Skip to main content

Proteasome 20S alpha 6 Antibody - BSA Free

Novus Biologicals, part of Bio-Techne | Catalog # NBP3-29750

Novus Biologicals, part of Bio-Techne
Catalog #
Availability
Size / Price
Qty
Loading...
NBP3-29750

Key Product Details

Species Reactivity

Human, Mouse

Applications

Immunohistochemistry, Western Blot, Immunoprecipitation

Label

Unconjugated

Antibody Source

Polyclonal Rabbit IgG

Format

BSA Free

Concentration

Please see the vial label for concentration. If unlisted please contact technical services.

Product Specifications

Immunogen

Between 196 and 246

Clonality

Polyclonal

Host

Rabbit

Isotype

IgG

Description

Novus Biologicals Rabbit Proteasome 20S alpha 6 Antibody - BSA Free (NBP3-29750) is a polyclonal antibody validated for use in IHC, WB and IP. All Novus Biologicals antibodies are covered by our 100% guarantee.

Scientific Data Images for Proteasome 20S alpha 6 Antibody - BSA Free

Proteasome 20S alpha 6 Antibody

Immunohistochemistry;Proteasome 20S alpha 6 Antibody[NBP3-29749]

Immunohistochemistry;Proteasome 20S alpha 6 Antibody[NBP3-29749]Detection of human PSMA6 by immunohistochemistry. Sample: FFPE section of human prostate carcinoma. Antibody: Affinity purified rabbit anti-PSMA6 used at a dilution of 1:5,000 . Detection: DAB
Proteasome 20S alpha 6 Antibody

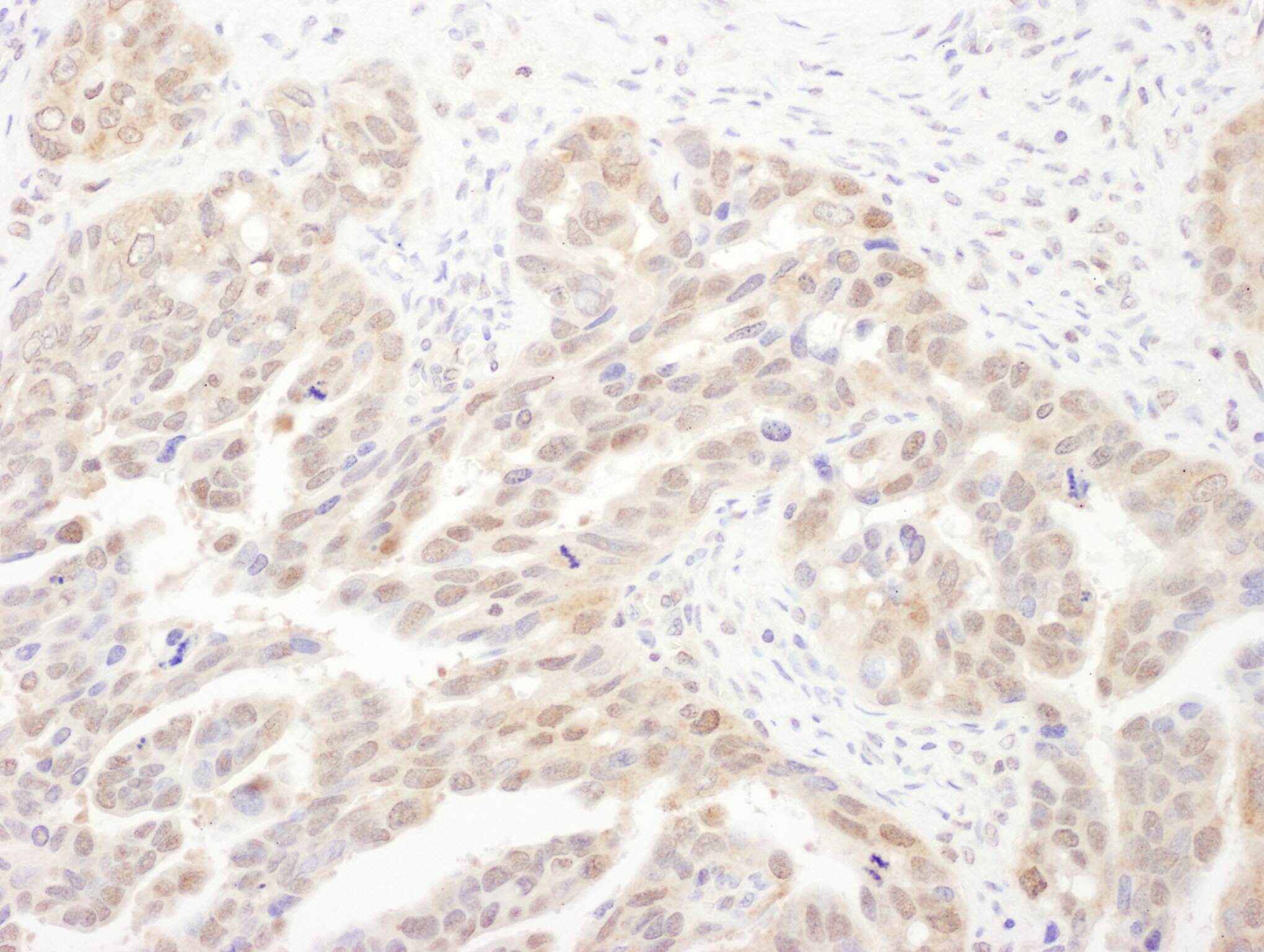
Immunohistochemistry;Proteasome 20S alpha 6 Antibody[NBP3-29750]

Immunohistochemistry;Proteasome 20S alpha 6 Antibody[NBP3-29750]Detection of human PSMA6 by immunohistochemistry. Sample: FFPE section of human ovarian carcinoma. Antibody: Affinity purified rabbit anti-PSMA6 used at a dilution of 1:5,000 . Detection: DAB

Applications for Proteasome 20S alpha 6 Antibody - BSA Free

Application
Recommended Usage

Immunohistochemistry

Optimal dilutions of this antibody should be experimentally determined.

Immunoprecipitation

Optimal dilutions of this antibody should be experimentally determined.

Western Blot

Optimal dilutions of this antibody should be experimentally determined.

Formulation, Preparation, and Storage

Purification

Affinity purified

Formulation

Tris-citrate/phosphate buffer, pH 7 to 8

Format

BSA Free

Preservative

0.09% Sodium Azide

Concentration

Please see the vial label for concentration. If unlisted please contact technical services.

Shipping

The product is shipped with polar packs. Upon receipt, store it immediately at the temperature recommended below.

Stability & Storage

Store at 4C. Do not freeze.

Background: Proteasome 20S alpha 6

The proteasome is a multicatalytic proteinase complex with a highly ordered ring-shaped 20S core structure. The core structure is composed of 4 rings of 28 non-identical subunits; 2 rings are composed of 7 alpha subunits and 2 rings are composed of 7 beta subunits. Proteasomes are distributed throughout eukaryotic cells at a high concentration and cleave peptides in an ATP/ubiquitin-dependent process in a non-lysosomal pathway. An essential function of a modified proteasome, the immunoproteasome, is the processing of class I MHC peptides. This gene encodes a member of the peptidase T1A family, that is a 20S core alpha subunit. A pseudogene has been identified on the Y chromosome.

Long Name

Proteasome subunit alpha type-6

Alternate Names

p27K, PROS-27, PROS27, PSMA6

Gene Symbol

PSMA6

Additional Proteasome 20S alpha 6 Products

Product Documents for Proteasome 20S alpha 6 Antibody - BSA Free

Certificate of Analysis

To download a Certificate of Analysis, please enter a lot number in the search box below.

Product Specific Notices for Proteasome 20S alpha 6 Antibody - BSA Free

This product is for research use only and is not approved for use in humans or in clinical diagnosis. Primary Antibodies are guaranteed for 1 year from date of receipt.

Loading...
Loading...
Loading...
Loading...