Skip to main content

Prostaglandin E Synthase 2/PTGES2 Antibody (OTI2C3)

Novus Biologicals, part of Bio-Techne | Catalog # NBP2-45904

Novus Biologicals, part of Bio-Techne

Key Product Details

Species Reactivity

Human

Applications

Immunohistochemistry, Immunohistochemistry-Paraffin, Western Blot, Immunocytochemistry/ Immunofluorescence

Label

Unconjugated

Antibody Source

Monoclonal Mouse IgG2A Clone # OTI2C3

Concentration

1 mg/ml

Product Specifications

Immunogen

Full length human recombinant protein of human PTGES2(NP_079348) produced in HEK293T cell.

Clonality

Monoclonal

Host

Mouse

Isotype

IgG2A

Theoretical MW

41.8 kDa.
Disclaimer note: The observed molecular weight of the protein may vary from the listed predicted molecular weight due to post translational modifications, post translation cleavages, relative charges, and other experimental factors.

Description

Novus Biologicals Mouse Prostaglandin E Synthase 2/PTGES2 Antibody (OTI2C3) (NBP2-45904) is a monoclonal antibody validated for use in IHC, WB and ICC/IF. All Novus Biologicals antibodies are covered by our 100% guarantee.

Scientific Data Images for Prostaglandin E Synthase 2/PTGES2 Antibody (OTI2C3)

Western Blot: Prostaglandin E Synthase 2/PTGES2 Antibody (OTI2C3) [NBP2-45904]

Western Blot: Prostaglandin E Synthase 2/PTGES2 Antibody (OTI2C3) [NBP2-45904]

Western Blot: Prostaglandin E Synthase 2/PTGES2 Antibody (OTI2C3) [NBP2-45904] - Analysis of HEK293T cells were transfected with the pCMV6-ENTRY control (Left lane) or pCMV6-ENTRY PTGES2.
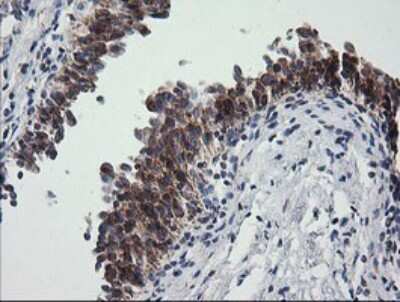
Immunohistochemistry: Prostaglandin E Synthase 2/PTGES2 Antibody (OTI2C3) [NBP2-45904]

Immunohistochemistry: Prostaglandin E Synthase 2/PTGES2 Antibody (OTI2C3) [NBP2-45904]

Immunohistochemistry: Prostaglandin E Synthase 2/PTGES2 Antibody (OTI2C3) [NBP2-45904] - Analysis of Human pancreas tissue.
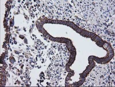
Immunohistochemistry: Prostaglandin E Synthase 2/PTGES2 Antibody (OTI2C3) [NBP2-45904]

Immunohistochemistry: Prostaglandin E Synthase 2/PTGES2 Antibody (OTI2C3) [NBP2-45904]

Immunohistochemistry: Prostaglandin E Synthase 2/PTGES2 Antibody (OTI2C3) [NBP2-45904] - Analysis of Human Kidney tissue.

Applications for Prostaglandin E Synthase 2/PTGES2 Antibody (OTI2C3)

Application
Recommended Usage

Immunocytochemistry/ Immunofluorescence

1:100

Immunohistochemistry

1:150

Western Blot

1:2000

Formulation, Preparation, and Storage

Purification

Immunogen affinity purified

Formulation

PBS (pH 7.3), 1.0% BSA and 50% Glycerol

Preservative

0.02% Sodium Azide

Concentration

1 mg/ml

Shipping

The product is shipped with polar packs. Upon receipt, store it immediately at the temperature recommended below.

Stability & Storage

Store at -20C. Avoid freeze-thaw cycles.

Background: Prostaglandin E Synthase 2/PTGES2

PTGES2 is encoded by this gene is a membrane-associated prostaglandin E synthase, which catalyzes the conversion of prostaglandin H2 to prostaglandin E2. This protein also has been shown to activate the transcription regulated by a gamma-interferon-activated transcription element (GATE). Multiple transcript variants have been found for this gene. [provided by RefSeq]

Alternate Names

C9orf15, GBF1, mPGES2, PGES2

Gene Symbol

PTGES2

Additional Prostaglandin E Synthase 2/PTGES2 Products

Product Documents for Prostaglandin E Synthase 2/PTGES2 Antibody (OTI2C3)

Certificate of Analysis

To download a Certificate of Analysis, please enter a lot number in the search box below.

Product Specific Notices for Prostaglandin E Synthase 2/PTGES2 Antibody (OTI2C3)

This product is for research use only and is not approved for use in humans or in clinical diagnosis. Primary Antibodies are guaranteed for 1 year from date of receipt.

Loading...
Loading...
Loading...
Loading...