Skip to main content

Protein Phosphatase 1 beta Antibody

Novus Biologicals, part of Bio-Techne | Catalog # NB110-40550

Novus Biologicals, part of Bio-Techne
Catalog #
Availability
Size / Price
Qty
Loading...
NB110-40550

Key Product Details

Species Reactivity

Validated:

Human

Predicted:

Bovine (100%), Canine (100%), Chicken (100%), Mouse (100%), Porcine (100%), Primate (100%), Rabbit (100%), Rat (100%), Xenopus (100%). Backed by our 100% Guarantee.

Applications

Immunohistochemistry, Immunohistochemistry-Paraffin, Western Blot, Immunoprecipitation

Label

Unconjugated

Antibody Source

Polyclonal Rabbit IgG

Concentration

0.2 mg/ml

Product Specifications

Immunogen

The immunogen recognized by this antibody maps to a region between residue 280 and the C-terminus (residue 327) of human Protein Phosphatase 1, Catalytic Subunit, Beta Isoform using the numbering given in entry NP_996759.1 (GeneID 5500).

Reactivity Notes

Orangutan (100%).

Clonality

Polyclonal

Host

Rabbit

Isotype

IgG

Theoretical MW

37 kDa.
Disclaimer note: The observed molecular weight of the protein may vary from the listed predicted molecular weight due to post translational modifications, post translation cleavages, relative charges, and other experimental factors.

Description

Novus Biologicals Rabbit Protein Phosphatase 1 beta Antibody (NB110-40550) is a polyclonal antibody validated for use in IHC, WB and IP. All Novus Biologicals antibodies are covered by our 100% guarantee.

Scientific Data Images for Protein Phosphatase 1 beta Antibody

Western Blot: Protein Phosphatase 1 beta Antibody [NB110-40550]

Western Blot: Protein Phosphatase 1 beta Antibody [NB110-40550]

Western Blot: Protein Phosphatase 1 beta Antibody [NB110-40550] - Detection of Human PPP1CB on HeLa whole cell lysate using NB110-40550. PPP1CC was immunoprecipitated by rabbit anti-PPP1CC antibody NB110-40551.
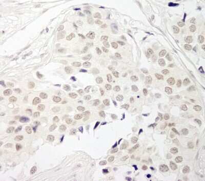
Immunohistochemistry-Paraffin: Protein Phosphatase 1 beta Antibody [NB110-40550]

Immunohistochemistry-Paraffin: Protein Phosphatase 1 beta Antibody [NB110-40550]

Immunohistochemistry-Paraffin: Protein Phosphatase 1 beta Antibody [NB110-40550] - Human breast carcinoma. Antibody: Affinity purified rabbit anti- PPP1CB used at a dilution of 1:200 (1ug/ml). Detection: DAB

Applications for Protein Phosphatase 1 beta Antibody

Application
Recommended Usage

Immunohistochemistry

1:100 - 1:500

Immunohistochemistry-Paraffin

1:250

Immunoprecipitation

2-5 ug/mg lysate

Western Blot

1:2000-1:10000
Application Notes
Epitope retrieval with Tris-EDTA pH 9.0 is recommended for FFPE tissue sections

Formulation, Preparation, and Storage

Purification

Immunogen affinity purified

Formulation

TBS and 0.1% BSA

Preservative

0.09% Sodium Azide

Concentration

0.2 mg/ml

Shipping

The product is shipped with polar packs. Upon receipt, store it immediately at the temperature recommended below.

Stability & Storage

Store at 4C. Do not freeze.

Background: Protein Phosphatase 1 beta

The protein encoded by this gene is one of the three catalytic subunits of protein phosphatase 1 (PP1). PP1 is a serine/threonine specific protein phosphatase known to be involved in the regulation of a variety of cellular processes, such as cell division, glycogen metabolism, muscle contractility, protein synthesis, and HIV-1 viral transcription. Mouse studies suggest that PP1 functions as a suppressor of learning and memory. Two alternatively spliced transcript variants encoding distinct isoforms have been observed.

Alternate Names

EC 3.1.3.16, EC 3.1.3.53, MGC3672, PP1beta, PP-1Bprotein phosphatase 1, catalytic subunit, delta isoform, PPP1CD, protein phosphatase 1, catalytic subunit, beta isoform, protein phosphatase 1, catalytic subunit, beta isozyme, protein phosphatase 1-beta, protein phosphatase 1-delta, serine/threonine protein phosphatase PP1-beta catalytic subunit, serine/threonine-protein phosphatase PP1-beta catalytic subunit

Entrez Gene IDs

5500 (Human)

Gene Symbol

PPP1CB

UniProt

Additional Protein Phosphatase 1 beta Products

Product Documents for Protein Phosphatase 1 beta Antibody

Certificate of Analysis

To download a Certificate of Analysis, please enter a lot number in the search box below.

Product Specific Notices for Protein Phosphatase 1 beta Antibody

This product is for research use only and is not approved for use in humans or in clinical diagnosis. Primary Antibodies are guaranteed for 1 year from date of receipt.

Loading...
Loading...
Loading...
Loading...