Skip to main content

Protein Phosphatase 1 beta Antibody - BSA Free

Novus Biologicals, part of Bio-Techne | Catalog # NBP3-35355

Novus Biologicals, part of Bio-Techne
Catalog #
Availability
Size / Price
Qty
Loading...
NBP3-35355-100ul
NBP3-35355-20ul

Key Product Details

Species Reactivity

Human, Mouse, Rat

Applications

Immunohistochemistry, Immunohistochemistry-Paraffin, Western Blot, ELISA, Immunocytochemistry/ Immunofluorescence

Label

Unconjugated

Antibody Source

Polyclonal Rabbit IgG

Format

BSA Free

Concentration

Please see the vial label for concentration. If unlisted please contact technical services.

Product Specifications

Immunogen

A synthetic peptide corresponding to a sequence within amino acids 227-327 of human Protein Phosphatase 1 beta (NP_002700.1).

Sequence:
VEDGYEFFAKRQLVTLFSAPNYCGEFDNAGGMMSVDETLMCSFQILKPSEKKAKYQYGGLNSGRPVTPPRTANPPKKR

Clonality

Polyclonal

Host

Rabbit

Isotype

IgG

Theoretical MW

37 kDa.
Disclaimer note: The observed molecular weight of the protein may vary from the listed predicted molecular weight due to post translational modifications, post translation cleavages, relative charges, and other experimental factors.

Description

Novus Biologicals Rabbit Protein Phosphatase 1 beta Antibody - BSA Free (NBP3-35355) is a polyclonal antibody validated for use in IHC, WB, ELISA and ICC/IF. All Novus Biologicals antibodies are covered by our 100% guarantee.

Scientific Data Images for Protein Phosphatase 1 beta Antibody - BSA Free

Protein Phosphatase 1 beta Antibody

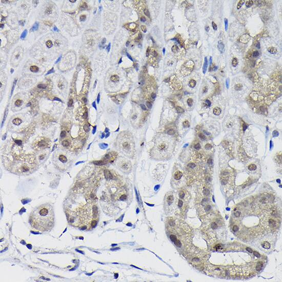
Immunohistochemistry: Protein Phosphatase 1 beta Antibody [NBP3-35355] -

Immunohistochemistry: Protein Phosphatase 1 beta Antibody [NBP3-35355] - Immunohistochemistry analysis of paraffin-embedded Human placenta using Protein Phosphatase 1 beta Rabbit pAb at dilution of 1:20 (40x lens). High pressure antigen retrieval performed with 0.01M Citrate Bufferr (pH 6.0) prior to IHC staining.
Protein Phosphatase 1 beta Antibody

Western Blot: Protein Phosphatase 1 beta Antibody [NBP3-35355] -

Western Blot: Protein Phosphatase 1 beta Antibody [NBP3-35355] - Western blot analysis of various lysates using Protein Phosphatase 1 beta Rabbit pAb at 1:1000 dilution.
Secondary antibody: HRP-conjugated Goat anti-Rabbit IgG (H+L) at 1:10000 dilution.
Lysates/proteins: 25ug per lane.
Blocking buffer: 3% nonfat dry milk in TBST.
Detection: ECL Enhanced Kit.
Exposure time: 60s.
Protein Phosphatase 1 beta Antibody

Immunocytochemistry/ Immunofluorescence: Protein Phosphatase 1 beta Antibody [NBP3-35355] -

Immunocytochemistry/ Immunofluorescence: Protein Phosphatase 1 beta Antibody [NBP3-35355] - Immunofluorescence analysis of H9C2 cells using Protein Phosphatase 1 beta Rabbit pAb at dilution of 1:100. Secondary antibody: Cy3-conjugated Goat anti-Rabbit IgG (H+L) at 1:500 dilution. Blue: DAPI for nuclear staining.

Applications for Protein Phosphatase 1 beta Antibody - BSA Free

Application
Recommended Usage

Immunocytochemistry/ Immunofluorescence

1:50 - 1:200

Immunohistochemistry-Paraffin

1:50 - 1:200

Western Blot

1:500 - 1:2000

Formulation, Preparation, and Storage

Purification

Affinity purified

Formulation

PBS (pH 7.3), 50% glycerol

Format

BSA Free

Preservative

0.09% Sodium Azide

Concentration

Please see the vial label for concentration. If unlisted please contact technical services.

Shipping

The product is shipped with polar packs. Upon receipt, store it immediately at the temperature recommended below.

Stability & Storage

Store at -20C. Avoid freeze-thaw cycles.

Background: Protein Phosphatase 1 beta

Protein phosphatase 1 (PP1) is a major eukaryotic protein serine/threonine phosphatase that regulates an enormous variety of cellular functions through the interaction of its catalytic subunit (PP1c) with over fifty different established or putative regulatory subunits (1). The coordinated and reciprocal action of serine/threonine (Ser/Thr) protein kinases and phosphatases produces transient phosphorylation, a fundamental regulatory mechanism for many biological processes. PP1 is ubiquitously distributed and regulates a broad range of cellular functions, including glycogen metabolism, cell-cycle progression and muscle relaxation. PP1 has evolved effective catalytic machinery but lacks substrate specificity. Substrate specificity is conferred upon PP1 through interactions with a large number of regulatory subunits (2). It has been shown that PP1 determines the efficacy of learning and memory by limiting acquisition and favoring memory decline. When PP1 is genetically inhibited during learning, short intervals between training episodes are sufficient for optimal performance (3).

Alternate Names

EC 3.1.3.16, EC 3.1.3.53, MGC3672, PP1beta, PP-1Bprotein phosphatase 1, catalytic subunit, delta isoform, PPP1CD, protein phosphatase 1, catalytic subunit, beta isoform, protein phosphatase 1, catalytic subunit, beta isozyme, protein phosphatase 1-beta, protein phosphatase 1-delta, serine/threonine protein phosphatase PP1-beta catalytic subunit, serine/threonine-protein phosphatase PP1-beta catalytic subunit

Gene Symbol

PPP1CB

Additional Protein Phosphatase 1 beta Products

Product Documents for Protein Phosphatase 1 beta Antibody - BSA Free

Certificate of Analysis

To download a Certificate of Analysis, please enter a lot number in the search box below.

Product Specific Notices for Protein Phosphatase 1 beta Antibody - BSA Free

This product is for research use only and is not approved for use in humans or in clinical diagnosis. Primary Antibodies are guaranteed for 1 year from date of receipt.

Loading...
Loading...
Loading...
Loading...