the substrates of this phosphatase. The overexpression of this phosphatase or CAMK2G has been shown to mediate caspase-dependent apoptosis. An alternatively spliced transcript variant has been identified, but its full-length nature has not been determined. [provided by RefSeq]

Alternate Names

Ca(2+)/calmodulin-dependent protein kinase phosphatase, CaMKPaseCaM-kinase phosphatase, EC 3.1.3.16, FEM-2, hFEM-2, KIAA0015POPX2CAMKP, Partner of PIX 2, PP2C phosphatase, Protein fem-2 homolog, protein phosphatase 1F, protein phosphatase 1F (PP2C domain containing), protein phosphatase, Mg2+/Mn2+ dependent, 1F

Gene Symbol

PPM1F

Additional Protein phosphatase 1F Products

Product Documents for Protein phosphatase 1F Antibody - BSA Free

Certificate of Analysis

To download a Certificate of Analysis, please enter a lot number in the search box below.

Product Specific Notices for Protein phosphatase 1F Antibody - BSA Free

This product is for research use only and is not approved for use in humans or in clinical diagnosis. Primary Antibodies are guaranteed for 1 year from date of receipt.

Loading...
Loading...
Loading...
Loading...